记性突然变差?这可不是老糊涂,赶紧看看有没有这5个脑梗信号
张阿姨今年62岁,退休前是单位的会计,脑子一向清楚,平时身体硬朗,连感冒都很少得。
可最近半年,老伴发现她总爱忘事:早上刚把钥匙放在桌上,转身就找不着;买菜时算错账,多给了人家钱,炒菜经常多放盐或者不放盐。
“你是不是得老年痴呆了?”老伴总开他的玩笑。张阿姨却摆摆手:“人老了,记性差点正常,哪有那么严重?”
直到1个月前早上,起床后她突然觉得头晕目眩,右边的胳膊和腿像灌了铅似的,抬都抬不起来,想喊老伴,可话到嘴边却含糊不清,像嘴里含着东西一样,有点大舌头。幸好老伴发现及时,赶紧叫了救护车。
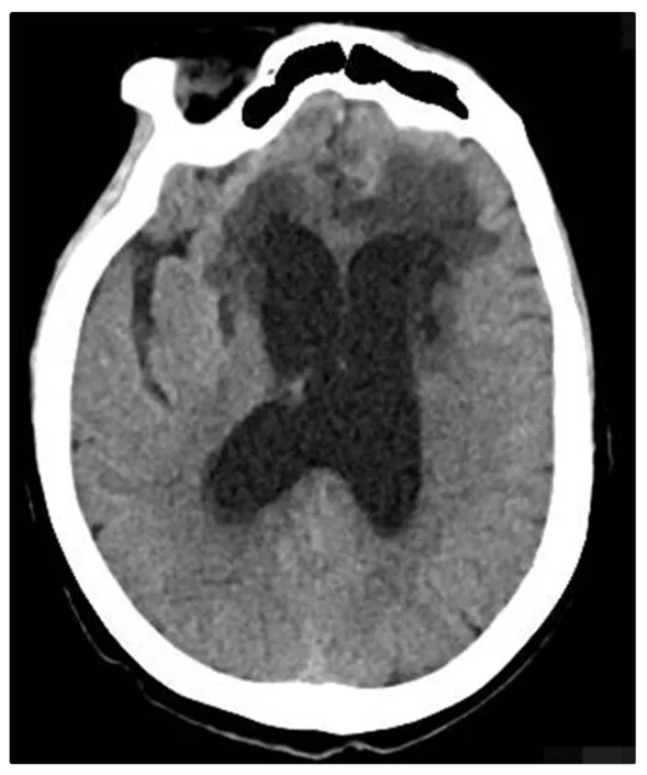
到医院一查,检查显示她的大脑额叶、颞叶多发急性脑梗死,负责记忆和认知的区域已经出现缺血坏死,同时还有颈内动脉重度狭窄。

医生告诉她:
“你之前的‘健忘’不是老糊涂,而是典型的急性缺血性脑卒中,也就是脑梗早期信号。因为梗死位置在负责记忆的区域,所以最先表现就是记性变差,要是早点来检查,可能不会发展成这么严重的后果。”
一、日常出现的这5个信号,
不是老糊涂,出现一个立刻就医
1.记忆力“断崖式”下跌
很多老人觉得:“我忘事是因为岁数大了,记不住了。”
错! 正常的衰老是缓慢的,而脑梗前的记忆力下降是突发的、断崖式的。
正常衰老: 有时候想不起名字,但别人一提醒就想起来了;会重复问同样的问题,但间隔时间很长。
危险信号: 刚发生的事完全记不住。比如刚吃完饭转头就问“饭做好了吗?”;刚见过的亲戚,转头就不认识了;刚放下的钥匙,怎么找也找不到;甚至刚说的话,自己都不承认说过。
这叫“血管性痴呆”,因为大脑颞叶、海马区供血不足,这两个区域是掌管短期记忆的核心,一旦缺血坏死,记忆功能就会直接受损,这是脑梗最早、最敏感的指标,但也是最隐蔽的,常常被人忽视或错当做是老糊涂!
2.说话“大舌头”或找词困难
有些中老年人突然变得“不会说话”,明明心里知道想说什么,可张嘴就是找不到合适的词,或者说话颠三倒四、逻辑混乱,别人很难听懂,甚至叫不出常用物品的名字、认不出家人。
这种表现不是单纯的记性差,而是大脑语言中枢和认知中枢缺血受损的典型症状,属于脑梗的重要预警信号。
这种症状往往是短暂性脑缺血发作的表现,也就是俗称的小中风,若不及时干预,短期内发生大面积脑梗的风险极高,轻则留下偏瘫失语,重则危及生命。
3.反应迟钝、注意力无法集中
出现反应突然变慢、注意力完全没法集中,别人跟他说话要等很久才能回应,看电视、听别人聊天根本听不进去,坐着就发呆,做事情有始无终,整个人看起来昏昏沉沉、没精神。
这种状态不是懒、也不是老了没力气,而是大脑皮层广泛缺血、脑细胞功能下降的表现,属于脑梗的前期预警。
脑部供血不足时,大脑无法正常处理信息,就会出现反应慢、注意力差、记忆力减退,三者往往同时出现。
很多人把这种情况当成睡眠不好、身体虚弱,盲目进补,反而耽误了脑梗的早期诊断和治疗。
4.单侧肢体麻木或无力
这是脑梗最典型、最容易识别的组合信号,一边是突然记性变差、糊涂,一边是单侧的手、脚、面部麻木、无力,比如拿东西握不住、走路腿发软拖地、嘴角轻微歪斜、一侧面部发木,两种症状同时出现,基本可以确定是脑梗发作。
大脑对身体的支配是交叉的,一侧脑血管堵塞,对侧肢体就会出现感觉和运动异常,同时记忆区域缺血就会伴随健忘。
这种信号往往是大面积脑梗的前兆,就算症状很轻微、几分钟就缓解了,也属于短暂性脑缺血发作,是脑梗的最后预警。
很多人觉得麻木一会儿就好、糊涂歇会儿就行,不就医、不检查,结果几小时或几天后突发严重脑梗,留下终身残疾。
5.视物模糊或眼前发黑
视物模糊、眼前发黑,也是脑梗容易被忽视的一个信号,很多人会以为是“老花眼加重”“眼疲劳”,尤其是老年人,更是不会往脑梗上想。
具体表现就是,突然感觉一只眼睛或两只眼睛看不清楚东西,视线变得模糊,或者眼前突然发黑,什么都看不见,持续几秒钟或几分钟后,可能会自行缓解。还有的人,会出现看东西重影的情况,一个东西看成两个,影响正常的视物和走路。
这是因为大脑负责视觉功能的区域缺血、缺氧,导致视觉中枢受损,才会出现这些症状,一旦出现,必须及时就医,否则可能会导致永久性失明。
二、牢记这些,关键时刻能救命
内容来自《中国急性缺血性脑卒中诊治指南2025版》
1.快速识别口诀:BE FAST原则
指南明确推荐,普通人识别脑梗,记住BEFAST五个字母就够了,简单好记、不会出错。
B-Balance是平衡,突然走路不稳、头晕、平衡差;
E-Eyes是眼睛,突然视物模糊、眼前发黑、看不清;
F-Face是面部,一侧脸歪、嘴角下垂、笑不对称;
A-Arms是手臂,一侧胳膊或腿麻木无力、抬不起来;
S-Speech是语言,说话含糊、找词难、听不懂别人说话;
T-Time是时间,发现上述任何症状立即拨打 120。
出现以上任何症状,立即记好发病时间,马上送医。这个口诀覆盖了脑梗所有早期典型症状,包括以记性差为表现的非典型脑梗,只要符合一条,就按脑梗紧急处理,绝不拖延。

2.黄金救治时间:发病4.5小时内
指南明确规定,急性脑梗超早期静脉溶栓治疗的黄金时间是发病4.5小时内,在这个时间内用药,能快速溶解血栓、恢复脑部供血,很多患者可以恢复较好,一般不留严重后遗症。
超过这个时间,脑细胞会大量坏死,功能无法逆转,轻则残疾,重则死亡。
对于以记性差为首发症状的脑梗,很多人发病时间不明确,只要发现异常,立即送医,由医生判断救治方案,绝不等待、绝不观察、绝不回家休息,时间就是大脑,每一分钟都至关重要。
3.必做检查项目,不花冤枉钱
指南推荐,怀疑脑梗,首选CT和头颅核磁共振MRI,CT能快速排查是否脑出血,MRI能清晰发现早期、微小梗死灶,尤其是负责记忆的颞叶、海马区梗死。
同时必须做颈部血管超声、脑血管CTA或MRA,明确血管狭窄、斑块、堵塞位置,这是制定治疗方案的关键。
还要查血压、血糖、血脂、凝血功能、心电图,找到脑梗病因,预防复发。
这些检查普通医院都能做,费用不高,是诊断脑梗的标准组合,不推荐只做简单体检替代。
4.高危人群必须定期筛查
指南划定脑梗高危人群,包括45岁以上、高血压、糖尿病、高血脂、房颤、长期吸烟饮酒、肥胖、久坐、家族卒中史人群。
这类人群就算没有任何症状,每年也要做一次脑血管筛查;一旦出现记性突然变差等异常,立即就医。
5.规范用药,不盲目补脑
指南明确,脑梗预防和治疗有标准用药,包括抗血小板药、他汀类降脂稳斑药、降压药、降糖药等,所有用药必须在医生指导下使用,定期复查调整。
禁止盲目服用补脑保健品、偏方、秘方,这些产品不仅不能预防脑梗,还可能耽误正规治疗,加重肝肾负担。
指南数据显示:
早期脑梗、小中风患者,及时规范治疗,90%以上能完全恢复正常生活,不留残疾、不影响寿命。
而拖延到中晚期的脑梗患者,致残率超过70%,死亡率大幅升高,长期卧床、痴呆、偏瘫给家庭带来巨大负担。
记性突然变差,真的不是老糊涂,很可能是脑梗在求救,别让疏忽变成终身遗憾,早识别、早送医,才是对自己和家人最大的负责。

