献礼国庆·临床诊疗技术特色项目展 | 奉贤区中心医院冠状动脉介入技术
✦ 冠状动脉介入技术
✦
奉贤区中心医院心血管内科从2008年起在科室主任乔增勇的带领下首次开展冠脉介入手术,至今已实施冠脉介入手术累计30000余例,累计救治急性心肌梗死患者5000余例。填补奉贤区冠脉介入的空白,从无到有,从有到优,快速发展。
2020年胸痛中心成立,从开始的院内绿色通道的开通,后逐渐完善体系建设。目前已联合区内二级医院、急救中心、各社区卫生服务中心,在500人的胸痛群内实现:病人未到,信息先到,病人一到,一键式启动导管室,实现无时差联动。最大程度减少发病到血管开通的时间,尽最大可能为患者节省时间,挽救更多心肌。所有急性心肌梗死病人实现先救治、后收费,真正体现生命至上。特色诊疗技术
案例回顾
2024年4月1日,严重冠脉病变的黄阿婆作为区内首位使用IVUS-OCT双模态腔内影像学的患者,在奉贤区中心医院心内科成功植入支架,开通狭窄80%的冠脉血管,在冠脉新技术的加持下,乔增勇团队精准选择了直径及长度都十分合适的支架,支架与血管壁贴合良好。一活动就胸痛的黄阿婆,术后重新恢复了活力。

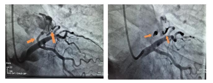
【点击阅读原文】冠心病介入治疗更精准!奉贤区中心医院一次操作实现双模成像2024年7月6日,77岁徐阿姨因为胸痛就诊于奉贤区中心医院心内科,冠脉造影结果并不是大家认为的冠脉狭窄,而是心里藏了两个小偷(冠状动脉瘘)。乔增勇团队选择介入下行冠状动脉瘘弹簧圈封堵术,术后造影提示瘘口被封堵完全。术后徐阿姨冠脉的血不再被偷走,胸痛也消失得无影无踪。
【点击阅读原文】心里藏了个“小偷”?冠状动脉瘘封堵术安排!2024年9月22日,69岁患高血压、糖尿病多年的张某,在奉贤区中心医院心内科被确诊冠心病,IVUS提示左前降支95%狭窄,管腔360°环形钙化。难题再次被乔增勇主任团队化解。经“Shockwave 震波球囊术”的脉冲震碎钙化组织,支架成功膨胀,撑开狭窄的血管。术后张某的血管畅通,生活畅意。
【点击阅读原文】

奉贤区中心医院心血管内科冠脉介入诊疗技术不断发展进步,新技术新项目如雨后春笋,层出不穷。目前已覆盖包含冠状动脉支架植入术、冠状动脉药物球囊扩张术、冠状动脉旋磨术、冠状动脉瘘封堵术、IVUS、OCT、IVUS-OCT二合一技术、冠状动脉震波球囊术、FFR等冠脉介入手术,为复杂的冠脉病变(CTO、弯曲钙化、分叉病变、左主干病变)无处遁形,难题一一被攻破,治疗冠脉疾病进入精准化时代,因病因人施策,实现从治疗病变到治疗病人的健康理念转变。
奉贤区中心医院心血管内科
科室为奉贤区首批医学重点学科、奉贤区胸痛诊治中心,奉贤区房颤中心并取得国家胸痛及房颤中心认证。目前开放床位85张(CCU20张,A类病房5张)。共有医护人员64人(博士5名、硕士10名,博士生导师1名,硕士生导师5名),其中主任医师4人,副主任医师4人,主治医师10人。年门急诊业务量12万人次,年出院人次近4200余人次.科室目前亚学科建设成熟,有冠脉介入组,起搏组,电生理组,高血压心衰组。不仅开展各类冠脉介入手术,也常规开展快速心律失常微创导管消融术、缓慢性心律失常起搏器植入术(传统起搏器、磁共振兼容起搏器及无导线胶囊起搏器)、恶性心律失常的ICD植入术、难治性心力衰竭的心脏再同步化三腔起搏器(CRTp/D)治疗,同时开展左心耳封堵术预防房颤所致的脑栓塞。未来科室计划逐步建设心脏康复中心、高血压达标中心、心衰中心、泛血管中心,继续为奉贤区人民提供与市三甲医院同质化医疗服务。
专家简介>>>滑动查看更多专家介绍
乔增勇主任医师
专
业
擅
长
复杂冠心病的介入治疗,各类起搏器(ICD,Micra,CRTD/P)的安植。
马江伟主任医师
专
业
擅
长
心脏起搏器安装、程控,冠脉造影及支架置入术
刘化进主任医师
专
业
擅
长
冠心病的介入治疗,心律失常、心力衰竭
曹华副主任医师
专
业
擅
长
心脏永久起搏器植入术,冠心病介入治疗
葛广豪主任医师
专
业
擅
长
高血压、冠心病,慢性心力衰竭,冠心病的介入治疗
张立副主任医师
专
业
擅
长
高血压,冠心病,冠脉造影及支架置入术
王宏伟副主任医师
专
业
擅
长
心律失常及射频消融术、房颤冷冻消融
张瑞英副主任医师
专
业
擅
长
冠心病,心律失常
原创所有权,转载需注明
报送:奉贤区中心医院
原标题:《献礼国庆·临床诊疗技术特色项目展 | 奉贤区中心医院冠状动脉介入技术》

