孩子患有扁平足,怎么办?
骨科足踝外科医生的门诊,经常会接待一些平足或疑似平足的孩子,和他们焦虑的家长们。而每逢寒暑假,足踝外科医生们更是忙于诊治远多于平时的平足孩子。您是否注意到孩子走路时脚尖内翻?他们的鞋子是否磨损不均,或是脚后跟倾斜?这些看似古怪的习惯和表现,可能正是扁平足的征兆。“我的孩子到底是不是平足,平足有哪些害处,我的孩子究竟需不需要治疗、怎么治疗”,是家长们最常问的问题。今天,我就以专业医生的角度,来帮家长们一一解答这些问题。
什么是足弓?
人类在进化成双足直立行走个体的过程中,足与手的形态和功能,从非常相似,发展成差异越来越大,各司其职。足,作为站立和行走的器官,朝向更稳定、更适合承重的方向进化。足弓是脚底的自然拱形结构,由骨骼、韧带、肌腱共同支撑形成。


图:人的足的形态的演变
足弓为何如此重要?
足弓在直立行走的力学机制中发挥着关键作用,这也是人类独有的特征。足弓具有以下功能:
• 充当弹簧板和减震器
• 在行走过程中储存并释放能量
• 使足部适应不平整的行走表面
• 保护足底的神经和血管



图:足弓
什么是扁平足?
并非所有足弓都相同,当脚掌着地时足弓自然会略微扁平,离地时则略微增加一些弧度。然而,如果人在站立时整个足底完全贴地,或者几乎完全贴地,则此人有扁平足。扁平足有多种分类,比如先天性/后天性,柔性/刚性等等。如果按照发病时间,扁平足可以分为儿童青少年扁平足和成人扁平足。前者多是由于基因的原因造成的,后者多由于劳损或其它疾病引起。本文着重谈谈儿童和青少年扁平足。


图:正常和异常的足弓
儿童和青少年扁平足
所有婴儿出生时都是扁平足,因为那时足弓还没有发育呢。多数孩子在开始学步后逐渐发育出足弓,通常在6岁时足弓形成。如果足弓未能发育,或发育不全,就会出现扁平足的外观。所以,如果家长发现6岁以内的孩子足弓扁低平,大多数情况下完全不必焦虑 —— 它只是还没长出来。如果6~10岁的孩子足弓扁平,比较大概率的原因是孩子足弓发育可能晚于平均年龄,可以等待和观察。
儿童和青少年扁平足的症状
如果出现以下症状,需要家长引起注意,无论孩子是6岁以下,还是6~10岁:
• 足部疼痛或疲劳:尤其在长时间行走或站立后。
• 脚跟或脚踝疼痛:足弓塌陷可能影响小腿和脚后跟不在一直线。
• 行走姿势不稳:脚尖外翻或足部向内翻转。
• 鞋底磨损不均:通常集中于内侧边缘。
• 抱怨脚部僵硬或跟不上同伴步伐:导致孩子不好动或者不合群。

有些扁平足的人常具有家族遗传性倾向,比如:
• 影响结缔组织的遗传性疾病,如埃勒斯-丹洛斯综合征或马凡综合征等。
• 跗骨联合症——足部两块或多块骨骼异常生长或融合的罕见病症。
• 跟腱或腓肠肌挛缩——位于脚跟上方脚踝后侧的肌腱过紧。
以上情况过于专业,家长不必恐慌和对号入座,把评估和判断交给专业医生就行。
扁平足的危害
并非所有扁平足患儿都会出现症状。但它可能改变患儿的站立和走路姿势,并使得足踝部本来不具备足够备承受能力的部位承受了过多的力。
早期症状可能包括:
• 行走后足部疼痛
• 足部过度旋前导致的踝关节疼痛
• 过度代偿引发的小腿胫骨疼痛
长期发展可能出现:
• 步态异常
• 拇趾外翻或锤状趾等畸形
• 慢性疼痛,甚至运动不多的时候也会出现
疼痛可能蔓延至:
• 膝盖
• 髋部
• 下背部
同时可能增加以下继发性疾病风险:
• 反复性劳损
• 踝关节不稳与扭伤
• 足踝关节炎
诊断与检查
足踝外科医生会通过仔细地询问病史、详细专业的体格检查、以及选择性的影像检查(比如站着拍的足部X光片)来确诊扁平足或进一步探究病因。
儿童和青少年扁平足需要治疗吗?
一般来说,我们可以把扁平足看成是正常足弓形态的变异,没有症状的话是不需要治疗的。如果孩子出现以上所提到的症状,或者经专业足踝外科医生评估预计该畸形会导致受力异常影响到今后的骨关节健康,就应该听从医生的建议采取治疗措施。
扁平足能治好吗?
轻度的有症状扁平足可通过保守治疗矫正。严重病例则可能需要手术矫正。保守治疗包括使用支撑性鞋具、定制矫形器以及进行强化足踝的锻炼。手术治疗有多种软组织、骨性术式,根据医生的评估单独采用或联合使用。治疗方法非常个性化,以达到缓解症状、正常生活的目的。
典型病例




矫形鞋垫治疗青少年平足症

矫形鞋垫结合运动康复治疗儿童平足症。治疗1年后足弓有明显改善。





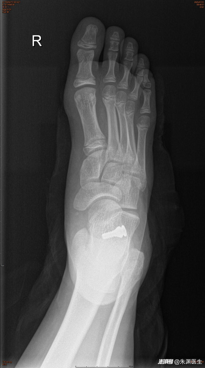
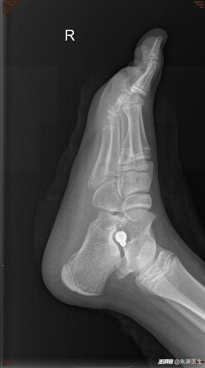
手术治疗青少年平足症。手术前外观、手术后可见骨缝里的金属内植物、术后外观和功能正常。
小结
扁平足较为常见,通常无需过度担忧。孩子6岁前没有出现明显足弓,也属正常现象。6~10岁的孩子足弓低平,只要没有症状,也可继续观察。随着时间推移,扁平足可能会逐渐引发不适。请务必重视相关症状。有症状及早就医。某些类型的扁平足病因更复杂,如果未及时治疗可能引发更多的后续问题。总之,孩子有扁平足不必太担心,有问题请咨询骨科足踝外科专科医生,有治疗办法。
专家介绍:

朱渊,医学博士,骨科副主任医师,上海交通大学医学院附属瑞金医院。
足踝外科专家。
门诊时间:瑞金医院总院:每周五上午;瑞金医院北部院区:每周二上午。

