被“改写”的成长:认识罕见病White-Sutton综合征

01
什么是White-Sutton综合征?
White-Sutton 综合征(简称 WHSUS)是一种罕见的神经发育障碍性单基因常染色体显性遗传病,由1号染色体(1q21.3)上POGZ基因的致病性变异引起,全球仅报道百余例。POGZ基因负责编码的蛋白参与有丝分裂进程和染色质的调控。目前绝大多数POGZ基因致病性变异为新发突变,并非父母遗传。该疾病可累及神经系统、心血管、骨骼、消化系统等多个器官系统,严重影响患儿身心健康。
02
White-Sutton综合征有什么表现?
WHSUS患儿临床表现差异很大,主要包括以下表现:
神经系统异常(最常见)
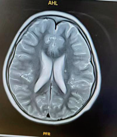
几乎所有患儿都可能出现大运动、精细运动、语言发育迟缓,伴随肌张力低下;部分患者可能表现为癫痫发作;部分患儿还会出现髓鞘形成延迟,脑室周围白质病变,脑室扩大,小脑、脑干、胼胝体发育不良等脑部结构异常。行为方面,约 1/3 患儿有孤独症谱系障碍,还可能出现焦虑、社交互动受限、注意力缺陷、低挫折耐受性等异常。另外,还可能有双侧或单侧感音神经性听力损失。

(头颅核磁双侧脑室扩大表现 图片来源:White-Sutton综合征临床表型扩展及治疗尝试:病例系列报告. 临床儿科杂志, 44(1), 38-43.)
特殊面容
特殊面容在WHSUS患儿中常见,包括眼距过宽、面中部发育不良、额部宽阔、上唇薄、鼻梁塌陷且平坦、内眦赘皮、唇腭裂等。
眼科异常
患儿可能出现近视、斜视、远视等屈光异常,严重时可能出现虹膜缺损、视交叉发育不良、视神经萎缩、杆锥营养不良、皮质性视觉障碍等。
生长发育
部分患儿可能出现身材矮小、小头畸形、短颈、小手、指弯曲、关节松弛、脊柱侧弯等;
部分患儿可表现为食欲亢、超重/肥胖,甚至继发代谢异常,如胰岛素抵抗。
其他系统受累:
消化系统:易出现喂养困难、便秘、周期性呕吐等;泌尿生殖系统:可能有肾盂输尿管连接部梗阻、肾发育不良等畸形,男孩可能出现隐睾,女孩可能有原发性闭经;心血管系统:部分患者可能合并先天性心脏病,如动脉导管未闭、房间隔缺损;此外,WHSUS还可能与脊髓栓系综合征相关。
03
如何确诊?
WHSUS累及系统多、表型多样,且部分症状与其他发育迟缓类疾病相似,仅靠临床表现无法确诊。基因检测是诊断的金标准。
确诊依靠基因检测(如全外显子测序),找到 POGZ 基因致病性变异,并结合 ACMG 标准判定变异致病性,同时临床与其他神经发育遗传病鉴别。
当孩子出现不明原因的语言/运动发育落后、智力障碍、特殊面容、多系统异常时,应及时进行遗传评估!
04
能治吗?
目前暂无WHSUS的根治方法,治疗以对症支持治疗、提高生活质量为主,强调多学科长期管理,针对不同系统的表型进行针对性干预:
Ø 康复训练是基石
针对神经系统的发育迟缓,尽早开展语言、精细运动、认知康复,多数孩子能逐步学会完整表达、适应日常交流,预后明显改善。
Ø 生长发育管理
对于身材矮小患儿,目前国内有经3年生长激素治疗身高改善的案例。但由于WHSUS病例罕见,尚缺乏长期预后数据,在排除生长激素治疗禁忌症并长期规律随访的基础上,可慎重考虑应用生长激素治疗。
对于存在超重/肥胖的患儿,需控制饮食,适当运动,定期随访检测血糖及胰岛素等相关代谢指标,必要时及时药物干预治疗。
Ø 其他系统管理
关注需关注消化系统问题,如对便秘、胃食管反流等采取对症干预;癫痫、听力 / 视力异常、泌尿系统畸形、先天性心脏病等,由对应专科医生制定干预方案,如听力障碍可佩戴助听器,心脏畸形必要时进行手术矫正。
05
给家长的重要提醒
若孩子出现语言/运动发育落后、智力障碍、特殊面容,伴随身材矮小、超重/肥胖、消化系统异常、泌尿系统异常等各系统异常,尤其是病因未明的情况,建议完善基因检测明确病因。早识别、早诊断、早干预,是改善孩子远期能力、提高未来生活质量的关键。
撰写 胡斐涵 住院医师
原标题:《【科普文章】被“改写”的成长:认识罕见病White-Sutton综合征》

