三叉神经痛的伽玛刀治疗
作者:广州泰和肿瘤医院放疗中心刘启勇
专家审核:中山大学附属第三医院岭南医院神经外科主任、主任医师,广东省精准医学应用学会脑活检技术分会主任委员、帕金森病分会副主任委员秦峰
三叉神经是第五对颅神经,也是颅内最粗大的一对神经。其分为三个支干:眼支、上颌支、下颌支,分别分布在前额、面颊和下颌等区域,负责接收头面部皮肤、口腔、鼻腔以及脑膜的各种感觉,同时支配咀嚼肌的运动。


三叉神经痛(Trigeminal Neuralgia)俗称 “头风”“面痛”,是一种在三叉神经分布区内反复发作的阵发性剧痛,多见于中老年人,女性略多于男性,全世界每年发病率约为 4-5/10 万。疼痛常如闪电般骤然发生,发作前多无预兆,被患者描述为触电、撕裂或针刺样剧痛,每次发作时间从几秒钟到几分钟不等。发病初期,患者疼痛发作频次较低,间歇期可长达数月以上。随着病情进展,疼痛的发作会越来越频繁,持续时间也逐渐延长。部分患者的口角、鼻唇等部位存在 “扳机点”,稍加触摸即会诱发疼痛,患者常因惧怕诱发疼痛而不敢进食、洗漱,病情严重者会出现精神抑郁、痛不欲生的表现。

目前三叉神经痛的病因及发病机制尚未完全明确,其中血管压迫学说最为公认,此外还有多发性硬化、肿瘤压迫、脑干梗塞及淀粉样变等少见病因。牙源性头面痛、偏头痛、副鼻窦炎、带状疱疹及舌咽神经痛等常见病痛,均需要与三叉神经痛进行鉴别诊断。
如果三叉神经痛患者未经治疗,则无法提前干预疼痛发作,且该疾病并非自限性疾病,不能自愈。患者应在正规医疗机构就诊,由专科医生结合颅脑MR影像及临床情况,排除肿瘤、多发性硬化等继发原因,明确血管压迫征象,并综合评估后制定治疗方案。
目前治疗三叉神经痛的主要方法如下:
(1) 药物治疗:常用药物有卡马西平、奥卡西平、加巴喷丁、普瑞巴林等,作用机理主要是通过抑制三叉神经的电发放减少疼痛发作。药物治疗无法根治三叉神经痛,患者需长期服药,随症状加重,需相应增加药量。长期用药易产生耐药性及毒副作用。
(2) 神经毁损治疗:主要包括药物封闭治疗、半月神经节球囊压迫治疗、三叉神经射频热凝术等,原理是利用药物、物理挤压、加热等方式破坏三叉神经,使神经丧失传导功能以达到止痛目的。该类治疗存在一定创伤及操作风险,治疗过程较痛苦,术后易出现颜面部的感觉障碍、麻痹性角膜炎等并发症。
(3) 三叉神经微血管减压术:原理是通过开颅手术将压迫神经的血管与三叉神经根部分离,并用人工材料隔绝,解除血管对三叉神经的刺激与压迫,从而实现止痛。该手术仅适用于血管因素导致的三叉神经痛,对非血管因素引发的病症无效;手术需在全麻下进行,相较于其他治疗方法,创伤更大、风险更高。
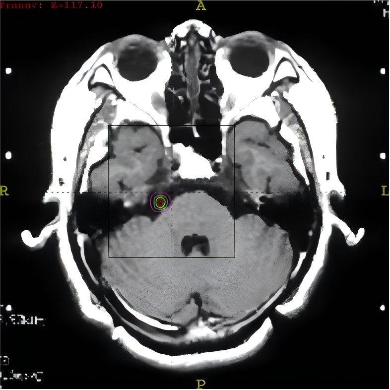
(4) 伽玛刀照射:将伽玛射线精确聚焦在三叉神经根部,通过特定照射剂量阻断痛觉传导,同时保留患者的触觉和运动功能。三叉神经由不同神经纤维组成,其中负责传递痛觉的 Aδ纤维直径最细、髓鞘最薄,对射线最敏感,易被射线摧毁,因此精准剂量的伽玛射线照射可实现阻断痛觉传导,而对触觉、运动功能的影响较小。
1953 年,瑞典神经外科学家Lars Leksell教授利用正电压X线(orthovoltage X-ray)立体定向放射治疗,对 2 例三叉神经痛患者的半月神经节进行照射,两位患者的症状均得到不同程度缓解。1967 年世界第一台伽玛刀诞生后,伴随计算机、医学影像技术的发展,伽玛刀实现了自动化、数字化、智能化。该设备为多源钴-60聚焦的立体定向放射治疗系统,具备其他放疗设备不可比拟的高精度与高适形性,可实现单次大剂量照射,为三叉神经痛的精准放射治疗奠定了坚实的技术基础。


目前伽玛刀治疗三叉神经痛的技术较为成熟,尤其适用于那些身体状况不佳、无法耐受手术,或药物治疗无效的患者。根据国内外多项研究,伽玛刀治疗三叉神经痛的初次有效率约80%-90%,虽然1年后约有20%的复发率,但仍可再次接受伽玛刀治疗。

个别患者疼痛治愈后,患侧颜面部可能会出现轻度感觉减退,但一般不影响日常生活,且多数可随时间减轻甚至消失。极少数患者的颜面麻木为持久性,严重者会合并有角膜炎。治疗后的起效时间因人而异,无明确固定时限,短则数小时,长者可达一年,但根据随访结果,3周-3个月间起效者居多。患者在治疗过程中基本无痛苦,感受较为轻松,个别可能会出现头晕、恶心等表现,多与紧张、焦虑的情绪相关,无需进行特殊处理。
伽玛刀治疗的具体步骤如下:
(1) 为患者佩戴固定立体定位框架;
(2) 进行磁共振定位扫描;
(3) 医生根据扫描结果制订个性化治疗计划;
(4) 患者上机接受治疗,治疗全程实时监控;
(5) 治疗结束后,卸掉立体定位框架,对微创针眼进行包扎处理。
上述治疗全程(包括框架固定、MRI、计划制定、治疗及卸框架等)大约需要3-4小时。治疗期间,患者在不需配合操作的间隙可适当活动,并少量进食饮水。治疗后进入恢复期,患者需保持耐心,合理安排生活起居,保证充足睡眠与休息,同时尽量避免或减少接触疼痛诱发因素。如症状仍持续存在,可继续服用药物或进行局部封闭治疗以缓解不适,直至治疗起效。
本文仅供参考,具体治疗请以医生意见为准

