牙缝里的这块肉为什么会悄悄消失,还长不回来?有补救方法吗?
你是否在某个日常时刻,突然察觉到自己下门牙在悄然无声地变化?比如:
剔牙时,牙线通过的阻力好像变小了,牙缝变宽;
拍照时,牙根处黄黄的部分越来越明显;
喝一口冰饮或热汤时,那几颗牙齿会突如其来的一阵酸爽;
更让人觉得难受的是,牙龈根部留下一个怎么也刷不掉的黑色小三角……
这些都指向同一个真相——牙龈正在悄悄退缩。
而咱们的下前牙区域,恰恰是最容易发生牙龈萎缩的部位。
那么有小伙伴就会问了:为什么我每天都认真刷牙,偏偏这里还是出问题了呢?下面我就带大家一起来探究一下其中的原因。
图库版权图片,转载使用可能引发版权纠纷
为什么下前牙容易牙龈萎缩?
1
先天不足:地基(牙槽骨与牙龈)薄弱
下前牙唇侧的牙槽骨较薄,对牙龈的支撑力弱。牙龈组织也薄且脆弱,抵御能力差,非常容易在外力或感染的情况下被破坏而发生退缩。
2
后天挑战:清洁死角与误区
容易长牙结石:下前牙舌侧靠近颌下腺导管口,24 小时持续不断分泌唾液冲刷牙面。唾液中的矿物质沉积在牙面上,极易形成牙结石,引发慢性牙周炎(导致萎缩的首要原因)。
容易受到暴力清洁:横向拉锯式刷牙、硬毛牙刷、用力过度,都会直接损伤本就脆弱的牙龈。
3
叠加因素:牙齿的排列与压力
牙齿拥挤:下前牙区域是牙齿拥挤发生率最高的区域,导致局部清洁困难,菌斑堆积导致牙龈炎症和萎缩。
咬合创伤:深覆合、夜磨牙等咬合异常会导致个别牙受力过大,长期可导致牙槽骨吸收和牙龈退缩。
如何科学地保护好这里的牙龈?
记住一个原则:预防大于治疗,控制重于修复。
健康的牙龈需要科学地清洁和护理,防止它发生萎缩;而已萎缩的牙龈不可逆,但可通过治疗阻止退缩进一步发展。
1
基础口腔护理:日常护理“做对事”
牙刷的选择
使用小头、软毛或中软毛(尼龙丝)牙刷;刷毛末端磨圆率高(如 90%以上);避免硅胶(偏软)、硬毛或炭毛/竹炭毛(偏硬)的牙刷。
正确的方法
掌握巴氏刷牙法(水平颤动拂刷法),注意刷毛对准牙龈沟 45 度角,轻柔、小幅度的水平颤动(幅度约 1~2 颗牙宽,来回震颤 10 次左右),通过物理摩擦清除牙龈沟内的牙菌斑。随后转动刷头,从牙龈方向向牙齿咬合面“拂刷”,清洁牙面。
注意力度和幅度,避免“横向拉锯”式刷牙。
操作视频请看⬇️
来源:中华口腔医学会
邻面清洁不可或缺
单纯刷牙仅能清除约 60%~70% 的牙菌斑,剩下的 30%~40% 主要存在于牙缝等邻面。
邻面(牙缝)是菌斑最容易堆积的区域,也是牙周炎最常见的起始部位。
普通牙刷的刷毛无法有效进入两颗牙齿紧密相邻的缝隙。无论你刷牙多认真,牙缝始终是清洁死角,牙菌斑会在此持续堆积、矿化成牙结石。
牙菌斑在牙缝中堆积,会首先刺激并感染牙龈乳头(两牙之间三角形的牙龈)。这里是牙周炎最典型的始发部位,初期表现为牙龈红肿、刷牙出血。
如果未及时清洁,炎症会沿着牙根面向下、向深处发展,破坏牙槽骨,最终导致牙龈萎缩、牙缝变大(形成“黑三角”)。
建议根据牙缝大小,正确使用牙线或牙缝刷。
牙缝刷的使用方法请看⬇️
来源:赵河川医生录制
2
定期专业维护:为口腔“做大扫除”
每年 1~2 次洁牙和口腔检查,彻底清除牙结石,是预防和控制牙周炎最有效的手段。同时可以让牙医早期发现问题,及时干预。
3
“亡羊补牢”:稳住萎缩的牙龈
第一步:专业诊断,查明原因。
看诊牙周科医生,评估牙龈萎缩的程度、类型和主因(是炎症还是创伤?),制定个性化维护或治疗计划。
第二步:对症治疗——解决根源问题。
·治疗牙周炎:进行系统性的牙周治疗(如深层洁治/龈下刮治)。
·调整咬合:如有咬合创伤,可进行调合或制作咬合垫。
·矫正牙齿:对于严重拥挤不齐的牙齿,考虑正畸排齐,利于清洁,同时解除咬合创伤和干扰问题。
已经出现“黑三角”了怎么办?
萎缩的牙龈乳头无法自己再生。面对“黑三角”的困扰,我们有没有什么改善美观的好办法呢?
还是有的。处理“黑三角”的目标是关闭或掩饰“黑三角”缝隙,改善美观和功能。目前主流的修复方法有以下几种:
1
无创树脂关闭(bioclear BT 黑三角修复系统)
无需磨除牙釉质,使用特殊的树脂注塑成型系统修复牙齿外形,快速、经济,适用于中小缝隙。
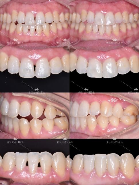
BioclearBT树脂关闭黑三角病例(赵河川医生提供)
2
美学修复(瓷贴面)
可以达到最佳美学效果,适用于牙齿缝隙较大,或同时想改善牙齿颜色、形态者,价格相对较高。
3
牙齿形态重塑(邻面去釉+正畸)
通过改变牙齿接触点来改善黑三角,适用于牙齿形态不佳者。
4
手术治疗(软组织移植)
尝试重建牙龈形态,对技术要求高,治疗效果因人而异。
您适合哪种修复方式,需要由医生综合评估后,结合美观需求、时间、预算等因素共同决定。
总的来说,下前牙牙龈萎缩是多重因素导致,但可防可控。
我们要摒弃“刷牙越用力越干净”的错误观念,树立“有效清洁+定期专业维护”的科学口腔健康观。
从现在开始,检查您的刷牙工具和方法是否合适,开始学习使用牙线和牙缝刷,最重要的是,预约一次洁牙和牙周检查,为自己的牙周健康做一次精准评估和彻底维护。
策划制作
来源丨卓正科普Health Express(id:D-HealthExpress)
作者丨赵河川 北京大学口腔医学院博士 卓正医疗齿科医生
审核丨吴斌 首都医科大学附属北京胸科医院口腔科副主任(主持工作) 中华口腔医学会牙及牙槽外科专业委员会委员
吴垠 卓正儿童齿科、儿童齿科全麻专科医生 武汉大学口腔医学院硕士
责编丨钟艳平
审校丨徐来、张林林
相关推荐
1.“万物”皆可夹!这种面包最近卖爆了,很适合控糖、减脂人群!
2.曾有人碰了一下它,然后痛了两年
3.春季水果“全能冠军”竟然是它?对比草莓、樱桃等 6 种人气水果,第一名实至名归
4.这样吃饭,真的可能会让你变秃!但很多人还以为超健康
5.长期健身的人,老了之后会“嘎嘣”一下死得干脆?
本文封面图片及文内图片来自版权图库
转载使用可能引发版权纠纷
原创图文转载请后台回复“转载”
点亮“推荐”
一起涨知识!
原标题:《牙缝里的这块肉为什么会悄悄消失,还长不回来?有补救方法吗?》

