胫腓骨骨折手术!短时高效,70分钟解决骨折难题|发现好技术
2025-04-07 22:32
上海
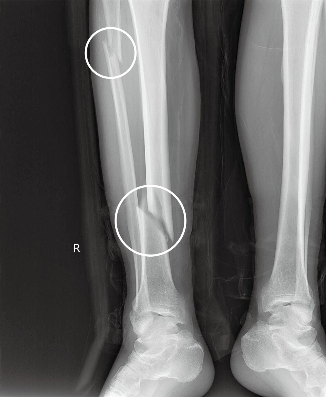
3月,顾老伯一场突如其来的车祸,被120送至奉城医院急诊骨科进行救治,接诊的刘宗海医生紧急安排了X线检查。
检查显示:胫骨下段粉碎骨折,右腓骨近端粉碎骨折
随即收治入院,由于胫腓骨都有骨折,引起腓总神经损伤,如果压迫时间久会造成神经的不可逆修复,黄淮医生评估病情后决定开展急诊手术。完善各项术前相关检查,各项指标均正常,经过详细的评估,骨科团队商讨后决定微创治疗,减少对患者身体的创伤,为顾老伯制定了周密的手术方案。
在麻醉科、手术室的密切配合下,仅1小时10分钟,手术顺利结束。

如果按照传统的手术方法做多段的胫骨骨折,切口是从最高点的骨折端到最低点的骨折端,感染的风险增加,对周围软组织的损伤,会遗留明显的疤痕。微创手术的优点
创口小,出血少:
切口仅几厘米,减少了对周围组织的损伤。
恢复快,并发症少:
术后疼痛轻,感染风险低,患者可以早期进行康复功能锻炼。
疤痕小,美观:
小切口愈合后疤痕不明显,更符合美观需求。
微创手术
让骨折治疗更精准、更微创、更快速
这一良好的手术结果让顾老伯和家属感到欣喜万分,术后顾老伯积极配合康复科医生进行康复锻炼,从术后还需要别人帮助的被动锻炼逐渐到自己的主动锻炼 。
顾老伯表现出了超强的意志力和行动力,手术后第二天便尝试借助拐杖行走。经过第一次下地行走的锻炼,顾老伯更加积极地进行康复训练,逐渐能够独立行走一段距离,无需他人搀扶。
顾老伯的康复过程充分体现了微创手术的优势以及患者自身积极康复的重要性。奉城医院骨科团队将继续秉持微创、精准的治疗理念,为更多患者提供优质的医疗服务,助力患者早日康复,回归正常生活。原标题:《胫腓骨骨折手术!短时高效,70分钟解决骨折难题|发现好技术》
特别声明
本文为澎湃号作者或机构在澎湃新闻上传并发布,仅代表该作者或机构观点,不代表澎湃新闻的观点或立场,澎湃新闻仅提供信息发布平台。申请澎湃号请用电脑访问https://renzheng.thepaper.cn。

