类风关20年,最近发现“大脖子病”,这是为何?| 风榜定案
原创 金迪 王玉伟 医学界风湿与肾病频道
不想错过界妹的推送?
戳上方蓝字“医学界风湿与肾病频道”关注我们
并点击右上角“···”菜单,选择“设为星标”

20年前诊断类风湿关节炎(RA),7年前诊断肾功能不全,近期有吞咽困难、恶心和食欲下降,查体发现甲状腺肿大,你能一眼识破凶手的真面目吗?一起来挑战今天的风榜定案吧~
案例篇
患者为55岁男性,20年前诊断为RA。患者既往诊断“原发性高血压”病史15年,诊断 “终末期肾病”并长期血液透析治疗7年。患者近期有吞咽困难、恶心和食欲下降表现,体重无明显变化。目前服用来氟米特、醋酸钙、兰索拉唑等药物治疗。此次入院体检发现甲状腺弥漫性肿大,多发结节,多个关节畸形和类风湿结节。
▎实验室检测如下:

甲状腺超声可见甲状腺双侧叶增大,多个实性低回声和混合回声结节,伴有囊性和钙化变性,最大结节约50mm×28mm×24mm,位于右叶。结节抽吸活检提示良性病变。
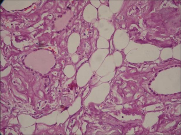
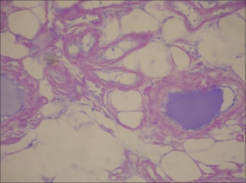
患者存在大量结节,行甲状腺全切除术。病理可见:右叶为12cm×7.5cm×7cm,左叶为9.6cm×6cm×5cm,包膜完整。在右叶切片中,发现一个4cm×3cm大小的部分囊性结节,边界清。左叶可见1个4cm×4cm大小的囊性结节。周围甲状腺组织硬化,呈浅棕色,外观均匀。镜检内含胶状物质的甲状腺滤泡增大、延长,滤泡及血管周围广泛聚集嗜酸性、无结构、不定形的淀粉样物质,滤泡和血管周围可见淀粉样物质积聚(见图1)。结晶紫染色切片可见甲状腺滤泡和血管之间弥漫性异染物质(见图2)。


刚果红染色偏振光显微镜检查呈绿色双折光。
免疫组化检测发现极少量CD138染色浆细胞, CD3、CD20、 CEA、CD56、嗜铬粒蛋白和突触素均为阴性。
答疑篇

根据上述病例信息,患者为淀粉样甲状腺肿,检查未发现甲状腺髓样癌及淋巴瘤依据。术后,患者吞咽困难、恶心等症状改善。1年后随访,患者接受左甲状腺素片替代治疗,服用来氟米特并规律行血液透析。
▎断案心得:
亚临床淀粉样变在RA中很常见,甲状腺受累可能是发生淀粉样变的第一征象。临床上,RA中淀粉样变的实际发病率可能被低估。因此,如风湿病患者有甲状腺肿,必要时需行活检或手术来诊断。
一起来了解淀粉样变性的相关知识~
淀粉样变性是由不溶性淀粉样蛋白沉积在组织器官中引起的,分为原发性、继发性、遗传性和家族性等类型,原发性淀粉样变最为常见,继发性淀粉样变相对较少。淀粉样变的诊断有赖于组织病理活检、单克隆抗体或组织化学染色。继发性淀粉样变伴随恶性肿瘤或慢性炎症性疾病的发生,如RA、肺结核、强直性脊柱炎和炎症性肠病等。结缔组织病是继发淀粉样变的常见原因,其中以RA最常见。
一项队列研究发现,16.3%的RA患者会出现淀粉样沉积。抗炎药物等治疗能够抑制淀粉样变性,减少受累脏器功能恶化,因此,早期诊断很重要。研究认为结缔组织病继发的淀粉样变经积极有效治疗可明显改善预后。
Von Rokitansky于1855年首次描述甲状腺中存在少量淀粉样沉积,Eiselberg于1904年将这种情况命名为“淀粉样甲状腺肿”。淀粉样甲状腺肿被定义为淀粉样蛋白在甲状腺中积聚,导致甲状腺肿大。尸检研究发现大约80%继发性淀粉样变和50%原发性淀粉样变患者会存在甲状腺内淀粉样变。
淀粉样甲状腺肿很少作为系统性淀粉样变的首发表现。很多淀粉样甲状腺肿患者甲状腺功能正常。数周或数月内可能表现为甲状腺弥漫性肿大,可伴随喘鸣、声音嘶哑、呼吸困难和吞咽困难等症状。既往尸检病例研究发现,除甲状腺外,参与淀粉样沉积的器官还包括肾脏、肾上腺、肝脏和脾脏。根据淀粉样蛋白沉积量不同,甲状腺可以是软的、硬的、弥漫性或呈结节状。
Kimura等人报道30例系统性淀粉样变性患者中有10例发生甲状腺受累,其中9例有甲状腺功能不全,甲状腺功能减退5例,低T3综合征2例,亚急性甲状腺炎样综合征1例,Graves病并存1例。这9例中有5例甲状腺自身抗体呈阳性。
淀粉样蛋白在甲状腺内积聚是一种常见现象,临床上弥漫性甲状腺肿大作为系统性淀粉样变性的首发表现却非常罕见。继发于RA的淀粉样甲状腺肿大在文献报道中也不常见。
淀粉样甲状腺肿常与甲状腺髓样癌有关,在50%-70%的病例中被证实。透析相关性淀粉样变可能发生在终末期肾病患者,其临床表现通常在透析数年后出现,包括腕管综合征、破坏性关节病、骨囊肿和骨折。
此例患者发生终末期肾病的病因可能是高血压或淀粉样变所致,但患者从未进行过肾脏活检。
参考文献:
[1].Şeker A, Erkinüresin T, Demirci H. Amyloid Goiter in a Patient with Rheumatoid Arthritis and End-Stage Renal Disease. Indian J Nephrol. 2020;30(2):125‐128.
[2]. 中华医学会风湿病学分会. 类风湿关节炎诊断及治疗指南[J]. 中华风湿病学杂志, 2010(4):265-270.
[3]. 张卓莉, 董怡. 继发性淀粉样变的临床特点[J]. 中华风湿病学杂志, 2002, 006(005):335-337.
本文首发:医学界风湿与肾病频道
本文作者:金迪 王玉伟
本文审阅:陈新鹏 副主任医师
责任编辑:风禾
版权申明
本文原创 如需转载请联系授权
- End -

