微塑料正快速侵入大脑,研究者称“不寒而栗”
工作日的中午,当你把塑料饭盒放进微波炉加热午餐,在这个过程中,塑料容器会释放出大量微塑料颗粒,散落到食物中。接下来,你大口吞下的不仅仅是美味佳肴,微塑料也混着一起进入体内。
由此引出了一个重要的健康问题,如果长此以往身体不断累积微塑料,是否会危害健康呢?
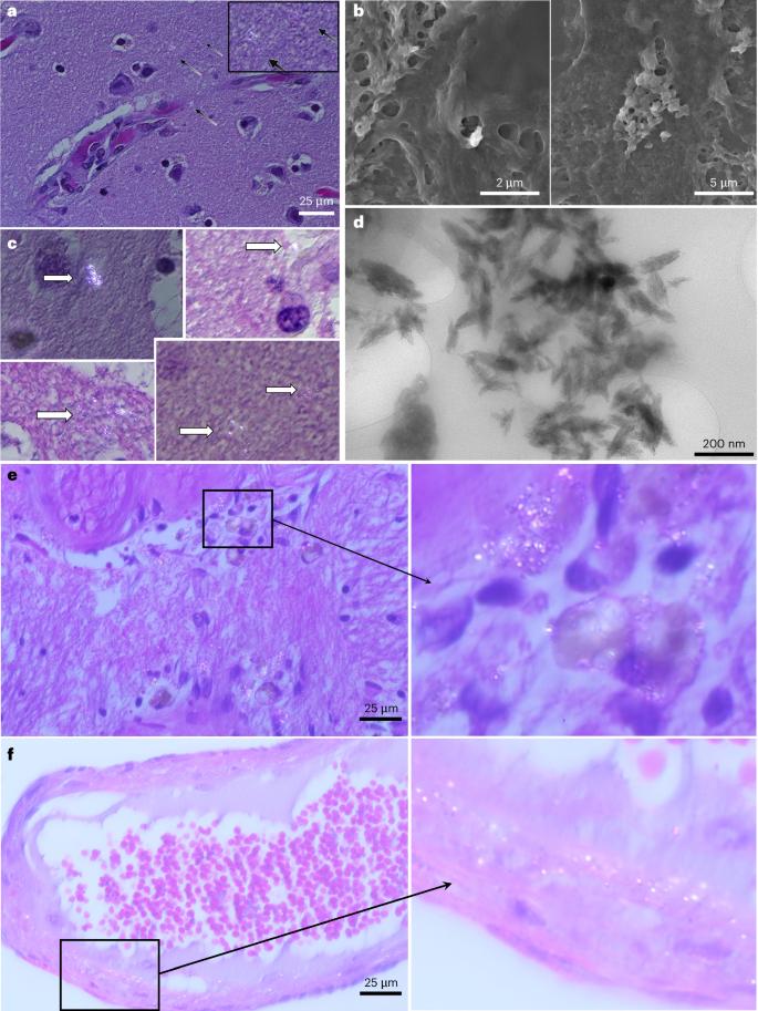
图库版权图片,转载使用可能引发版权纠纷近期,《自然》(Nature)新闻特稿报告了一项发表在《科学进展》(Science Advances)上的重要研究,来自中国环境科学院席北斗、侯佳奇(共同通讯作者)和北京大学未来技术学院黄海鹏(第一作者)等五名研究人员组成的团队,实时追踪了微塑料在小鼠大脑内游走的过程:
微塑料被免疫细胞吞噬,致使细胞变成不规则形状,随后在血液中高速流动,卡在大脑皮层区域毛细血管的弯弯绕绕处,前赴后继,犹如“车祸现场”。最终造成细胞阻塞,诱导脑血栓以及神经行为异常的出现。
画面栩栩如生,微塑料大量堆积的后果可能会不堪设想……
MPL-细胞阻塞(如血栓形成)会抑制脑血管内的血液灌注微塑料从哪里来,到哪里去
2004 年,英国普利茅斯大学(University of Plymouth)的海洋生态学家 Richard Thompson 团队在《科学》上发表了一篇影响深远的摘要,仅仅一页纸的文章汇总了 Thompson 近十年来在英国海岸以及海底淤泥中的惊人发现。其中,Thompson 创造出“微塑料”(microplastic)这个术语,用来描述直径小于 5 毫米的塑料颗粒。如今,微塑料更精确的直径范围则定义在 1 微米至 5 毫米之间。
微塑料,顾名思义,与塑料紧密相连。自上世纪 50 年代诞生以来,塑料进入了工业生产、交通运输、医药护理以及日常生活的方方面面。据统计,从 1950 年至 2020 年,全球塑料年产量从 200 万吨增长到超过 4.5 亿吨。
然而,面对海量制造出来的塑料,我们的回收处理效果不甚理想。2019 年,全球塑料制品回收利用率仅 9%,按传统模式处理(包括填埋和焚烧)的有 69%,另有 22%的塑料属于无人管理,随意滞留在环境中。而塑料制品的滥用和不合理处置,便是微塑料产生的主要源头。
最早对微塑料来源的研究主要集中在个人护理产品。在产品制造过程中可能逸出的原生塑料颗粒,以及废弃塑料瓶和其他垃圾中慢慢侵蚀的碎片,所有这些都会被冲入河流和海洋中。2015 年,海洋学家估计全球地表水中漂浮着 15 万亿至 51 万亿颗微塑料颗粒。
此后,还发现了其他微塑料来源,例如从行驶的汽车轮胎上脱落的颗粒,衣服上脱落的合成微纤维等等。这些颗粒飘荡在天地之间,无处不在。
微塑料的主要来源:包括塑料颗粒、个人护理品、油漆涂料、合成纤维、轮胎、塑料瓶等 | 图源Science包括 Thompson 在内的全球科学家团队在这二十多年间展开研究,给出了更详细的微塑料分布情况:从地球最高的珠穆朗玛峰区域的冰雪和溪水,到地球最偏远的南北两极海冰和新雪,再到大西洋、地中海和印度洋的深海沉积物……微塑料或漂浮在空中,或随着雨水降落在山川、森林以及城市,另外,食品、饮用水甚至啤酒中也都存在有微塑料颗粒。因此,科学家能够断言:“几乎所有物种都接触过一定程度的微塑料。”
2021 年,荷兰瓦赫宁根大学(Wageningen University)的环境科学家 Albert Koelmans 发表论文报告称,基于对空气、水、盐和海鲜中微塑料的有限调查,儿童和成人可能每天摄入十到十万多颗微塑料颗粒,如果做最坏的评估,人体一年可能摄入的微塑料量大概相当于一张信用卡的重量。
问题只会越来越严重。面对如今每年 4 亿多吨的塑料产量,预计到 2050 年这个数字将翻一倍。即使从明天开始发生奇迹,所有塑料生产全部停下,那么垃圾填埋场和环境中现有的塑料(估计约 50 亿吨)仍将会继续分解成微塑料颗粒,让地球上的微塑料数量继续增加。
微塑料存在于人体内各处
挪威科技大学(Norwegian University of Science and Technology)的生物学家 Martin Wagner 提出:虽然“微塑料”诞生于 20 年前,但直到大约 10 年前,科研人员才开始将课题从研究环境和动物中的微塑料颗粒,转移到评估其在人体内的情况和对人类健康的影响。
2019 年,来自奥地利维也纳医科大学(Medical University of Vienna)的 Philipp Schwabl 团队在《内科医学年鉴》(Annals of Internal medicine)上发表论文,首次报告在人类粪便中发现了微塑料。这项小型研究调查了来自欧洲、日本和俄罗斯的 8 名受试者,所有人的粪便样本中都有发现。在所检测的 10 种塑料中,发现了多达 9 种不同的塑料,最常见的便是聚丙烯和聚对苯二甲酸乙二醇酯。
平均来说,每 10 克排泄物中发现 20 颗微塑料颗粒,其中一些来源于化妆品,还有一些分解自较大的塑料碎片。基于结果,作者估计“全球超过 50%的人口的粪便中可能含有微塑料,但需要进行更大规模的研究来证实。”这样的结果证实了医生们长久以来的猜测,塑料终于进入了人体肠道,但这对有肠道疾病的患者意味什么,仍让医生们非常担忧。
直至今日,科学家们已在人体消化系统、呼吸系统、心血管系统和生殖系统的器官、体液和排泄物中都检测出了微塑料颗粒,这说明了微塑料早已在人类体内亲密共生了很长时间。
今年 2 月初发表在《自然·医学》(Nature Medicine)上的一项研究报告了更为严峻的结果,来自美国新墨西哥大学(University of New Mexico)药学院杰出教授 Matthew J. Campen 团队分析死亡后人类肝脏、肾脏和大脑组织样本,发现随着塑料产量的急剧增加,大脑、肝脏和肾脏中发现的微塑料浓度也随之增加。平均而言,2024 年大脑样本中的微塑料水平比 2016 年的样本高出约 50%,此外,大脑样本中所含的微塑料比肝脏和肾脏样本高出 30 倍,呈现出微塑料更易在大脑中富集的特点。
图注:大脑中微塑料颗粒的可视化结果,来源:Nature而本文开头的《科学进展》论文则提供成像线索,揭示了微塑料颗粒在体内聚集的过程。研究人员给小鼠投喂了掺有聚苯乙烯荧光微球的水,然后使用微型双光子显微镜荧光成像技术,追踪微塑料在血液中的移动,于是得到了开头所描述的场景……在为期 4 周的观察期内,有一些颗粒阻塞会最终消散,但有些始终存在。
微塑料对人类健康的危害
那些滞留在体内的微塑料,显然更加值得关注。
席北斗团队进一步揭示,微塑料堵塞了大脑血管之后会对小鼠造成怎样的影响。研究人员使用Y型迷宫测试来评估小鼠的行为,发现喝过微塑料水的小鼠不仅空间记忆能力显著下降,进一步实验还表明它们的运动协调能力以及耐力也纷纷下降。另外,微塑料可诱导小鼠体重减轻,可能是由于运动能力的变化也改变了它们的进食行为。
作者随后强调,虽然不清楚在小鼠体内观察到的现象是否在人类大脑中出现同样的情况,因为人类大脑内血管、血容量都更大,流速也更快,但是,“增加对这一研究领域的投入紧迫且必要,以充分了解人类血液中微塑料带来的健康风险。”
其实,目前微塑料对人体器官和健康影响的研究在逐渐深入中,不过鉴于人体实验涉及的生命安全和伦理问题,科学家们通常使用与人类具有生理相关性的小鼠模型展开研究,此外也尝试着运用人体细胞核体外器官模型。
图库版权图片,转载使用可能引发版权纠纷2023 年 12 月,中国科学院沈阳应用生态研究所微徐明恺研究员团队在《国际环境》(Environment International)期刊上发表研究,报告给小鼠灌胃输入聚苯乙烯微纳米塑料,并持续 28 天观察小鼠的肠道系统,结果发现肠道内积累的微纳米塑料导致肠道内潜在致病菌丰度的显著增加,有益菌丰度显著降低,并干扰了肠道菌的短链脂肪酸代谢特征。此外,还可诱发肠道炎症,破坏肠道屏障功能,干扰免疫功能。这样的恶劣情况足以引起人们的警惕心。
而 2024 年 3 月发表在《新英格兰医学期刊》(The New England Journal of Medicine)的一项具有里程碑意义的报告表示,在接受心脏手术的约 250 名患者中,有近 60%的人主动脉中存在微塑料或微纳米塑料;与没有塑料积累的人相比,前者在手术后三年内心脏病发作、中风或死亡的可能性要高出 4.5 倍。同年 11 月,宁夏医科大学团队在《生态毒理学与环境安全》(Ecotoxicology and Environmental Safety)期刊上发表论文强调,高温加速塑料容器中微塑料颗粒释放出来,其有害的化学物质可能通过改变肠道菌群,引发全身炎症和氧化应激,进而增加心力衰竭的风险。
的确,近两年来,越来越多的国内外研究结果显示,微塑料颗粒还可能与人类癌症、肾脏疾病、生育问题,甚至阿尔茨海默病有关。不过必须指出,目前尚无证据表明微塑料直接导致人类疾病,数据主要显示两者之间存在联系。
除了微塑料,科学家还担忧更加微小的塑料颗粒——纳米塑料,即直径小于 1 微米的颗粒——在体内的情况。一些数据表明,根据摄入途径,许多尺寸大于纳米塑料的颗粒会通过消化系统,排出体外,但纳米塑料可能会进入细胞内,而身体还没有建立相应的消化和排出机制。
不同尺寸的塑料碎片,从微塑料到纳米塑料 | 图源:S. Primpke et al. Appl. Spectrosc. 74, 1012–1047 (2020)如今,微塑料污染早已无处不在,我们已无法视而不见,科学家们正在与时间赛跑,研发出各种新方法成像、追踪、分析、检测并确定微塑料对人类健康方方面面的影响。
前述新墨西哥大学教授 Campen 在接受《自然》采访时就发自内心地表示:“我们想在这方面做更多的研究,但一想到我找到答案之前,我大脑中的微塑料浓度会增加几个百分点,内心就不寒而栗。”
参考资料
[1]https://www.science.org/doi/10.1126/sciadv.adr8243#sec-3
[2]https://www.science.org/doi/10.1126/science.1094559
[3]https://ourworldindata.org/plastic-pollution
[4]https://chn.oversea.cnki.net/kcms/detail/detail.aspx?filename=HJKZ202308050&dbcode=CJFQ&dbname=CJFDLAST2023&uniplatform=NZKPT
[5]https://linkinghub.elsevier.com/retrieve/pii/S004896971933323
[6]https://www.sciencedirect.com/science/article/pii/S2590332220305509
[7]https://agupubs.onlinelibrary.wiley.com/doi/10.1002/2014EF000240
[8]https://royalsocietypublishing.org/doi/10.1098/rsos.140317
[9]https://www.nature.com/articles/d41586-021-01143-3
[10]https://pubs.acs.org/doi/10.1021/acs.est.0c07384
[11]https://www.acpjournals.org/doi/10.7326/M19-0618
[12]https://www.theguardian.com/environment/2018/oct/22/microplastics-found-in-human-stools-for-the-first-time#:~:text=Microplastics%20have%20been%20found%20in,found%20to%20contain%20microplastic%20particles.
[13]https://kns.cnki.net/kcms2/detail/11.1895.X.20230524.1541.002.html
[14]https://www.nature.com/articles/s41591-024-03453-1
[15]https://www.theguardian.com/environment/2025/feb/11/microplastics-mice-brains
[16]https://iae.cas.cn/gb2019/xwzx_156509/kyjz/202311/t20231129_6938725.html
[17]https://www.nejm.org/doi/10.1056/NEJMoa2309822
[18]https://www.sciencedirect.com/science/article/pii/S0147651324014593#sec0150
[19]https://pubs.acs.org/doi/10.1021/acs.est.3c09524
[20]https://www.sciencedirect.com/science/article/abs/pii/S0269749123019115?via%3Dihub
[21]https://academic.oup.com/toxsci/article-abstract/200/2/235/7673133?redirectedFrom=fulltext&login=false
[22]https://link.springer.com/article/10.1007/s12035-023-03625-z
[23]https://www.nature.com/articles/d41586-025-00405-8
策划制作
原标题:《微塑料正快速侵入大脑,研究者称“不寒而栗”》

