这类主动脉夹层死亡率高,极易漏诊、误诊
原创 郑智 医学界心血管频道

本例学习要点
主动脉夹层的常见病因是高血压,但外伤也可以导致主动脉夹层,这类患者可能并没有主动脉夹层的常见危险因素如高血压等。
外伤性主动脉夹层通常是严重多发伤的一部分,容易被其它伤势所掩盖。如何早期发现、及时诊断是治疗的关键,而治疗中也应综合评估全身伤情进行个体化治疗。
在一次交通意外中,我受了重伤。虽然身体表面看不出明显伤痕,但我估计内脏损伤情况比较严重,因为我的前胸后背和腹部都疼痛难忍,而且觉得呼吸困难。在当地基层医院初步检查发现除了脾破裂以外,可能还合并有主动脉夹层,基层条件有限,需要转上级医院。
基层医院平扫CT提示胸降主动脉起始部内膜片影(图1),疑诊主动脉夹层(如何从平时CT发现主动脉夹层,请参考下文链接:没有CTA?这三招也能识别主动脉夹层!)。

入院后,胸腹主动脉CTA将主动脉及胸腹腔脏器一起进行全面评估。与图1平扫CT层面对应,图2显示降主动脉夹层。

红星号显示纵隔血肿,白箭头显示胸腔积液。
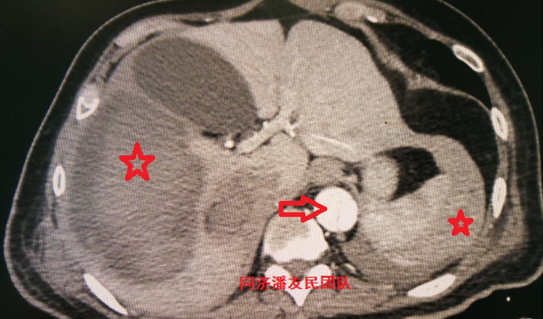
CTA同时发现脾脏破裂出血合并腹腔积液(图3)。

腹部彩超也证实脾破裂,腹腔积血(图4)。

心脏彩超、头部CT未见异常。初步诊断:车祸外伤、外伤性降主动脉夹层、脾破裂、失血性休克(早期)。
外伤性主动脉夹层进行腔内治疗,腹部外伤情况也进行了相应处理。患者出院前复查CTA,情况良好(图5)。

通过本例外伤性主动脉夹层,下面我们一起学习一下这一特殊类型的主动脉夹层。
外伤导致主动脉夹层的原因
主动脉夹层的发生大多数与主动脉结构薄弱不能承受高速高压的血流冲击有关,最常见的病因是高血压,其他高危因素包括动脉粥样硬化、遗传性因素、主动脉炎症、特发性中层纤维退变等。
但是外伤性主动脉夹层患者可能没有高血压,且并不具备这些危险因素。目前认为,外伤性主动脉夹层是由于多种作用力直接或间接共同导致的结果,这些力量可引起受伤局部及远处的主动脉内膜广泛撕裂,造成一个或多个裂口的主动脉夹层。
造成主动脉夹层的常见外伤包括:车祸伤、坠落伤等。这些损伤通常是闭合性的钝性损伤,没有伤口与外界相通,因此外伤性主动脉夹层不容易被发现和诊断出来。
外伤性主动脉夹层
容易误诊漏诊
由于主动脉位于胸腔深处纵隔内,有骨性胸廓的保护,一般外伤很难累及。如果外力作用大,严重累及到升主动脉或主动脉弓,通常引起灾难性后果导致瞬间死亡而来不及诊断。
如果外力作用相对弱,病变累及降主动脉而造成外伤性降主动脉夹层,即Stanford B型主动脉夹层,夹层病变累及锁骨下动脉开口以远的胸腹主动脉。其病情隐匿容易漏诊,而且常常伴有严重的多发伤,处理棘手,如果漏诊或处理不当死亡率很高。
外伤性主动脉夹层的
影像学表现
外伤性主动脉夹层的临床分型仍然采用国际上通用的Debakey或Stanford分型,但却有特殊的临床表现。
由于病人本身没有主动脉基础病变,而当外力作用相对较弱时,主动脉夹层的撕裂比较局限,仅仅累及一小段胸降主动脉,这种特征性的影像学改变是外伤性主动脉夹层特有的。
除了局限性主动脉夹层外,也可以表现为非局限性夹层,即普通类型的降主动脉夹层(图6)。

除了主动脉病变外,通常还合并其它系统损伤:如胸腔积液、气胸、肋骨骨折、肝脏破裂出血等多器官损伤情况(图7、8)。


主动脉损伤的类型
外伤导致的主动脉损伤除了主动脉夹层以外,还包括:主动脉溃疡、主动脉壁间血肿、主动脉假性动脉瘤等(图9、10)。主动脉溃疡通常伴有壁间血肿,也有少部分患者没有主动脉溃疡(或者溃疡比较小,亦或者溃疡已经愈合)而单纯表现为主动脉壁间血肿。


外伤性主动脉夹层的治疗
外伤性主动脉夹层的治疗应该是多发伤治疗中的一部分,首先需要全面评估全身受伤情况,分轻重缓急处理各个系统损伤。如果外伤性主动脉夹层病变部位是升主动脉,病情危及需优先紧急处理。
如果病变在降主动脉,同时合并严重脑外伤、腹部实质脏器损伤大出血,可酌情优先处理危及生命的器官,主动脉病变采取控制心率血压的保守治疗,待生命体征稳定后再行主动脉夹层处理。对于降主动脉夹层的治疗以腔内治疗为主。

本例总结
外伤评估中胸部平扫CT作为常规,应该重视外伤是否合并主动脉病变;
外伤性主动脉夹层从影像学表现分两种情况:局限型和非局限型;
外伤性主动脉夹层的治疗应该全面评估全身伤情决定,制定个体化治疗方案。
专家简介

郑智,华中科技大学同济医学院附属同济医院心脏大血管外科,副主任医师,德国法兰克福大学医学博士。美国心脏病学院(ACC)国际附属会员;国际血管联盟(IUA)中国分部胸主动脉专业委员会委员;亚洲心血管及胸腔外科学会(ASCVTS)成员;世界华人医师协会(WACD)会员;中国研究型医院学会血管医学专业委员会委员;中国医药教育协会胸痛专业委员会委员;提出A型主动脉夹层微创腔内治疗及“以医学人文关怀为导向”的主动脉夹层个体化治疗理念,倡导心血管急危重症救治中的“医学创新、人文创新、科普创新”,在国际期刊(SCI)及国内杂志发表医学论文三十余篇。
本文首发:医学界心血管频道
本文作者:郑智
责任编辑:董小雯
版权申明
本文原创 如需转载请联系授权
- End -

