科普解颐 | 别让“模仿大师”耽误了你——聊一聊蕈样肉芽肿
在华山医院首创的皮肤血液淋巴瘤联合门诊中,我们常常碰到这样的病人:他们数年间被反复发作、顽固瘙痒的皮疹困扰,辗转多地就诊,既往曾诊断为“湿疹”、“银屑病”等等,但却总是疗效不佳,皮疹不断加重甚至出现皮肤肿块和淋巴结的肿大,最终他们拿到“蕈样肉芽肿”的病理报告,来到我们专病的诊室寻求进一步的治疗。那么什么是蕈样肉芽肿?又如何正确的诊断和治疗呢?
01
什么是蕈样肉芽肿?
蕈样肉芽肿(Mycosis fungoides, MF)是一种原发于皮肤的T细胞淋巴瘤,全球发病率约5.9人/百万人,2023年纳入了我国卫健委的第二批罕见病目录。由于相对少见、皮损表现多变,MF被称为皮肤科的“模仿大师”。 既往国外的回顾性研究显示蕈样肉芽肿患者确诊时的中位病程为10年,很多患者在长期随访中需要进行多次皮肤病理活检而最终确诊,可见MF是临床诊断中最具有挑战性的皮肤病之一。MF虽属于淋巴瘤,但大部分早发现、早治疗的患者进展缓慢,病情可控;少数晚期患者需要皮肤科和血液科的协同诊治。
02
哪些临床特征能帮助识别蕈样肉芽肿?
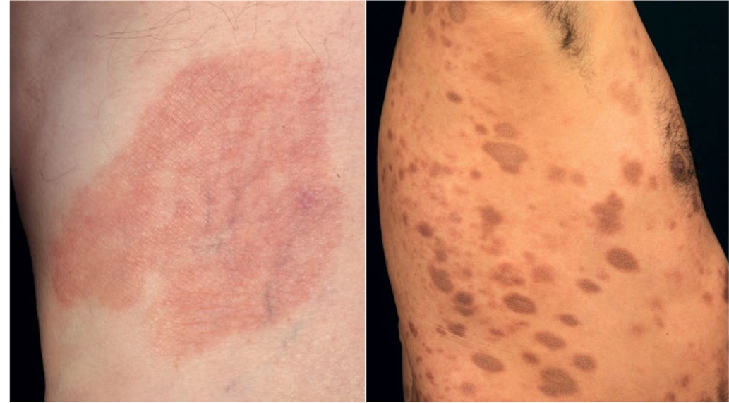
早期的蕈样肉芽肿和炎症性皮肤病非常类似,如何进行区分?近期在英国皮肤科杂志中进行了非常生动的A-F要点总结:
Asymmetric 不对称性:不同于银屑病湿疹,MF的分布往往不完全对称且逐步增多
Bathing Trunk Distribution 内衣遮盖部位分布:MF往往分布在腰、腹、臀部等非暴露部位
Color Change 皮肤颜色改变:MF可以伴有色素加深、色素减退、毛细血管扩张而出现淡红、浅褐或表现为白斑
Drug therapy can worsen MF/SS 常规药物治疗效果不佳:按照炎症性皮肤病使用的生物制剂往往长期疗效不佳,甚至可能出现疾病的恶化
Erythroderma 红皮病:少数患者可能以红皮病起病,因此所有慢性红皮病患者均应筛查外周血流式
Follicular lesions 毛囊受累及脱发/脱毛:MF可以累及毛囊表现为肤色的丘疹、斑块,也可以导致眉毛、体毛、头发的局部脱落

图1. 蕈样肉芽肿最常见的临床表现是腰腹部遮光部位的淡红色至浅褐色的斑片(图源Skin lymphoma the illustrated guide)
03
蕈样肉芽肿如何诊断和治疗?
蕈样肉芽肿的诊断需要紧密结合临床表现、皮肤病理、免疫组化、基因重排以及系统检查(外周血、淋巴结等)进行综合判断和准确分期,从而针对性的给予合适的治疗。尽管目前蕈样肉芽肿仍然无法根治且治疗周期较长,绝大部分早期(I期-IIA期)患者可通过免疫调节药物配合局部皮肤治疗(光疗、外用药物等)达到较好的控制,不影响患者的预期寿命和生活质量。而晚期/肿瘤期(IIB期-IV期)患者则需联合血液科,评估靶向治疗、免疫治疗、传统放化疗等手段。蕈样肉芽肿从诊断到治疗,都强调了多学科协作管理,长期规律治疗、定期随访是改善预后的关键。
总之,蕈样肉芽肿并不可怕,在大部分情况下是一种惰性疾病。如果您的身上出现了持续数月甚至数年、非常干燥或者瘙痒、并且常规治疗效果不佳的皮疹,请一定不要忽视,及时到正规医院的皮肤科就诊,让专业的医生为您判断。早发现、早诊断、规范治疗,是管理好疾病、获得良好生活质量的关键。
文|刘子琪 朱沁媛
审|黄琼杜娟
编 | BEST
原标题:《科普解颐 | 别让“模仿大师”耽误了你——聊一聊蕈样肉芽肿》

