医声丨中国医大说科普——严寒来袭:如何有效预防脑出血!高血压者更要注意。
严寒来袭:如何有效预防脑出血!高血压者更要注意。主持人:辽宁省科学技术馆 丁翎
今年大寒,属“晚大寒”,正如老话“早大寒,春节脱棉袄;晚大寒,春节正隆冬”所说,今年春节可能相对寒冷。大寒时节是北方一年中最冷的时期。
昨日大寒,朋友的朋友发生脑出血这件事让我感到震惊,最大的遗憾是没有做好防护,这让我深刻意识到预防的重要性。生活中,我们常常忽视身体的信号,特别是在极端天气下,健康更是需要格外关注。这件事也让我意识到,健康不是可以无视的奢侈品,随时随地都可能与我们擦肩而过。希望大家能够引以为戒,珍惜自己的健康。
主持人:中国医科大学 马铭阳
此时此刻,我深知生命的脆弱与疾病的突然无情。这个疾病虽然发生迅速,但还是有其预兆的,及时的预防可以显著降低其风险,为挽救生命争取宝贵的时间。预防措施可帮助及早发现潜在的问题,使医生能够对其进行针对性治疗,延缓病情进展。
让我们更加关注自己的健康,特别是对高风险人群(尤其高血压者)。它促使公众对健康的重视,从而提高自我保护意识。整个案例警示我们要重视健康的生活方式,通过积极的生活习惯来防范潜在的疾病,提高生活质量,减少疾病发生的可能性。下面让我们来一起听听陈教授日前刚刚遇到真实的案例。
石宸钰:陈老师好!请问1您可否分享一下这则“临床案例”具体情况(如果不介意的话)?
陈思娇教授:好的。
我有一个朋友,今年刚好50岁,平时显得精神抖擞,自信满满,似乎没有一丝病痛的迹象。然而,他的生活方式却不太健康:每天两包烟的烟雾缭绕,每顿2两白酒,常年累月夜以继日地工作,经常熬夜到深夜,生活完全没有规律。我也曾多次劝他注意身体,但他总是一笑置之,坚信“我年轻,怎么会有事呢?”
然而,命运的转折总是悄无声息的。就在昨天晚上,他给我打来了电话,声音里透着不寻常的紧张。此时此刻血压极高200/120mmHg,降压药也控制不住;他坦言,入冬以来尤其最近几天血压总是控制不住180-150/100-120。昨天晚上的生日宴上,酒喝得稍多,心里的激动,让他有点不妙。此刻,他感到剧烈的头痛,药物也无法缓解。问我怎么办?
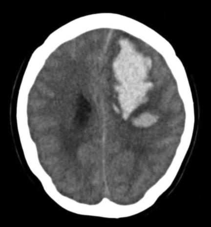
我迅速问了他的情况,心里隐隐觉得这并不是简单的头痛问题,很可能是急性脑出血或蛛网膜下腔出血。我立刻让他拨打120,赶紧120送往医院。30分钟后,我的手机上收到了家属传输的脑CT,果不其然,一看——颅脑脑叶出血!于是绿色通道抢救,迅速被推入手术室,经过脑外科医生清除脑血肿,算是挽救了生命,但目前留有引流管,还处于“昏迷状态”。
急性脑出血出血量至少80毫升,如果不及时手术,继续出血,后果不敢想象......。术后恢复究竟如何?目前未知?
马铭阳:陈老师好!请问2何谓急性脑出血?
陈思娇教授:好的。
急性脑出血就像是大脑内的一场突如其来的“火灾”,血管忽然破裂,鲜红的血液如同失控的洪水,涌入脑组织中,迅速形成一个个危险的血肿。这一紧急状况仿佛在大脑内发出了响亮的红色警报,意味着危险来临!
随着血液的肆意扩散,颅内压力瞬间飙升,周围的脑组织也遭受压迫。此时,患者可能会感受到剧烈的头痛,仿佛有千斤重的铁锤在猛击脑袋。同时,恶心和呕吐也会接踵而至,让人倍感不适。更为严重的是,患者可能出现偏瘫、失语等症状,甚至意识受到干扰,陷入昏迷之中。
急性脑出血就是这样一场毫无预兆的“危机”,它提醒我们必须对大脑健康引起高度重视,及时采取预防和应对措施,以保护我们的脑部安全。
石宸钰:陈老师好!
请问3急性脑出血临床表现都有哪些?
陈思娇教授:好的。
主要临床表现为颅高压症状和出血部位脑组织神经功能障碍表现,不同部位脑出血的症状和体征是临床上准确定位诊断的依据。脑出血最常见的部位是基底核区脑出血,包括壳核出血和尾状核头出血。
脑出血之后所导致的临床表现与出血的部位,出血量的多少,以及出血之后损伤了哪些结构相关,如额叶出血,因为额叶与人体的运动、言语、精神,包括肢体的协调功能密切相关,对于额叶出血,如果损伤了运动区往往会出现病灶对侧的中枢性面瘫,以及对侧肢体的瘫痪等临床表现。由于额叶出血量较大,以下症状可能较为严重,因此应及时就医,进行详细评估和治疗。
本例额叶出血量接近100毫升,可能导致如下临床表现:
马铭阳:陈老师好!请问4脑出血都有哪些危害?
陈思娇教授:好的。
脑出血的危害包括:
(1)神经功能损伤:可能引起偏瘫、言语障碍、失语等问题。
(2)意识障碍: 意识模糊、昏迷,严重情况可危及生命。
(3)脑水肿: 颅内压,可能致使更严重的脑损伤。
(4)继发性脑损伤: 感染、血栓等并发症,进一步加重病情。
(5)长期后遗症: 可能留下认知障碍、情绪问题、运动功能障碍等后遗症。
(6)高死亡率: 若不及时处理,死亡率较高。
通过了解这些危害,可以加强对脑出血的预防和及时就医的意识。
石宸钰:陈老师好!
请问5急性脑出血常见原因?
陈思娇教授:好的。
马铭阳:陈老师好!请问6 脑出血高危人群都有哪些?
陈思娇教授:好的。
丁翎:陈老师好!请问7急性脑出血预防措施都有哪些?
陈思娇教授:好的。
通过以下(1)至(7)措施,能够显著降低急性脑出血的发生风险,保护脑部健康,维护生活质量。
亲爱的家人,为自己,为家人,保护好您的心脑血管。大家都来预警评估一下您的心脑血管危险因素,长按下面二维码可以进行以下简要的自我测试。亲爱的家人,今天您学会了吗? 下期再见!


联合出品:科普辽宁-中国医大一院 科普基地本文撰稿:
中国医大一院 陈思娇
中国医科大学 石宸钰 马铭阳 韩雨彤
辽宁省科学技术馆 丁翎
本文审稿:中国医大一院/辽宁老年大学 陈思娇
绘表绘图:中国医科大学 韩雨彤
通用绘图:CMU科普园 医学生团队
继续滑动看下一个轻触阅读原文
科普辽宁向上滑动看下一个原标题:《医声丨中国医大说科普——严寒来袭:如何有效预防脑出血!高血压者更要注意。》

