33岁男子从口腔溃疡到舌癌转移仅2个多月,来沪手术切除4/5舌头
舌头动不了、嘴巴张不开,颈部出现硬块且越来越大,90后男子徐青(化名)没有想到,平时常见的口腔溃疡症状,竟然是“舌癌”,且出现了舌体肿瘤破裂出血症状,病灶还转移到了颈部,直接影响到颈部大动脉,手术风险极高。究其发病原因,或许与他平时咀嚼槟榔有着很大的关联。
1月15日,澎湃新闻记者从上海第九人民医院获悉,上述是该院口腔颌面-头颈肿瘤科接诊的一名患者,年仅33岁,从海南省前来该院求诊,经检查被确诊为左舌鳞状细胞癌,这是口腔癌的一种常见类型,恶性程度较高,易向颈部淋巴结转移,可影响语言、咀嚼和吞咽功能。
“从临床经验来看,舌癌高发人群以五六十岁中老年人居多,年轻人一般较少,但一旦年轻人发现舌癌,往往进展就很快。”首次接诊这名患者的口腔颌面-头颈肿瘤科主任医师胡永杰在接受澎湃新闻记者采访时表示,从患者发现自己舌头左侧有溃疡,到来上海第九人民医院看病,前后才2个多月,“我们看到病人来门诊时,口腔溃疡不但没有愈合,反而迅速发展,蔓延到了整个舌头再到下颌,不仅舌头动不了,嘴巴也张不开,吃东西也困难。不仅如此,肿瘤病灶还从舌头转移到了颈部,直接包住了左侧颈动脉,属于晚期高危病人。”
究其发病原因,医生猜测与其咀嚼槟榔有着很大的关联。“我们询问病人,排除了家族遗传病史,最大可能是咀嚼槟榔。医学上也明确,咀嚼槟榔是导致口腔癌的一大诱因,此外诸如抽烟、喝酒等也是导致口腔癌的高危因素。”
考虑到患者疾病的严重性,胡永杰向口腔颌面-头颈肿瘤科主任何悦汇报这一病例,并协调为这名患者开展多学科会诊,放疗、肿瘤内科等专家一同参与治疗方案的讨论。

上海第九人民医院口腔颌面-头颈肿瘤科专家开展多学科讨论,为患者制定治疗方案。本文图均为受访者供图
多学科专家会诊后透露,这名患者因肿瘤太大,同时已经发展颈部转移累及到了颈动脉,如果直接手术切除肿瘤,会有死亡风险。为降低手术风险,经评估,专家们决定对这名患者采用个体化治疗:先药物治疗缩小肿瘤,再进行根治性手术,后续再进行靶向治疗、免疫治疗和化疗等联合治疗。
经过2个多月的药物治疗,患者肿瘤出现明显缩小后,手术才正式开展。在麻醉科、病理科、营养科、影像科等多学科专家助力下,整个手术历经10多个小时,患者顺利接受左舌颌双颈联合根治术,同期还完成了自体组织移植,进行舌和颈部修复手术。
“在手术中,患者被切掉了4/5的舌头,切掉的部位集中在左舌,右舌保留了1/5,考虑到肿瘤切除后,口腔内有口水,伤口容易感染,会给病人术后带来风险,因此我们‘拆东墙补西墙’,取患者大腿外侧皮肤肌肉血管组织,将这部分组织游离下来缝到嘴巴上,再接上动静脉让这部分组织存活。另外手术也带来颈部皮肤缺损,而颈部皮肤缺损部位下方就是大动脉,大动脉如果暴露在空气中,血管也有破裂的可能,因此我们就用患者胸口上的皮肤肌肉组织去修补破损处,从而减少术后并发症的风险。”上海第九人民医院口腔颌面-头颈肿瘤科主任何悦告诉记者。

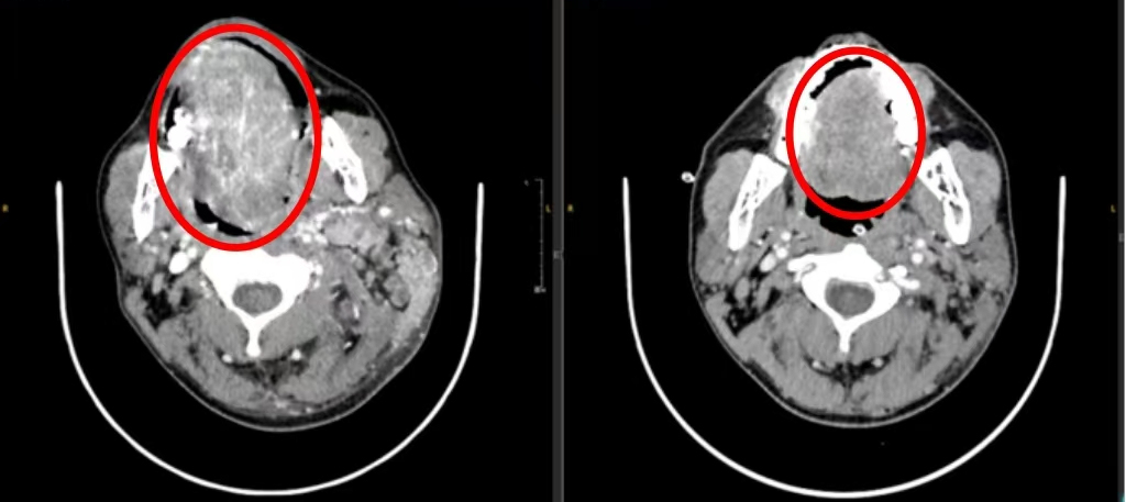
这名33岁患者的影像检查线上,肿瘤病灶从舌头转移到了颈部。

这名33岁患者的影像检查线上,肿瘤病灶从舌头转移到了颈部。
手术治疗后,这名患者目前已经出院。
据专家团队透露,这名患者经手术后保留了吞咽功能,尽管术后在院依靠胃管鼻饲提供营养支持,但出院后可以逐步恢复到软质食物为主的饮食,“这主要是考虑到病人刚出院,伤口还没有完全愈合,我们建议患者一开始以流质食物摄入为主,后续伤口愈合了,就可以吃一些软质食物。”
如何更早发现口腔癌?何悦指出,口腔癌是头颈部比较常见的恶性肿瘤,尤其在湖南、海南部分地区,已成为日益严重的公共卫生问题。你或许没有想过,一个长久不愈的口腔溃疡、一颗多年没拔的烂牙,以及嚼了多年的槟榔,都可能成为口腔癌的“导火索”,“与肺癌、胃癌、肝癌等人们较熟悉的常见恶性肿瘤相比,了解口腔癌的人较少,然而它的危害却比人们想象中严重得多。”
何悦强调,口腔癌由于是体表肿瘤,还是相对容易被发现,一方面大家要意识到长期咀嚼槟榔的危害性,另一方面大家对于长久不愈的口腔溃疡要重视起来,如果嘴巴出现肿块持续2周以上还没有好,建议来医院看看。
“一般情况下,普通的口腔溃疡持续2周就能好,但舌癌病人往往会出现口腔溃疡,或者嘴巴出现肿块,甚至早期肿块不痛不痒,这时候往往要提高警惕,不要等癌变了再来看。”何悦还表示,口腔癌的“导火索”还有不良的口腔卫生习惯,“譬如龋坏的牙齿一直没拔,牙烂了掉了一块,尖锐的牙尖在口腔内持续发生摩擦;或者是一些不合适的假牙等,都可能会损伤口腔黏膜,导致口腔慢性溃疡甚至癌变。”
何悦最后提醒,口腔癌早期可以采用非手术疗法或创伤较小的手术治疗,对功能影响较小,甚至可以避免功能损伤,一旦发展到晚期,手术时不得不舍弃部分功能,如舌癌手术通常为半舌甚至全舌切除,全舌切除患者会失去味觉、语言、吞咽等功能,不能喝水、吃饭,因此,越早治疗,功能损伤越小。同时要养成良好的口腔清洁习惯,定期洗牙和进行口腔检查,有助于预防口腔癌。
