男子痴呆被逆转?脑血管造影检查帮了大忙
原创 路遥知马力 医学界神经病学频道

今天,我们介绍一种引起可逆性痴呆的病因,这种病因容易被忽视,了解这种病因并进行及时的血管内治疗,可显著改善患者的临床预后,挽救患者生活质量。
病例资料
患者男,68岁,因快速进展性痴呆入院。
男子从越南旅行回来一周后,逐渐出现意识障碍、昼夜颠倒、记忆力下降、言语及步态迟缓。先前无发热症状。上述症状持续2周后,外院考虑自身免疫性脑炎并予激素和静脉注射免疫球蛋白治疗。
因临床症状无改善患者很快转至我院。
▍入院时查体:清醒状态,定向力、注意力减退,命名和服从指令功能下降。出现额叶释放体征,包括眉间反射(glabellar reflex)、握持反射(grasp reflex)和鼻口反射(snout reflex)。颅神经查体包括眼底检查未见异常。双上肢肌张力稍高,四肢肌力正常。左侧肱二头肌反射、肱三头肌反射亢进。其他病理反射阴性。感觉和共济运动查体未见异常。
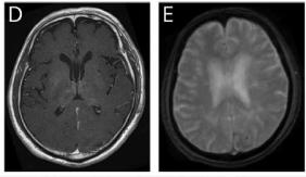
▍脑脊液检查:脑脊液压力15 cm H2O,脑脊液蛋白115.1mg/dL (参考范围:15 - 45 mg/dL),细胞数、葡萄糖和氯化物正常范围。脑电图示弥漫性慢波。颅脑MRI示双侧丘脑T2高信号并延伸至左侧胼胝体压部,伴轻度弥散受限,增强扫描可见散在强化。梯度回波成像示左侧外囊、右侧枕叶内侧点状微出血病灶。


1
患者的诊断和鉴别诊断是什么?
患者临床表现为急性认知功能下降,病史和查体提示额叶、丘脑或边缘系统受累。
快速进展性痴呆的鉴别诊断包括感染性脑炎、克雅氏病(Creutzfeldt-Jakob disease, CJD)、脑血管病、中毒/代谢性疾病等。
颅脑MRI示左侧颞叶内侧、左侧枕叶和双侧丘脑T2高信号伴明显水肿,需要考虑血管性疾病。
双侧丘脑受累的卒中需要考虑Percheron动脉梗死。这种变异的血管起源于大脑后动脉近端,分叉后供应双侧丘脑。Percheron动脉闭塞可导致双侧丘脑梗死,部分患者可伴中脑受累。
另外,静脉梗死也需要考虑。MRI病灶相对对称、脑深部T2高信号伴水肿且不符合动脉分布。CTV示直窦部分缺失或发育不全,而无明确充盈缺损支持血栓形成。然而,可见静脉侧枝建立征象,提示静脉窦系统慢性静脉闭塞过程。由于CTV显示的是一种慢性甚至是发育过程,因此仍无法明确这种静脉异常与急性认知功能下降和神经影像改变是否相关。

其他可能需要鉴别的疾病包括CJD、韦尼克脑病、病毒性脑炎和自身免疫性脑炎。尽管CJD患者MRI可出现双侧丘脑异常信号,但无明显水肿或占位效应。
此外,CJD在DWI上还可出现“皮层绸缎征”。韦尼克脑病也可出现双侧丘脑受累,但其他典型部位如乳头体、导水管周围、顶盖和三脑室周围结构未受累。
几种病毒性脑炎亦可出现双侧丘脑受累。加上患者最近去越南旅行史,日本脑炎病毒首先纳入考虑。日本脑炎病毒是一种虫媒黄病毒,它是越南地区脑炎最常见的病因。1%的日本脑炎病毒感染可导致脑炎。典型MRI表现为双侧丘脑高信号。
然而,该患者无脑脊液细胞数增多、无感染症状,不太支持日本脑炎诊断。此外,该患者对激素和免疫球蛋白治疗无反应,自身免疫性脑炎的可能性较小。
2
下一步需要做哪些检查?
复查脑脊液行14-3-3蛋白和其他病原学检查(包括日本脑炎病毒、革等热病毒、基孔肯雅病毒)。因神经功能缺损加重,复查神经影像示直径8mm的左侧枕叶实质出血。
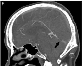
考虑到之前的影像检查未能检测出潜在的静脉血栓,我们对患者还是进行了脑血管造影检查。静脉期示直窦硬脑膜动静脉瘘(dural arteriovenous fistula, dAVF)(Borden分级 III级),直窦中段短节段闭塞。可见多重血管供应包括左侧脑膜中动脉后支、左侧大脑后动脉脑膜支以及Davidoff和Schechter动脉。经动脉栓塞后dAVF血流减少70%。经静脉未能执行是由于导管无法穿过直窦血栓,提示血栓形成是慢性形成的。
尽管栓塞治疗后血流减少,但患者的MRI表现仍在进展。在没有进一步介入或手术选择的情况下,持续进展风险大于抗凝治疗风险。
因此,患者接受了抗凝治疗。其他高凝状态检查包括蛋白C/蛋白S、V因子Leiden突变、凝血酶原20210A、抗心磷脂抗体及β2糖蛋白均阴性。抗凝治疗1周后神经影像未见继续进展。患者意识水平、言语功能及随意运动改善,并好转出院。

dAVF连接硬脑膜动脉和静脉窦或皮层静脉,其发生率为0.15-0.29/100,000。由于很多患者是无症状的,所以dAVF的发病率可能被低估。顺流的dAVF通常表现为头痛和搏动性耳鸣。如果逆行性静脉窦引流则引起静脉压增高,患者可出现颅内压增高表现,如头痛和视乳头水肿。dAVF患者很少出现认知障碍和行为改变,约4%的dAVF患者可表现为痴呆。
因此,当出现快速进展性痴呆时,dAVF也要纳入病因考虑范围。由于dAVF的进展可经治疗后得到减慢、终止或逆转,因此早期诊断显得十分重要。
CTA和MRA被推荐用于检测dAVF,但不同研究其敏感性差异很大(MRA低于50%,CTA低于15%)。尽管一些影像征象如不对称性颈静脉衰减、动脉供血异常突出、散乱的静脉窦可将CTA的敏感性和特异性增加至>90%,但对于高度怀疑dAVF且无创影像学检查阴性者仍应进行脑血管造影,它是检测dAVF的金标准。
dAVF常伴近邻的颅内静脉窦血栓(cerebral venous sinus thrombosis, CVST),近40% dAVF患者伴发CVST。潜在发病机制是CVST引起静脉高压和血管再生,进而促进瘘的形成而导致 dAVF发生。
症状性dAVF的主要治疗方法是血管内栓塞。栓塞的目的是治疗静脉高压和消除直接皮质静脉引流。急性期不明原因的CVST通常抗凝治疗6-12个月。该患者CVST慢性形成的机制仍不明确,由于患者静脉高压进行性加重导致梗死和脑实质出血,抗凝治疗带来的获益是大于其风险的。
因此,早期考虑和诊断dAVF及其相关的CVST作为快速进展性痴呆的潜在病因是十分重要的,发现它们并进行及时的血管内治疗,可显著改善患者的临床预后。
注:本文译自2019年在Neurology上发表的一篇临床推理文章。
参考文献:Sarah H. Berth, Arjun Seth, Adam Cohen, et al. Clinical Reasoning: A 68-year-old man with rapid cognitive decline. Neurology 2019;93;315-318. DOI 10.1212/WNL.0000000000007954
本文首发:医学界神经病学频道
本文作者: 路遥知马力
原标题:《男子痴呆被逆转?脑血管造影检查帮了大忙!》

