金刚狼成真了?从漫画走向现实,科学家通过注入纳米钛金属刺激骨骼生长
原创 BioWorld Bio生物世界

相信大多数读者大家对漫威并不陌生,在漫威宇宙中,有数千位角色,数十位超级英雄,其中钢铁侠、蜘蛛侠和美国队长等角色形象更是塑造得极为深入人心。
在这些超级英雄中,金刚狼具有非常高的知名度,他是漫威旗下X战警团队中最受欢迎的形象之一,同时也是人气最高的变种人角色。在漫画的故事设定里,金刚狼被注入艾德曼合金,手上的骨爪被无坚不摧的钢爪所取代,从此具有无坚不摧的能力。
正常来看,金刚狼的故事似乎是不可能实现的,然而,科学的进步正在让原本只能在漫画何电影中存在的奇思妙想逐渐变成现实。
近日,英国格拉斯哥大学工程学院生物医学工程部的研究人员在美国化学学会旗下期刊 ACS Applied Materials & Interfaces 上发表了题为:Nanopatterned Titanium Implants Accelerate Bone Formation In Vivo 的研究论文。
此项研究描述了一种用二氧化钛制作三维(3D)表面的新技术,以此模拟人工关节界面的骨生长。这为提高骨科植入物的成骨能力提供了一种可行的途径,潜在地减少了手术后的愈合时间,延长了现有人工关节的寿命。

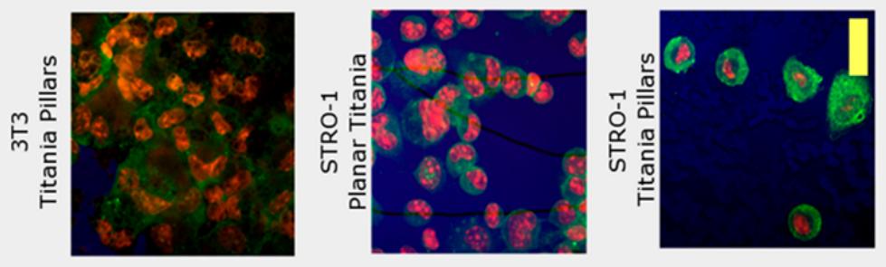
之前的研究表明,改变钛的表面可以刺激骨骼生长,然而,在非平面表面上形成最能有效刺激骨骼生长的纳米特征是一件很困难的事情。
在此项研究中,研究团队开发了一种用氧化钛溶胶凝胶(titanium oxide sol-gels)在三维钛表面刻画图案的方法,然后对其进行退火,从而在其表面附着上高15-20nm、直径100nm的柱状纳米形貌。

紧接着,研究人员在一系列实验中对纳米钛表面进行了表征,并研究了纳米钛表面在界面处加速骨形成的能力。他们发现,与无图案、平坦的纳米钛表面相比,无序的纳米颗粒表面增加了骨组织的形成,增强了骨质矿化。


论文链接:
https://doi.org/10.1021/acsami.0c10273
更名通知
BioWorld始终致力于报道生命科学领域最前沿、最重要、最有趣的研究进展,目前全网已有30万+学者关注。
BioWorld编辑部经过深思熟虑,决定统一各平台名称,因此BioWorld公众号现更名为Bio生物世界作为过渡,并将最终统一更名为生物世界。

