西安市胸科医院成功救治危重上腔静脉综合征患
2026-04-23 17:13
上海
近日,西安市胸科医院放疗科联合肺血管病与介入医学科等多学科团队,成功救治一例小细胞肺癌伴上腔静脉综合征、病情危重且需持续无创呼吸机支持的患者。该病例的成功治疗,标志着我院在重症肺癌综合诊疗领域取得重要突破。
患者因胸闷气短、颜面及双上肢严重水肿、无法平卧入院。肺血管病与介入医学科先行抢救性治疗,实施上腔静脉支架植入及化疗,患者水肿明显减轻,但气短症状持续存在,仍需持续无创呼吸机辅助通气,无法平卧。

为从根源控制肿瘤、解除压迫,放疗科杨海霞主任团队会诊后,针对上腔静脉走行区病灶制定了个性化精准放疗方案。然而,患者不能平卧且需全程带机治疗,技术难度极大。放疗科突破常规,为患者定制专属流程:采用乳腺托架半卧位进行特殊体位固定,解决无法平卧难题;治疗中妥善固定呼吸机管路及氧气瓶等设备,实施心电监护,通过监控屏幕实时观察生命体征,全程保障治疗安全。

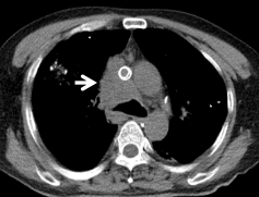
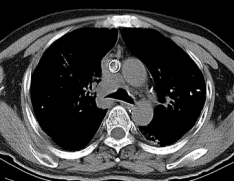
经过12次放疗,患者气短明显改善,从全程依赖无创呼吸机逐步过渡到间断使用;完成17次放疗后,患者仅需高流量鼻导管吸氧,胸闷气短大幅缓解,影像学显示肿瘤病灶显著缩小。令人欣喜的是,患者从完全无法平卧,现已基本能平躺休息,生活质量得到极大提升。

放疗前

放疗后
此次成功救治,是我院肺血管病与介入医学科与放疗科等多学科协作的生动实践,攻克了重症肺癌带机精准放疗的技术难题,为晚期重症肿瘤患者综合救治积累了宝贵经验。医院将持续深耕肿瘤精准诊疗,以多学科合力和高精尖技术,为危重肿瘤患者筑牢生命防线。(资讯)
来源:西安市胸科医院
原标题《向南看,胸科在改变!介入+放疗强强联合!西安市胸科医院成功救治危重上腔静脉综合征患者》
特别声明
本文为澎湃号作者或机构在澎湃新闻上传并发布,仅代表该作者或机构观点,不代表澎湃新闻的观点或立场,澎湃新闻仅提供信息发布平台。申请澎湃号请用电脑访问https://renzheng.thepaper.cn。

