根尖孔未闭合?试试根尖屏障术
2020-10-29 15:05
江苏

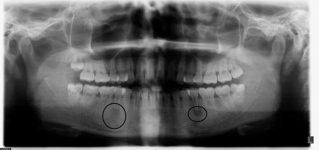
小媛术前全景片: 两侧下前磨牙根尖大面积暗影

考虑到根尖孔未闭合,呈喇叭口状
建议拟行根尖屏障术
显微镜下根尖屏障操作

1 iroot BP根尖封闭
2 热牙胶充填

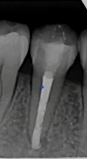
半年复查根尖片


半年后根尖片复查,根尖暗影明显缩小,几乎快要痊愈了,要挺住啊!继续期待一年的复查效果。

这时候小伙伴们会发出来自灵魂的疑问
01什么是根尖屏障术??
根尖屏障术是将具有根尖封闭效果的材料放入根尖区域,待其硬固后形成根尖止点,达到根尖封闭的效果。目前临床上使用较多的是三氧化物聚合物MTA、iRoot BP、Biodentine等优质的生物活性材料。

02适应症
1. 牙髓坏死或伴有根尖周炎,根尖孔未发育完全的年轻恒牙
2. 进行过长期的根尖诱导但未形成根尖屏障的恒牙
苏州科技城医院口腔科来科普——年轻恒牙

牙齿在萌出后在形态结构上还尚未
完全形成以及成熟的情况称之为年轻恒牙
恒牙萌出后2-3年才达到应有的长度
3-5年后根尖才发育完成
此时才能是真正意义上的恒牙

期间由于外伤,畸形中央尖折断以及龋坏等因素影响,对年轻恒牙的牙髓造成感染、坏死,甚至引发根尖周组织感染,阻碍的牙根的生长发育。
此时年轻恒牙的根尖孔呈喇叭口而无法进行常规的根管充填,可视情况行根尖诱导成形术或根尖屏障术或牙髓血运重建术
03 优点
根尖屏障术仅需要1-2次复诊,具有就诊次数少,封闭效果良好等优点
特别声明
本文为澎湃号作者或机构在澎湃新闻上传并发布,仅代表该作者或机构观点,不代表澎湃新闻的观点或立场,澎湃新闻仅提供信息发布平台。申请澎湃号请用电脑访问https://renzheng.thepaper.cn。

