又一个中招,这次元凶是别针,11个月大的宝宝险些因它丧命
原创 宣传中心 浙大儿院

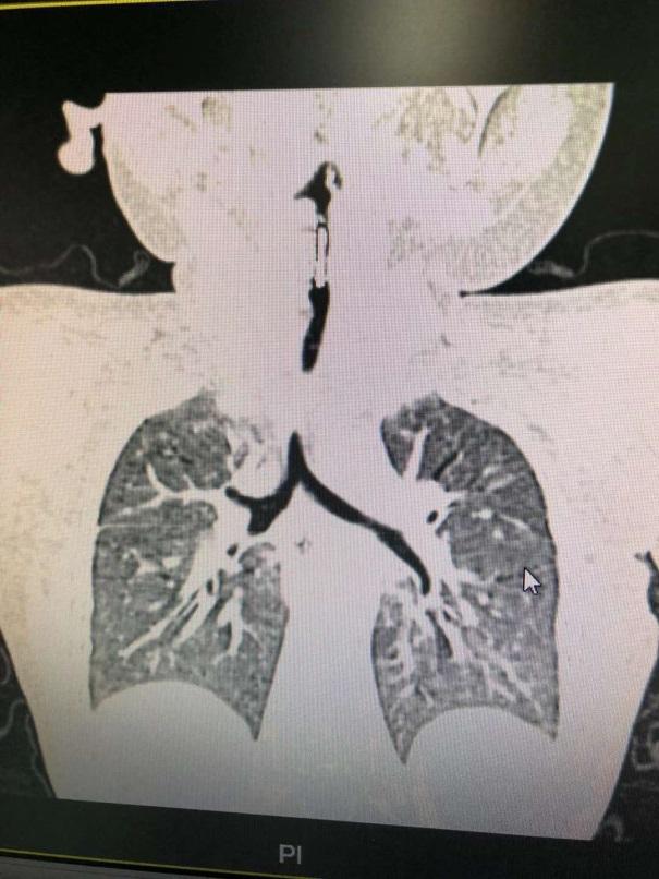
那天晚上,一个11个月大的宝宝被送来浙大儿院急诊,血氧最低时才80%多,咳嗽很厉害,声音嘶哑,情况紧急。
这个孩子出现症状已经整整一个月,之前辗转两家医院,一直被认为是气管炎和哮喘,直到妈妈回忆起当时他曾乱抓东西吃,做了胸部CT才锁定原因:气管异物。

紧急时刻,孩子被火速转来浙大儿院。耳鼻咽喉科毕静、虞璐璐,手术室林彬洁,麻醉科吕婷懿等医生应急诊科召集迅速赶到医院,形成手术团队,对孩子开展手术。
手术十分顺利,约十分钟后,异物就从孩子体内被取了出来,宝宝终于可以轻松大口地呼吸。
这些小玩意都可能成为夺命“真凶”
别针怎么就能被吃进了嘴巴,还掉进了气管?对于一个月前的情形,宝宝妈妈已记忆有些模糊,仅记得宝宝到处乱抓东西吃,对于孩子如何把别针抓到手里、吞进肚子、卡住咽喉和气管,她完全没有印象,甚至想不起来家里的别针是哪里来的,放在哪里。
“从形状看,这个别针有点像衣服商标上的别针,也许是家人购物留下的。”毕静医生推断说。她和科室里其他医生,经常半夜回医院给孩子做气管异物手术,被取出的异物五花八门,有果仁、果壳、骨刺、小塑料制品,还有各种尖锐物。
她回忆说,此前曾接诊一个一岁多的小男孩,症状也是不停地喘,还时不时咳嗽, CT检查发现,肺部严重感染,后来通过支气管镜将异物取出来一看,竟然是一块小骨头。孩子的妈妈想了想,之前给宝宝吃过一次鸭舌头,这小骨头,应该就是从鸭舌头上来的。此前,还曾遇到一个可怜的小病人,因为吃山核桃仁堵住了大气管,在当地医院就诊时,呼吸心跳就已经停止了,转送过来时已经没有了抢救机会……
耳鼻咽喉科主任付勇说,异物吸入属于婴幼儿多见的急症,严重者会在短时间内窒息死亡。2-3岁的小宝宝最容易发生异物吸入。因为这个年龄段的宝宝比较好动,再加上还不太会说话,很难准确表达自己。
气管异物很危险,家长要加强警惕
耳鼻咽喉科和麻醉科、手术室的医生和护士,经常半夜回医院,在手术室里碰面,因为一年之中,他们要为约500个孩子做这样的异物取出手术。
“气管异物比较危险,很多病例都来得很急。在此类事故多发的时候,科室成员每个月至少有七八个晚上,半夜被叫回医院里紧急抢救病人。”耳鼻咽喉科主任付勇介绍说,在病人具备手术条件的情况下,相关科室的同事都会与时间赛跑,帮助孩子摆脱险境。
他介绍,科室里的医生们从这些患儿的气道里取出异物后,把这些异物做成了“标本”,收集起来放在箱子里,里面形形色色各种异物,数量之大、种类之多令人惊讶。每一件标本都记录着风险,提示家长一定注意孩子安全。
他建议,对于3岁以下的小朋友,家长应尽量少给孩子吃花生米、瓜子、山核桃仁等坚果类食物,以免发生意外。如果发现孩子在没有感冒等疾病的情况下出现咳呛、喘息,要警惕是否发生异物吸入,及时带孩子到医院做个检查。如果情况十分紧急,来不及送医院,家长也最好学会必要的急救办法。
家长学起来!
应对异物吸入最有效的“海姆立克急救法”
整编:木玉
排版:王囤囤
猜你想看
欢迎分享
点赞鼓励
原标题:《又一个中招,这次元凶是别针!11个月大的宝宝险些因它丧命》

