牙缝里长了肉咋回事?
2021-04-06 18:11
上海
原创 口腔科普请关注 南先森
网上刷到一张图,牙医从患者牙缝里掏出一颗发了芽的草莓籽↓
�� 再吃点儿土,从此小明再也不会因为无法实现草莓自由而发愁~
�� 原来亲嘴种草莓是真哒~
��♂️ 啊?他吃草莓的时候没有管家给他提前去籽的吗?
�� 这牙缝够大的 !
牙缝的尺度,大了不好小了也不好
太拥挤的牙,牙线都难伸进去,牙缝清洁难度大。
太稀疏了吧,清理起来是容易了,但也太频繁塞到了↓
牙线牙缝刷水牙线轮番上阵,还是少不了那些凌晨两点撸串塞牙疼到急诊找大夫剔牙的塞牙星人。咳,没想过把缝关上?

Dakota Johnson展示牙缝里能塞多少东西↑
困扰你多年的牙缝,树脂填上就好了,可能刺激牙龈,得找个技术好的医生。

贴面效果更好,还能改善牙齿色泽和外形。
牙列稀疏的建议正畸,可以保留天然牙的色泽和外形。
牙缝长了一个小牙齿?除了塞牙,牙缝还能有什么问题?
比如塞个真牙。
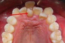
这种情况大多是因为多生牙,比较常见的是长在门牙之间的牙。这种多余的牙形状就比较随便了,比如锥形的、柱形、没长出来的。
也不全是我们能看到的,有埋伏于颌骨里的,还有少数会长在鼻腔、上颌窦内。

因为开始也没啥症状,有时家长会误以为这只是孩子门牙牙缝大而已。那多长的要不要拔呢?这个需要让专业医生拍片确认是多生牙后,如果评估后是影响牙齿排列和颌骨发育的“多生牙”,是建议尽早拔除的。
牙缝里长出的小肉球又是啥?
牙缝小肉球哪来的?
龈乳头增生,大多数情况下是细菌引起的炎症引起。
塞在牙缝的食物残渣不断挤压牙龈,牙菌斑在牙龈边缘不断刺激,使牙龈红肿。
一旦牙缝间牙龈红肿,要克服那种不舒服的感觉,坚持用牙线、水牙线这些工具牙缝清理干净。可以使用含氯己定的漱口水漱口,这些是我们在家就能做到的。还得去专业机构洗牙,必要时龈下刮治。
特别声明
本文为澎湃号作者或机构在澎湃新闻上传并发布,仅代表该作者或机构观点,不代表澎湃新闻的观点或立场,澎湃新闻仅提供信息发布平台。申请澎湃号请用电脑访问https://renzheng.thepaper.cn。

