致命的“一口水”,为何引发了一场“超级细菌”感染迷局?
编者按
在华山感染,有一群“医学侦探”,他们分属不同亚专科,却怀着同一份信念——在复杂的疾病迷局中抽丝剥茧,为患者寻找答案与希望。即日起,华山感染公众号开启“走进亚专科”系列分享。让我们透过一个个真实的诊疗故事,感受医者的智慧与温度。
一台急诊开颅手术挽救了龚先生的生命,但故事并没有就此结束。术后恢复期,一口被呛到的水、一次不经意的进食,竟成了一场凶险感染的导火索——中风后吞咽功能障碍引发的吸入性肺炎,最终演变为“超级细菌”的战场。华山医院感染管理亚专科团队与神经外科ICU携手,以一套环环相扣的“组合拳”——精准防控加前沿治疗,在这场看不见硝烟的战役中守住了防线。
从一台开颅手术说起
63岁的龚先生患有多年高血压。12月的一个午后,他正兴致勃勃地在小区打麻将,却突然感到一阵眩晕,随即栽倒在地,伴随着剧烈的喷射状呕吐。
“快打120!”
急诊室里,头颅CT给出了冷冰冰的诊断:右侧小脑出血。由于出血涉及生命中枢,龚先生被推入了神经外科手术室。虽然手术保住了性命,但他陷入了深度昏迷。术后第五天,龚先生终于恢复了意识,转为嗜睡状态,撤掉呼吸机后转入普通病房。家属正要松口气,却发现龚先生在尝试饮水时,喉咙里发出“咕噜”声,随即引起一阵剧烈的呛咳。

“医生,他想喝水,但总被呛到,这是怎么了?”家属心疼地询问。
“这是中风后的吞咽障碍,脑损伤不仅影响了运动,也让他的吞咽肌肉和咳嗽反射‘罢工’了。原本该进食管的水或呕吐物,极易误入气管。”医生神情严肃。尽管医生强烈建议留置鼻胃管,但家属出于不忍,坚持尝试经口喂食。殊不知,危险正随着这几口温水,悄悄潜入肺部。
两天后,警报拉响。龚先生体温飙升至39.2℃,呼吸急促,血氧饱和度一度掉到了88%。立即完善CT检查显示,龚先生的双肺已经出现了大片状的渗出阴影。
“重症肺炎!必须立刻抢救!”
更糟糕的是,痰培养结果显示,龚先生感染了被称为“超级细菌”的耐碳青霉烯类肺炎克雷伯杆菌(CRKP)。这是一种对绝大多数广谱抗生素都“刀枪不入”的致命病原体。
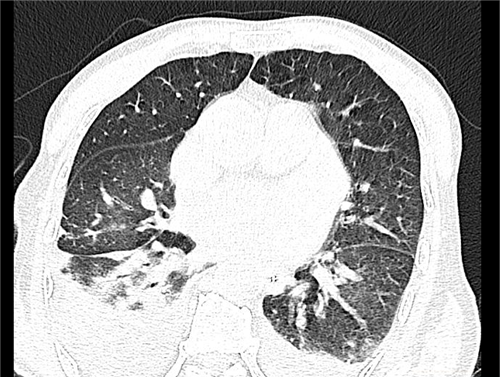
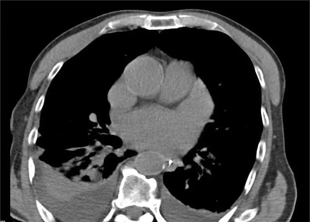
患者的胸部CT影像学资料

肺窗:双下肺可见斑片状渗出影及实变影

纵隔窗:双侧少量胸腔积液
两份特殊的“处方”
龚先生不仅面临着严重的肺部感染,更成为了病区内潜在的“传染源”。
华山医院感染科与感染管理团队(感控团队)迅速介入,开出了两份特殊的“处方”:
处方一:精准狙击,化解耐药菌感染
医生选用了对付CRKP的“利器”——头孢他啶-阿维巴坦进行精准治疗。
处方二:阻断传播,筑起“防火墙”
感控医生指导家属与护士开启了防控“五步曲”:
接触隔离: 龚先生住进了单间,所有的检查器具专人专用。
手卫生: 医生严厉叮嘱家属:“接触患者,尤其是处理口腔和痰液后,必须严格洗手!”
环境消毒: 针对病房物表进行高频强化消毒。
防护用品:如果给患者进行密切接触时,要穿隔离衣,必要时带面屏。
生活废物:龚先生的所有生活废物需要按医疗废物来处理,使用黄色垃圾袋。
“护肺秘籍”牢记在心
感控团队告诉家属,要防止悲剧重演,必须把以下“中枢神经损伤患吸入性肺炎预防措施”刻在脑子里:
早期吞咽筛查:凡是中风患者,必须进行专业评估,越早越好,决定能不能吃、怎么吃。
及时留置胃管:别把胃管看作痛苦,它是保护气管、提供营养的“安全通道”。
口腔护理: 每天规范刷牙、清洁口腔,减少口咽部细菌随唾液误吸入肺。
半卧位防返流:床头抬高30-45度,进食后保持这个姿势至少30分钟。
饮食质地管理:避免纯液体(容易呛),在专业建议下选择糊状或增稠后的食物。
早期康复训练:在康复师指导下练习吞咽动作,尽早恢复自主进食。
经过10多天的专业治疗与精细护理,龚先生的体温终于回归正常,那株顽固的“超级细菌”也被彻底压制。不久后,龚先生顺利转入康复医院,开始练习重新开口说话和进食。

这个案例的背后,是华山医院感染管理科团队日复一日的守护——从预防误吸、阻断传播到精准治疗,每一步都凝聚着专业力量。
那么,这支“幕后”团队究竟是做什么的?
华山感染管理亚专科团队
华山医院感染管理科依托国家传染病医学中心和感染科的强大学科支撑,致力于医院感染的监测、预防与控制,是守护患者住院安全的“幕后卫士”。
团队的核心工作涵盖:多重耐药菌防控——针对CRKP、CRAB等“超级细菌”,建立“监测-预警-干预-评估”的闭环管理体系;院内肺炎预防——推动中风后吞咽筛查、鼻胃管及时留置、口腔护理规范化等措施的落地;抗菌药物科学管理——协助临床合理用药,推动“能窄谱不广谱、能短程不长程”的用药理念,团队在目前正在开展的前瞻性研究为精准化抗菌药物管理提供了循证依据;以及全院感染监测与医护人员防控培训。
团队核心成员

金嘉琳
医学博士,复旦大学附属华山医院感染科主任医师,虹桥院区感染管理科主任

汪菁
医学博士,复旦大学附属华山医院感染管理科科员,助理研究员
陈志辉
复旦大学医学博士在读,主管医师
参考文献(下滑查看):
[1] Chen Z, Wu J, Ye X, Li Z, JingWang, Tian Y, Zhou L, Ni J, Jin J, Zhang W. Spectrum, dose, and duration of antibiotic exposure and risk of intensive care unit-acquired carbapenem-resistant gram-negative bacteria: a prospective cohort study. Ann Intensive Care. 2025 Dec 1;15(1):190.
[2] Schwaber MJ, Carmeli Y. An ongoing national intervention to contain the spread of carbapenem-resistant enterobacteriaceae. Clin Infect Dis. 2014 Mar;58(5):697-703. doi: 10.1093/cid/cit795. Epub 2013 Dec 4. Erratum in: Clin Infect Dis. 2014 Jul 15;59(2):323.
[3] Li M, Wang X, Wang J, Tan R, Sun J, Li L, Huang J, Wu J, Gu Q, Zhao Y, Liu J, Qu H. Infection-prevention and control interventions to reduce colonisation and infection of intensive care unit-acquired carbapenem-resistant Klebsiella pneumoniae: a 4-year quasi-experimental before-and-after study. Antimicrob Resist Infect Control. 2019 Jan 10;8:8.
[4] Tatara AM, Apostolopoulou A, Agan AA, DelloStritto L, Rhee C, Klompas M. Preventability of Hospital Deaths in Patients With Non-Ventilator Hospital-Acquired Pneumonia. Clin Infect Dis. 2024 Nov 22;79(5):1269-1276.
[5] Munro SC, Baker D, Giuliano KK, Sullivan SC, Haber J, Jones BE, Crist MB, Nelson RE, Carey E, Lounsbury O, Lucatorto M, Miller R, Pauley B, Klompas M. Nonventilator hospital-acquired pneumonia: A call to action. Infect Control Hosp Epidemiol. 2021 Aug;42(8):991-996.
部分图片由AI制作
“走进亚专科”系列精选
疑难肝病亚专科
一场“肝硬化”的迷雾:拨云见日,为患者卸下心头重担
热带病与旅行医学亚专科
把世界地图带进诊室的一次诊断逆转:从“疑似膀胱癌”到“非洲血吸虫”

原标题:《致命的“一口水”,为何引发了一场“超级细菌”感染迷局?》

