筛查老年痴呆、辅助诊断、“科研神器”……东莞这些地方已经用上AI了!
未来已来,将至已至
在我们不经意间
AI技术已经愈发走进日常
在东莞
AI的应用场景日渐广泛
疾病筛查、辅助诊断
制造实践、企业科研等各领域均有涉及
构建起一幅智慧图景
01
AI筛查老年痴呆
站在屏幕前按照指示,进行一个简单的“画钟”测试,几分钟后,就能完成一次“脑健康体检”,判断自己是否有认知障碍的迹象。
近日,东莞市莞城医院一款搭载图形算法的AI智能设备,被应用于丰华翠苑一场老年痴呆防治促进行动,通过在AI智能设备上“画钟”,进行老年认知症筛查。
“画钟法”是一个简单、快速发现早期老年痴呆的测试,准确率可以达到90%以上。测试方法是请老人画一个圆形的钟表,表盘上要有标明时间点的12个数字,钟表上要有时针和分针,指针指向出题者指定的时间。“画钟法”看似简单,却考察了人的记忆力、理解力、空间结构和执行功能。
此次运用的设备利用人工智能,结合神经内科专家陈仰昆教授的筛查方法,对社区老人做认知症的初步筛查,同时还具备康复训练的功能,能为老年痴呆症初期的患者提供康复训练,进行早期的介入恢复。
设备通过AI互动游戏为老年人恢复记忆提高神经反应速度、整体协调性和身体控制,恢复老年人精神健康,为老年人的晚年幸福生活助力,同时可以用在社区老年活动和老年娱乐中,帮助预防老年痴呆。
02
AI辅助诊断设备深入医疗领域
近年来,东莞市滨海湾中心医院瞄准高水平智慧医院建设目标,引进了一大批具备先进人工智能辅助诊断功能的高端设备,覆盖影像、放疗、检验、超声等多个领域。
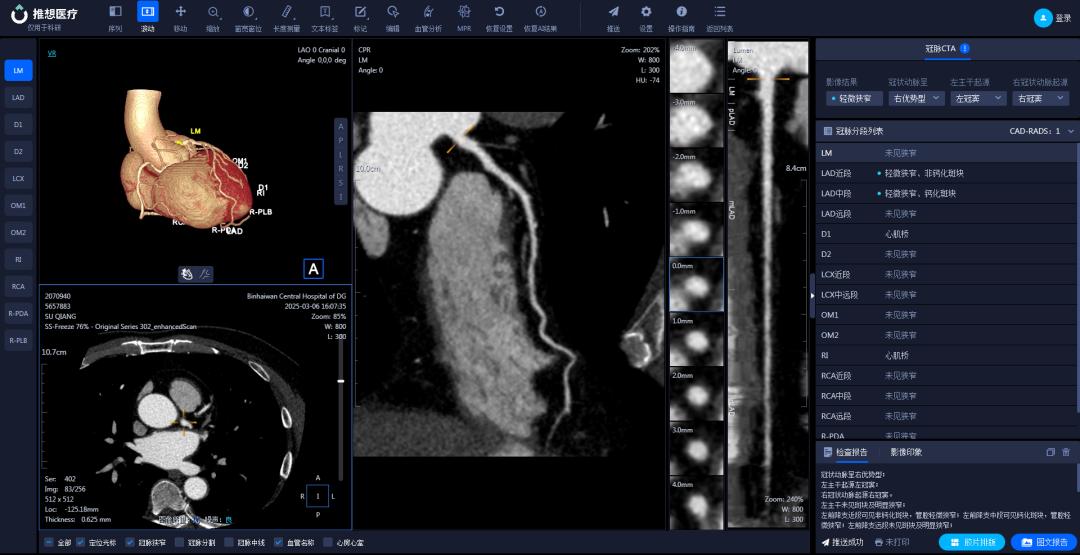
在医学影像科,AI辅助诊断系统宛如一位经验丰富且不知疲倦的医学影像专家,可快速分析肺结节、钼靶检查、骨疾病(骨折)、脑梗塞、脑出血、冠脉CTA(冠状动脉CT血管造影)等影像,提供精准诊断参考,助力医生“一秒读片”。




左右滑动查看更多
结合AI技术,256排CT实现去金属伪影、智能心脏重建、一键式卒中流程管理等功能,为心血管疾病和脑卒中患者争取黄金救治时间。
3.0T磁共振则通过无绑带人体智能感知系统和无接触式探测呼吸触发信号AI技术,优化工作流程并提升图像质量,为患者营造更加舒适、便捷的检查体验,也为精准诊断提供更清晰、更可靠的依据。3.0T磁共振具备多项先进的功能成像技术,能够实现一分钟高清肿瘤成像,也广泛应用于不打药心脏冠状动脉筛查。
在肿瘤放疗科,直线加速器搭载AI自动勾画系统,精准定位肿瘤靶区与危及器官,有效保护正常器官,帮助医生快速、准确地确定放疗范围,显著提高放疗计划的精准性,为肿瘤患者提供更优质、更有效的治疗方案。



此外,AI技术作为检验科高效检验的“智能管家”,超声科智能超声的“慧眼”,同样帮助提升医疗服务的精准性和效率。
03
AI让机器听得懂人话
手机充电时电流是否平稳?微波炉的“噪声电波”是否干扰了Wi-Fi信号?大量传感器“合作服务”的汽车是否工作正常?这些与我们生活息息相关的产品,在研发、生产、测试环节都离不开示波器的帮忙,工程师据此观察、分析和诊断电路或设备中的电信号行为。
示波器被誉为仪器仪表行业“皇冠上的明珠”,是行业中的高端产品,能把看不见的电活动“翻译”成可视的图形,让人类读懂电的“语言”。

研发人员在使用MSO8000HD系列高分辨率示波器
2月19日,总部位于东莞松山湖的优利德科技(中国)股份有限公司上线了业内首款基于DeepSeek大模型的MSO8000HD系列高分辨率示波器。该示波器搭载了“小优AI助手”,工程师使用自然语言文本与小优对话,不仅可以了解产品功能、配置测量参数,还可以实现测量决策辅助、信号异常检测等功能,显著提升了测试效率与精度。
许多客户不愿意使用示波器的高级功能,一个重要的原因就是使用步骤复杂,对工程师业务逻辑知识和经验的要求较高。而搭载了AI工具的示波器理解自然语言,用户提出“你的带宽是多少?”“你有什么分析功能?”“帮我按照以下步骤配置示波器”就能轻松了解示波器,无需按键即可实现指令,大大降低了使用门槛。预计在今年下半年,优利德还将升级AI助手,实现更深入的信号分析。


上:用户可通过文本对话指挥“小优AI助手”配置示波器
下:“小优AI助手”可根据用户需求生成MATLAB代码
作为首款搭载了“小优AI助手”的高分辨率示波器,优利德MSO8000HD系列于2024年首次上市,是企业目前配置最高、应用场景最广泛的高分辨率示波器,支持最高8GHz带宽的测量。
布局AI是优利德冲击高端市场的重要举措之一,也是莞企加速迈向“智造”的生动实践。公司还计划继续发展软件能力,将“小优AI助手”优先部署示波器、频谱分析仪等信号分析较多的产品,逐步拓展更多的产品线和应用领域。
04
AI×材料界的“科研神器”
今年2月,东莞松山湖材料实验室发布材料科学重磅AI工具:MatChat AI 智能体,这是一款专注于材料科学领域的智能问答引擎。
MatChat AI Agent基于大语言模型(LLM)和增强搜索技术(RAG),提取了28 万余篇材料科学、物理、化学论文中的知识,形成垂类知识库。用户可以通过对话形式,获取知识库中的材料科学内容。用户可以提各类问题,MatChat AI均可给出可靠的答案。

“MatChat是目前国内唯一面向公众开放使用的材料科学智能体,集成专业数据库检索能力,即便在国际范围内也属领先水平。”中国科学院物理研究所研究员、MatChat团队负责人刘淼表示。
对于科学研究来说,“幻觉”是最大的敌人。刘淼表示,MatChat AI能够规避“AI幻觉”。用户通过对话即可获取高度结构化的学术信息,并附有参考文献和原文链接,彻底解决通用大语言模型中常见的“一本正经的胡说八道”现象。
“Matchat在材料领域的突破,犹如星星之火,甚至只是电影上映前的预告片。”刘淼表示,从通用模型到垂类模型,未来人类或将进入一个“高速创新”的智能化时代。
05
AI文献专利智能平台落地
近日,广东东阳光药业股份有限公司(以下简称:东阳光药)宣布接入Deepseek,启动AI+全面战略布局。
此次东阳光药与深势科技的合作,将构建新一代AI文献与专利数据库检索、问答、分析管理大模型平台——HEC-Finder。该平台聚焦药物研发,为科研人员提供科学文献的智能检索、分析及关键信息提取等功能,助力研发效率提升。

HEC-Finder文献阅读问答示例
据介绍,该款多模态文献研读工具,底层训练了大量药物研发相关科学文献,通过整合文本、图表和图像等多种数据格式,提供全面的内容解析与提取。在药物开发领域帮助科研人员识别研究趋势,从海量的文献中提取有针对性的信息。
该平台可以实现专利数据的自动化更新、精准检索和深度分析;快速提取化合物结构和活性信息,提高研发效率;自动化快速判定结构专利侵权情况,降低法律风险。

HEC-Finder文档信息抽取示例
未来,Deepseek大模型将更深入地应用于东阳光药AI4S各个科学研发领域,从而进一步加速管线项目研发效率提升并提高研发成功率。
AI赋能千行百业
你体验过AI产品吗?
来分享一下你的看法吧~
·
原标题:《筛查老年痴呆、辅助诊断、“科研神器”……东莞这些地方已经用上AI了!》

