活虫爬进23岁女生大脑,原因竟是两年前吃的......

女孩因感染寄生虫反复头痛
3个月前,年仅23岁的小易无明显诱因下出现反复的头部持续性胀痛,还伴恶心呕吐,至当地医院查磁共振显示右侧额部有异常信号,脑脊液蛋白偏高,考虑为病毒性感染。给予甘露醇脱水,更昔洛韦抗病毒治疗后,小易的症状缓解便出院回家。没想到的是,三个月不到,小易的情况突然恶化,突发左侧面瘫伴耳鸣。
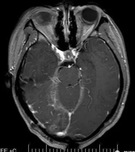
这次的磁共振显示,之前右侧额叶的异常信号虽然减轻了,但是,在同侧的后脑勺部位出现了一个更大的异常信号影,病灶呈现多个不规则的圆圈影,像极了盘绕的蚯蚓!同时,小易的血清寄生虫检查发现了裂头蚴抗原阳性,提示裂头蚴感染可能。

疾控中心在青蛙腿部发现裂头蚴
在医生的追问之下,小易说她两年前在旅游时曾经吃过一次口水蛙!事件逐渐明了,医生推测系小易两年前吃的蛙肉可能未煮熟,其中含有裂头蚴,裂头蚴寄居在小易的肠道,时机成熟便由腹腔穿透膈肌,沿颈内动脉上行进入颅内,先是在小易额部对脑子造成损伤,之后裂头蚴在数月内迅速长大,并不断在脑内游走,“吞噬”并损害脑组织,造成相关症状。
考虑小易脑子里的虫子增长迅速,手术迫在眉睫,否则,虫子继续长大,不仅会对脑子造成机械性损害、压迫正常脑组织、阻塞血管或者脑脊液通道,还有可能通过分泌毒素或者引起相关的过敏反应加重脑组织的损害。

鼓楼医院神经外科杭春华主任带领戴嵬医生和陈春雷医生立刻给小易实施了神经导航下的寄生虫取出术。术中,当打开小易的脑子后,大家发现了一条活的白色条状虫子,虫子不断扭动,甚至想钻出脑子,完整取出后发现这条虫子竟有15厘米,虫子离开人体后并没有立即死亡,还在不断蠕动,存活好久。

取出虫子后,杭春华主任继续检查虫子周围的脑组织有没有损坏,在仔细清理完被虫子“啃食”的坏死脑组织后关颅,结束了手术。术后小易恢复良好,术后第一天复查磁共振显示虫子已被完全清除,仅有部分水肿待吸收。

【专家提醒】
杭春华主任提醒大家:
脑寄生虫通常由医学原虫或医学蠕虫的成虫、幼虫和虫卵寄生在大脑,引起脑部损害以及炎症反应。千万不要认为脑寄生虫感染是离我们很远的事,人们要引起足够重视,在日常生活中做好预防。
01 肉类尽量煮熟吃
现如今人们追求美食都是追求一个“鲜”字,吃货们为了追求鲜美的口感,有时会把一些不能生吃的食物尝试生吃。生活中有很多食物是不能生吃的,熟悉一点的有猪肉、羊肉、牛肉,如果不注意,会感染绦虫、弓形虫等。猎奇一点的是蛇肉和蛙肉,这些肉类中含有原尾蚴的虫卵,会活着进入人体的体内。还有人拿淡水鱼做生鱼片,淡水鱼相对于海鱼来讲寄生虫会更多,这是非常危险的行为!
02 案板、菜刀要生熟分开
很多家庭图方便,切生的和熟的菜都用一个案板和菜刀,这存在潜在危险。如果拿刚切了生肉的案板和刀,再切熟食,熟食上就会沾染生肉的寄生虫,熟食是不会回锅再做的,直接拿来吃就把寄生虫吃进肚子里了。为了预防寄生虫感染,案板和菜刀一定要生熟分开。
03 不要喝生水
日常生活中哪怕再渴也不要喝生水,因为有感染寄生虫的风险。水厂的初步消毒,没有办法完全杀死寄生虫。在野外游泳不仅危险,误吞河水也有可能造成寄生虫感染。另外,有些人在户外旅游时,看到清冽的山泉水可能会想品尝其甘冽,殊不知看似干净的泉水可能暗藏杀机。
04 养成良好的卫生习惯
日常生活中养成良好的卫生习惯,也是预防脑部感染寄生虫的一个要点。比如说饭前便后要洗手,不吃没有洗的生瓜果蔬菜,如果家里有宠物,一定带宠物定期驱虫,保持卫生,防止人畜互相传染。
同时,杭主任还提醒大家,虽然鼓楼医院神经外科会竭尽所能地为大家的健康保驾护航,但是大家也要重视平时生活中的头晕头痛症状,一旦症状反复出现或加重,就一定要到正规医院的专科门诊进行咨询和检查,以便医生及时诊断,及时治疗。

原标题:《活虫爬进23岁女生大脑,原因竟是两年前吃的......》

