给“生命之路”照个相:输卵管造影术
造影术
子宫输卵管
在夫妻双方各项不孕因素中,女性输卵管不通畅占了较大比例。为了提高自然受孕机率,及时明确不孕原因并采取有效治疗措施,输卵管通畅度的诊断显得尤为重要。

子宫输卵管造影术(HSG)即指从阴道进入与宫颈外口处注射造影剂对女性子宫输卵管进行检查的方法。

我院子宫输卵管造影术在临床上应用的几十年来,已做患者近10万余人次,具有无创伤,痛苦小,诊断准确等优点。

目前我放射科进行(HSG)术时采用的造影剂分为碘水和碘化油两类。
碘水采用的是20毫升的碘佛醇注射液,优点是造影剂价格便宜,弥散快,推药压力比较小,术后20分钟即可复查。
碘化油采用的是10毫升新型超液化碘化油造影剂罂粟乙碘油,优点是含碘量高,图像显影更清晰,还有解痉缓解疼痛,局部消炎改善盆腔免疫等作用,术后2个小时复查。
以上两种方法,病人可在知情后自主选择。
子宫输卵管造影术适应症有哪些?
◆不孕症:用以了解原发性或继发性不孕症的原因,不仅能够借此判断子宫及输卵管有无先天性畸形或病理情况存在,判断输卵管是否通畅,从而明确不孕的原因。部分病例经子宫输卵管碘油造影后,可促使输卵管通畅,进而顺利受孕。

◆生殖道畸形诊断:子宫畸形如双角子宫、纵隔子宫等;
◆盆腔异物诊断: 金属宫内节育器异位;
◆宫腔粘连、宫颈粘连诊断;

◆(亚)急性内外生殖器炎症;
◆严重全身性疾病,无法耐受手术者;
◆妊娠期、月经期;
◆产后、流产、刮宫术后6周内;
◆碘过敏者;
输卵管造影术前
准备
◆月经净后3至7天内检查;
◆月经净后禁止性生活,进行当日白带化验;

◆术前体温不超过37.5℃;
◆排除造影剂过敏史;

手术过程
◆造影前先摄盆腔平片一张
◆在透视下缓慢注入造影剂,见子宫和输卵管形态、轮廓能清晰显示,造影剂自输卵管伞端溢出,即拍摄造影片;
◆如检查宫颈机能及宫腔内疾病,需用宫颈钳将子宫拉成中位,再行注入造影剂,术中若发现异常需及时摄片,必要时拍左右斜位片,使病变部位显示更为清晰;
◆水剂20分钟、油剂2小时后拍摄弥散复查片;
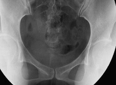
造影术影像



输卵管造影术术后注意事项
◆使用碘水造影者于术后20分钟进行复查;使用碘化油造影者于术后2个小时进行复查,不可擅自离开;

◆术后当月禁同房;
◆若检查结果表明输卵管不通畅,推荐于下一月经周期行输卵管再通术,疏通输卵管管腔,提高受孕几率;
放射科专家门诊时间
1.李群英 主任医师
特需门诊:周一上午
2.钱朝霞 主任医师
专家门诊:周二下午
特需门诊:周三下午
3.刘嵘 副主任医师
专家门诊:周四下午
建议患者获得造影报告后,可携胶片报告,前往我院放射科专家门诊进行咨询,制定个性化的治疗方案!
部分图片来自网络
原标题:《给“生命之路”照个相:输卵管造影术》

