上下楼梯膝盖痛?这些人要特别注意了

步入老年后由于膝关节疼痛,
甚至不能弯曲,
连日常生活都受到影响!
她尝试过各种保守治疗,
效果都不甚理想。

她找到了暨南大学附属第一医院
骨关节外科主任刘宁,
医护团队为她进行了详细检查,
结果诊断为“左膝骨关节炎”。
患上膝骨关节炎为什么会疼痛难忍
刘宁主任指出,膝骨关节炎的根本原因是:关节软骨磨损与剥脱。随着年龄的增长及各种损伤,关节软骨会逐渐退变,磨损程度逐渐加重。软骨一旦磨损后很难再生,失去软骨的保护,走路时骨头磨骨头。骨头最外面的骨膜及周围的滑膜上神经丰富,关节痛感便会袭来。
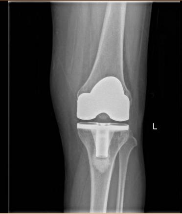
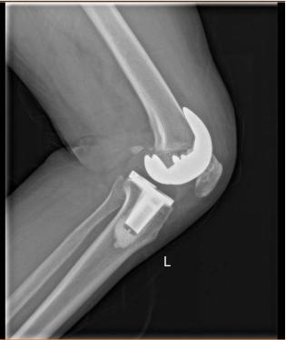
反复讨论制定了完善的膝关节置换手术计划和术后康复方案,刘宁主任向范阿姨介绍道:膝关节置换术就是将膝关节损坏的部分切除,换上新的活动关节,使膝关节稳固,受力平衡,从而消除疼痛,手术使用的材料是钛合金部件和高分子量聚乙烯垫片,跟人体相容性好,极少出现排斥反应。
术后第1天,范阿姨便能下地无痛行走,这让她感到十分惊讶和欣喜!术后第5天,范阿姨便顺利出院。
术后忽略康复 关节恢复受阻碍
或许是“无痛”的关节来之不易,范阿姨对手术后的膝关节倍加“珍惜”,抱着能不走就不走、能坐就不站的思想,范阿姨的术后康复误入歧途。
原本“乖巧听话”的膝关节,开始出现疼痛和活动受限,但由于新冠疫情迟迟不敢到医院复诊。术后6个月,疼痛难忍的范阿姨来到了刘宁主任的诊室。
经过详细的问诊,刘宁主任纠正了范阿姨的错误思想:如果想要获得一个满分的关节,手术治疗只占一半的分数,还有一半的分数需要靠自身的配合和努力。
范阿姨意识到问题所在,心里悬着的石头终于落地,在进行了科学、依据个人情况制定的康复锻炼之后,膝关节终于恢复到了满意的状态。




科学锻炼才能恢复关节功能
很多人觉得做完手术关节就治愈了,其实这并不是治疗的终点。
术后患者要积极地主动参与功能锻炼,制定详细的功能锻炼、肌肉训练和早期下地负重行走锻炼,这样能尽快地恢复关节功能。在疼痛逐渐消退后,只要坚持肌力练习,步态会逐渐恢复至术前的水平。
需要强调的是,过量的行走会带来膝关节的肿胀,步行不能代替功能康复锻炼,所以建议出院后,在非负重情况下,每天进行肌肉功能锻炼及关节屈伸锻炼。
在锻炼到一定程度,在腿部力量逐渐恢复之后,复查时经医生评估后,可逐步改为负重下功能锻炼,一般3-6个月后可恢复正常功能状态。

膝关节炎是一种以退行性病理改变为基础的疾患。多患于中老年人群,其症状多表现为膝盖红肿痛、上下楼梯痛、坐起立行时膝部酸痛不适等。
刘宁主任介绍,观察上下楼梯时关节的感受是一个行之有效的自测方法。
下楼梯疼——膝关节发来的较重预警信号;
上楼梯也疼——膝关节发来的严重预警信号;
行走时疼痛加重,晚上睡觉都在疼——膝关节问题特别严重的预警信号。
刘宁主任表示,中老年人开始出现了下楼梯时关节疼,就必须提高警惕。建议及早到正规医院就诊,医生会针对不同的病情程度采取不同的治疗方法。
来源:广东发布
原标题:《上下楼梯膝盖痛?这些人要特别注意了》

