九旬老人命悬一线!医生3mm切口上演现实版“血管复活术”
2025-04-26 15:30
上海
家住青村镇的93岁徐阿婆从未想过,一场剧痛会将她推向生死边缘。今年4月初,徐阿婆因左下肢突发钻心疼痛被紧急送进奉城医院。入院时,医生发现她的下肢皮肤布满大理石样花纹,足背动脉没了搏动——这是急性动脉栓塞的典型症状,意味着腿部供血已被“腰斩”,每分每秒都在走向坏死。
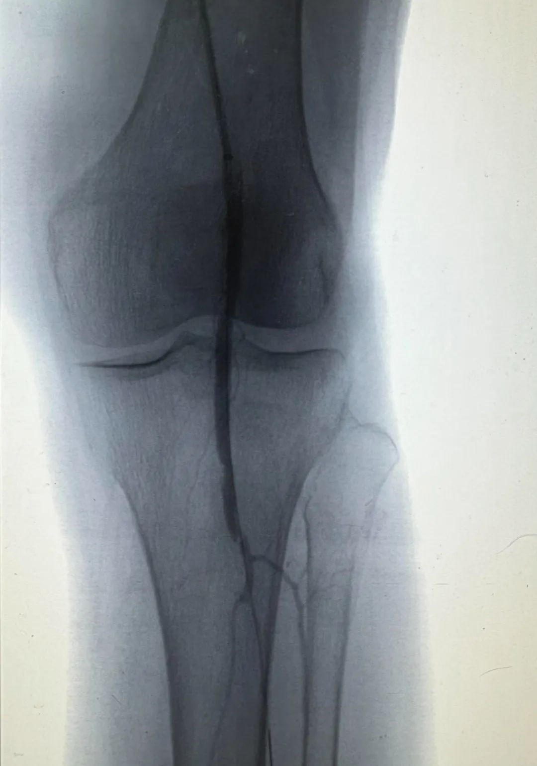
眼见着阿婆情况危急,奉城医院迅速开通绿色通道,血管外科团队在第一时间完成CT血管造影,显示老人左侧股动脉远端被长达20cm的血栓死死堵住,像一条腐烂的“血栓巨蟒”盘踞在血管里。然而,对于这样的超高龄患者来说,传统开刀取栓犹如“开膛破肚”,心衰、感染风险极高,但如今的奉城医院血管外科已拥有一把“秘密武器”——Roterax机械吸栓系统,正等待上演一场精密的“血管清道夫”行动。由血管外科主任宋菊民主刀,团队使用仅3mm粗的导管,如同操控微型手术刀:螺旋刀头高速旋转绞碎血栓,同步负压抽吸像“血管吸尘器”般将20cm长的血栓碎块全部吸出,45分钟精准“粉碎”,出血量还不到一纸杯。当造影显示股动脉远端血流通畅,即刻老人的脚就不疼了。手术室里响起欢呼声——没放一枚支架,却让93岁老人的血管“逆龄重生”。
术后第二天查房,医护人员准备为老人拍张康复照。听力障碍的徐阿婆虽听不清指令,但坚持要自己站起来。镜头定格下这一刻:老人挺直的脊背与医护人员相扶的身影相映,皱纹里绽放的笑容比任何医学数据都更有力量。徐阿婆的子女感动道:“以前总觉得大医院才有好医生,现在知道了,好技术会‘长’到家门口。”
在这次与死神的赛跑中,奉城医院用毫米级的精准、分钟级的速度,创造了高龄救治的奇迹。更动人的是,当93岁的生命与现代医学相遇,不仅有3mm切口的技术突破,更有那句无声的“我能站起来”——这是对生命的敬畏,也是医患之间最温暖的默契。记者:吴口天
通讯员:陈敏(奉城医院)
照片由奉城医院提供
编辑:凌姗珊
• end •
往期精彩回顾
原标题:《九旬老人命悬一线!医生3mm切口上演现实版“血管复活术”》
特别声明
本文为澎湃号作者或机构在澎湃新闻上传并发布,仅代表该作者或机构观点,不代表澎湃新闻的观点或立场,澎湃新闻仅提供信息发布平台。申请澎湃号请用电脑访问https://renzheng.thepaper.cn。

