中国抗疫2千年史:技术进步让更多人活命
我们的先民,在古代是怎么战胜疫情的?
官府组织、物资筹备、登记造册、赈灾放粮、阻止流动、隔离治疗、边境检疫、免疫接种、阻断传染源、处理尸体、消毒、个人卫生、不吃生食、不吃病死动物、正确饮食、行气导引。
一个问题:2020年战疫,相比前朝古代,多了些什么?
容我卖个关子,问题留到最后回答,故事先从曹操开始。
故事从曹操说起
我们的先民,遭遇了无数次危机,包括洪水、战争、瘟疫、蝗灾、饥荒,史书上的每一笔,都是一个个家庭的悲鸣。
东汉熹平二年癸丑(173年),公元一七三年。春,正月,大疫。
东汉光和二年己未(179年),公元一七九年。春,大疫。
东汉中平二年乙丑(185年),公元一八五年。春,正月,大疫。
张仲景在《伤寒卒病论》中说「余宗族素多,向逾二百,自建安以来,犹未十年,其亡者三分之二,伤寒十居其七」。
注意,东汉这几场瘟疫,都发生在春季,正月前后,跟今天一样。然后疫情一起,方士用符水给人治病,于是道教迅速传播,便有了张角、太平道和黄巾军。

赤壁之战,曹操不是输在诸葛亮火烧赤壁,而是输在了瘟疫上。
而最惨烈的,就是建安二十二年的那场建安大瘟疫,伤寒。那时曹操伐吴,结果前线爆发疫情,司马朗、王粲都死在居巢(安徽巢湖)前线,鲁肃也死在前线,曹操遂引军退还,把瘟疫又带了回来,接下来就是改变中华民族命运的瘟疫大爆发。
这场瘟疫由动物(马牛羊等)作为病毒宿主传播,传染性极强;发病急猛,死亡率极高;患者高热致喘,气绝而死,可能是肺炎导致肺部纤维化、粘液渗出,最后呼吸窘迫而死。幸好今天有吸氧、化痰、人工心肺ECMO。
曹操《蒿里行》写道:「白骨露于野,千里无鸡鸣,生民百余一,念之断人肠」。
曹植《说疫气》写道:建安二十二年,疠气流行,家家有僵尸之痛,室室有号泣之哀。或阖门而殪,或覆族而丧。
这场瘟疫带走了1000万人的生命,等于70%的感染率,67%的死亡率,建安七子中,有五人死于这场瘟疫;鲁肃也死了,吕蒙接替,但是东吴也发生了瘟疫,所以当年孙权也撑不住请降。两年后,吕蒙也死了;但杀死他的,并不是关羽的魂魄,而是「疾疫」。
古代的抗疫
古代遭遇疫情时,第一要务就是隔离病人,避免病人到处传染,成为「超级传播者」。但想让病人和疫区居民配合的话,不但要阻断交通,还必须保证食物药品供给,给隔离病人治疗,以免谣言引发群体恐慌,然后等待疫情散去。
在建安大瘟疫中,朝廷下令,七十岁以上无丈夫儿子的老妇人,十二岁以下无父母兄弟的幼儿,残障人士、无家室资产的贫农,都可以领取救济。这就是大一统政权抗灾的力量。
近千年前,宋朝熙宁八年1075年,苏杭地区(粮仓)大旱,当时资政殿大学士赵抃执掌越州(绍兴),在饥荒还没到来的时候,就要求手下官吏具体造册,登记多少县乡受灾、多少户尚有余粮,多少人在吃财政饭、多少房子可以给灾民居住、现有物资钱粮清册、多少大户有可能捐资、寺院道观还有多少物资等等信息。这是「筹备钱粮、登记造册」。
赵抃拿到了统计数据,21900人;然后提前准备了48000石食粮。从十月上旬开始,每个成人每天领1升米,孩子减半。又怕人员聚集造成踩踏事故,所以又让男女分别在不同的时间领米,每次可以领两天的份。
大家今天看到杭州、温州采取的封闭小区,每个家庭每两天出一个人采购一次物资,其实跟我们的先贤在千年之前做的,完全是一样的操作。
赵抃还担心饥民流窜被人裹挟,所以设置了57个发粮点,只有当地居民才能领到粮食,有效阻止了人员流动,这是「官府组织、赈灾放粮、阻止流动」。
然后是隔离,西汉元始二年(公元002年),青周大疫,汉平帝下诏:「民疾疫者,舍空邸第,为置医药」。这就是把病人放到空房子里,给予隔离治疗。
宋太祖规定,所有被派往到边塞的将官,都要带随行医官负责部队的防疫和健康;清朝还有「查痘章京」官职,负责痘疹的防疫检查。这就是边境检疫和预防接种了。
唐太宗在疫情期间会派使者沿城巡行,发现尸骸迅速掩埋。唐玄宗在疫情期间下令,死者尸体要家人务必掩埋,无人管者,由地方官负责安葬。这就是处理尸体,隔断传染源了。
剩下就是消毒、个人卫生、注重饮食、运动健身了。比如《肘后备急方》写的太乙流金方烧熏法用于环境消毒,《备急千金要方》写的「细剉东引桃枝, 煮汤浴之」用来保持个人卫生,岁旦屠苏酒方用于井水消毒;还有行气导引术用来运动健身。
我最想吐槽的是,葛洪(公元284年生)早就说过「六畜自死, 皆是遭疫, 有毒,……几物肝脏, 自不可轻啖, 自死者, 弥勿食之」,病死的牲畜是不能吃的,非洲村民吃了一只病死的黑猩猩,导致2014年的埃博拉病毒爆发;
而2013年黄浦江上漂死猪事件,就是因为江浙沪地区养殖密度大,爆发疫情,然后有黑心人收购死猪,还有人不做无害化处理,而是直接把死猪抛入水里……这些人都是在危害社会。

我们的先民在2000年来,探索了多种抗疫的方法,有的有效,有的无效,但是中华民族仍然绵延至今,愈发强盛,是因为我们的技术和认识在不断升级。
到了近现代,伍连德战胜了肺鼠疫,新中国战胜了天花、血吸虫病,苏德隆战胜了上海桑毛虫皮炎大流行,2020年,除了强大的政府,我们还有强大的国内企业,更多工具和技术,我们不但会战胜新冠,还要拯救世界!
历数抗疫新技术
2020年春节这场疫情,目前在中国基本得到了控制,但在全世界却四处爆发。尽管我国在战疫前期非常艰难,但现在从全球情况来看,中国做得到的,其他国家却做不到。在这场战疫中,中国的组织能力、动员能力和基建能力有目共睹,但是在战场后方,我国这些年科技和技术的发展,也大大提升了抗疫和生产的效率。
5G应用
记得1月26号,知乎上有人问为什么移动联通电信要在火雷神山施工地抢装5G基站?答案就非常明了。在一块7.5万平方米的土地上,塞了7000人,一起交叉作业,沟通的工作量有多大?
事实上,对于设计人员和专业管理人员来说,主要的任务就是沟通,经常有人一天要花8个小时接打电话,收发微信;跟十几个专业去对接口界面;接受上级领导指示,以及跟施工人员说需要如何施工……
这么多人不用手机沟通,难道还用对讲机?7000个对讲机???如果不抓紧布移动通信基站,打个微信电话都打不了,怎么办?都2020了,难道通信基本还靠吼?
当然不,在5G加持下,我们有微信,可以发图片,发视频,多方通话,还可以随时用微信拉起腾讯会议开10人-300人的会议,连应用都不用下载,用腾讯会议小程序就能直接开大会,通过SIP网关实现跨内外网开会。
基建力量
2月1日,在雷神山工地, 共有专业管理人员768名,施工人员5895名,挖机、吊车等各类机械设备1306台。在这背后,因为有全国密布的铁路、公路、航空网络,可以保证物资、油料、食品、人力源源不断的供应;除此之外,还有BIM软件、项目管理系统、微信等保证近7000人的高效协作。
所以中国能10天盖成火神山,12天建成雷神山两座传染病医院,包括钢桁架搭建的医学技术楼和厢式板房搭出负压病房,而意大利只能用帐篷和气膜,在一个通宵搭建出满足初步需求的简易临时收容医院(意大利的表现已经比日本好了)。

口罩的进化
1911年,伍连德用他发明的伍氏口罩,双层消毒纱布中间夹一块吸水药棉,阻断传染,战胜了东北的肺鼠疫;

中石化实现了从石油到口罩的一条龙生产,比亚迪、五菱、富士康等企业也开始生产口罩……2千年来,我国制造产能每天都在攀登新的巅峰。
人工智能应用
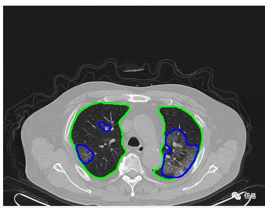
2020年跟古代的最大不同,是我们多了人工智能AI技术。AI识别CT的原理,其实就是把图片进行切割,然后进行卷积,识别边缘,包括识别颜色,就是我们熟知的大白肺,所以只要有了足够的、经过标注的图像数据,我们就能用AI识别出来。


AI识别CT的原理,其实就是把图片进行切割,然后进行卷积,识别边缘,包括识别颜色,就是我们熟知的大白肺,所以只要有了足够的、经过标注的图像数据,我们就能用AI识别出来。
仅仅诊断CT还不够的话,AI还可以根据位置大数据、流行病学史、患者症状这类关键词辅助诊断,这样准确度可以进一步提升,帮助武汉做到应收尽收,全力抗疫。
信息透明
某国国务卿蓬佩奥一直在指责中国面对疫情时信息不透明,结果等到3月3日,美国CDC却把「已检测人数」一栏从官网上删掉了,而且美国新冠疫情的页面,只在周一到周五的工作日更新,周末停更,这双标得真是感人。但是因为科技的发展,在疫情中我国的信息透明程度和交互速度,真的盖世无双。

每到危难时候,总有一批人在发国难财,比如连某个偶像练习生都在朋友圈里卖口罩,还有测温枪的惊天骗局;这时就需要对这些诈骗信息实时提示了;虽然挡不住有心人用暗语和表情诈骗,但是同样可以抓获诈骗嫌疑人。
不同于武则天那个年代,基层需要千里迢迢去长安击登闻鼓,站肺石以报案;国务院办公厅征集疫情防控线索时,国民只需要在微信城市服务中进入「疫情督查」,就能方便报送信息了。
在我们看不见的地方,我大鹅厂还帮工信部做了重点物资保障小程序,让口罩、防护服、护目镜等制造商实时上报产能,帮海关做了旅客出入境健康申报等,还有每个小区都在用的健康打卡小程序,都是免费的……
全国各大搜索引擎,还有腾讯、阿里都开放了发热门诊和定点医院的搜索服务,病人可以直接通过微信搜一搜「定点医院」,就能获取新冠肺炎定点医院名单。
过去治病,靠的是张仲景这样的名医坐堂;而现在无论腾讯系还是阿里系,还有丁香园这样的专业机构,都推出了在线问诊,减少病人在医院交叉感染的机会。


上报汇总
在疫情最初的几天,我们看到源源不断的物资送往武汉,但是抗疫物资的分发还在用一千年前赵抃采用的人工统计,手动造册的方式进行组织,唯一的进步就是把纸质报表改成了Excel。
一个月后,我们有了腾讯文档疫情小程序,支持10万人次的收集表填写,居民可以自行填报,方便每个基层组织快速收集辖区内的信息;还可以建立小区微信群,用接龙的方式收集团购信息。
在疫情期间,还可以用各种小程序实现个人健康上报、预约口罩、团购到家等小程序,这些都极大程度的降低了信息收集、汇总、展示的工作量,接下来就可以实现大数据及可视化了。
正是互联网的广泛应用,才能让中国抗疫有条不紊,敏捷高效,才保证全国14亿民众信息通畅,行动一致,举国在家里刷剧、游戏,实现了「有效隔离」,用张文宏大夫的说法,「闷死病毒」。
大数据及可视化
腾讯在疫情省、市,基于腾讯的位置大数据,建立疫情人流监控态势感知系统,帮助防疫指挥部了解实时情况。
在家自我隔离的用户,通过小程序上报当前位置、居住情况、家庭情况、就医历史记录、个人体温、身体情况、食物药品,这些数据可以直接上传到云端数据库;然后城市的管理者可以在后台直接导出报表,也可以根据数据信息在大屏上实时展现。

技术支持云复产
在猛虎趴窝一个月后,复工需求越来越迫切,如果耽误了生产、影响了春耕,那后续影响就大了。但复工之后,疫情同样紧急,很多企业需要远程办公、远程会议。这种需求放到古代是完全没法做的,而现在我们有了企业微信、钉钉、飞书,视频会议也有了腾讯会议、华为Welink、阿里钉钉,基本上满足了远程办公、停课不停学的需要,实现社会生产的有序恢复。令人悲伤的是,我们发现很多会其实是可以不开的……
当然我还是要吐槽下阿里的钉钉,毕竟是资本家的工具,如果不是把人管得太死,动辄人脸打卡、在线签到,还要钉一下,怎么可能得到一首《你钉起来真好听》的主题歌,还要被「五星好评,分期付款」?
头条的飞书有一个功能我很喜欢,就是虚拟办公室功能。可以把原来办公室的同事拉一个小组,录音和音箱一直开着,这样同样可以实现有事找谁,对着电脑喊一声就行的功能。
腾讯会议最好用的地方,是他支持在微信群里直接通过腾讯会议发起远程会议,可以投屏、视频、分享文档,如果懒得下载的话,直接用小程序也能开会,弄得我复工以后每天都在各种会上,有时还要同步开两个会,连码字的时间都没有了……
现在英国、日本部分学校也停学了,而我们无论企业微信、腾讯会议还是钉钉,都不得不走出国门支撑外国人的线上直播,然后钉钉还获得了日本学生的五星好评,当然也是分期付款的那种。
互联网公司
这次在家隔离战疫,多亏中国超前发展的互联网产业,无意中形成了民间强大的物流配送力量,在疫情最艰难的时候,同样保证了快递不停、外卖不停,让武汉的居民还可以通过团购买菜,最大程度的减少了人传人,也保障了物资配送。
幸好滴滴不停,网购不停,快递不停,外卖不停,让大家不但不会饿死、闲死和闷死,还能吃货助农,维持了餐饮行业、零售行业的最低消费,保障了大量第三产业的就业。国外怕是没有这些退路了。
这些年互联网企业积累了不少财富,但是并没有做守财奴,而是全心全意抗议救灾,资金捐赠额也更加庞大。汶川地震时,邵逸夫捐款1亿,李嘉诚捐款1.3亿;而2020年,仅腾讯一家,捐助资金就已经超过15亿,还提供了大量技术支持。自汶川震后12年,我国国泰民安,国富民强,仅以庞大的民间捐款来看,就可见一斑。


正是因为科技的不断进步,相比建安22年一场伤寒能带走1000万人,到三国末期只剩500万人;2020年的新冠病毒,传染性强、重症率高,目前累计治愈31187人,累计死亡2761人。白骨露于野,千里无鸡鸣的惨状,再也不会发生在神州大地上。
在医护人员和子弟兵的保护下,在各大生产制造企业、高科技企业和全体国民的集体努力下,已经得到了遏制,我们付出的成本,更多是经济损失和禁足在家——但是生命还在。只要人还在,就有无限的可能。
今天是我入职一周年。这一年来虽然经常吐槽互联网公司加班太累太多,但是关键时刻,虽然互联网公司没有冲在一线,但是同样为抗疫做出了自己的贡献;腾讯不仅捐了15亿抗疫基金,更是在通信、协作、AI、远程办公、信息收集、健康保障等领域做出贡献,让我与有荣焉。
最后,腾讯和阿里对复工的最大帮助,就是健康码。相比过去由「有关部门」开具健康证明和介绍信,出入登记姓名电话的繁琐,我们现在可以通过小程序上报自己的健康信息,连续7天打卡正常,就能得到绿色的健康码,作为返岗通行证明。
居民出入公共场所,只要扫枪一扫,所有信息都登记完成,不但全市通行无阻,还能跨省互认,也便于追溯接触者,让我们能迅速恢复生产,毕竟中国还要给全世界生产医疗物资呢。
所以,我们以后可以这样互相问候了:
今天你绿了没有?
绿了绿了!祝你也早日变绿!
PS:明天我就绿了,哈哈哈哈哈哈哈哈。
跟理工男一起直指真相。感谢大家关注我的公众号「任易」,我是南开本科,清华硕士,12年工龄,在IBM做过销售,在地铁公司管过项目施工,在石油公司做过项目经理、售前顾问,现在在鹅厂做云计算,所以对销售、施工、人力、组织、项目、造价、IT都比较熟,所以对这些线索会非常敏感。
点击「阅读原文」,查看我的全部分享。阅读原文
原标题:《中国抗疫2千年史:技术进步让更多人活命》

