安全有效!浙江大学梁廷波/白雪莉教授团队:有前景的胰腺癌靶向治疗新策略
原创 转网 转化医学网

【导读】目前针对胰腺导管腺癌(PDAC)的治疗效果有限,这是因为肿瘤的异质性和其独特的免疫抑制微环境。
9月19日,浙江大学梁廷波/白雪莉教授研究团队在期刊《Cell Reports Medicine》上发表了研究论文,题为“Reprograming immunosuppressive microenvironment by eIF4G1 targeting to eradicate pancreatic ductal adenocarcinoma”,本研究中,研究人员发现,eIF4F的亚基之一eIF4G1在癌细胞和癌相关成纤维细胞中过表达,并且与胰腺癌患者的不良预后相关。在胰腺癌小鼠模型中,eIF4G1抑制可限制肿瘤进展并延长总体生存期,尤其是与PD1/PDL1拮抗剂和吉西他滨联合使用时。机制上,eIF4G1抑制可阻碍促进纤维化的细胞因子和趋化因子的产生,并抑制杀伤性T细胞的迁移。此外,eIF4G1抑制可降低整合素β1蛋白的翻译,并通过FAK-ERK/AKT信号通路发挥抗肿瘤作用。这些发现强调了eIF4G1对肿瘤免疫依赖性和独立的影响,并表明eIF4G1是治疗胰腺癌的有前途的靶点。

https://www.cell.com/cell-reports-medicine/fulltext/S2666-3791(24)00461-0
背景知识
01
胰腺导管腺癌(PDAC)是恶性程度最高、致死率最高的实体肿瘤之一。手术和化疗是PDAC的一线治疗方案;然而,能够接受手术治疗的患者数量有限,化疗的有效性也非常有限。免疫疗法在治疗PDAC方面显示出巨大的潜力,其在肺癌和黑色素瘤中的疗效已经得到证实。但是,目前用于PDAC的免疫疗法的临床效果有限。这可能是由于其独特的致密纤维组织和免疫抑制性肿瘤微环境(TME)所致,这种微环境是肿瘤进展的关键调节因子,与对传统疗法的不良反应有关。
在基因表达中,翻译起始控制是癌症生物学中的关键步骤。真核细胞起始因子4F (eIF4F)复合体是下游关键致癌信号通路的分子效应物,如AKT、MAPK和MYC。eIF4F由eIF4G、eIF4E和eIF4A组成,通过与5 ' mRNA的7-甲基鸟苷酸帽结合,调节帽依赖性mRNA翻译过程,导致参与癌症发展的蛋白质的选择性合成。异常的eIF4F活性发生在一些癌症中,并与患者的不良预后相关。最近的一项研究强调了eIF4F驱动的mRNA翻译在调节TME中的作用。靶向eIF4A、eIF4E和eIF4G以干扰eIF4F活性,并将它们用作抗肿瘤药物的研究兴趣越来越大。然而,eif4f相关蛋白尤其是eIF4G在PDAC TME中的潜在功能和机制,以及eif4f相关抑制剂是否可以治疗PDAC尚不清楚。
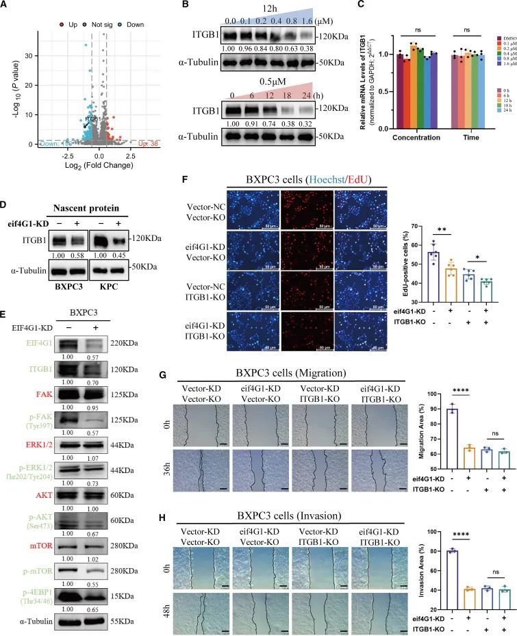
eIF4G1还通过整合素β1/FAK通路诱导PDAC细胞增殖、迁移和侵袭
02
如上所述,在裸原位KDA小鼠模型和皮下PDX小鼠模型中,较高剂量的SBI-0640756也抑制了肿瘤生长,表明eIF4G1通过非免疫反应发挥直接抗肿瘤活性。既往研究表明,eIF4G1和相关的eIF4F可能作为促癌信号通路的下游分子发挥作用,并导致相关蛋白的选择性合成。为了确定抑制eIF4G1是否也可以抑制上游基因的翻译启动和失活促癌信号通路,研究人员在BxPC3细胞中对eIF4G1- kd组和对照组进行了蛋白质组学分析。与对照组相比,eIF4G1-KD组ITGB1表达明显下调。研究人员研究了不同剂量eIF4G1i或不同时间处理的细胞中ITGB1的表达。BxPC3和KPC细胞经eIF4G1i处理后,ITGB1蛋白水平较对照组降低,且呈时间和浓度依赖性,但ITGB1 mRNA表达无明显变化。PDAC细胞中eIF4G1 KD显著抑制ITGB1蛋白的合成。这些结果表明,eIF4G1通过影响翻译来决定ITGB1蛋白的表达。

eIF4G1通过整合素β1/FAK通路诱导PDAC细胞增殖、迁移和侵袭
然后,研究人员在BxPC3和KPC细胞中检测了ITGB1信号通路可能的下游通路。与对照组相比,eIF4G1-KD组FAK、ERK1/2、AKT、mTOR蛋白磷酸化水平降低。eIF4G1-KD显著下调磷酸化4EBP1水平,磷酸化4EBP1被mTOR激活,并从4EBP1-eIF4E复合体中释放eIF4E以促进eif4f依赖的翻译。这些作用在ITGB1敲除(KO)细胞中部分逆转,表明eIF4G1可能通过ITGB1-FAK通路促进PDAC的肿瘤发生和进展,这是一个以eIF4F复合物为中心的正反馈机制。进一步的体外和体内实验证实了eIF4G1依赖于itgb1的促肿瘤活性,尤其是迁移和侵袭。
靶向eIF4G1可增强PDAC免疫治疗和免疫化疗的疗效
03
先前的研究表明,靶向eIF4F复合物可抑制免疫检查点的表达,如PDL1。为了扩展这一结果并开发PDAC的治疗方法,研究人员分析了eIF4G1和PDL1之间的关联。与对照组相比,BxPC3和KPC细胞中PDL1蛋白水平随着eIF4G1i处理时间和浓度的增加而显著降低,eIF4G1-KD组中p-STAT1和c-Myc蛋白水平降低。接下来,研究人员评估了eIF4G1i (1.0 mg/kg/ qd,腹腔注射)和抗pdl1 (4 mg/kg/ qd,腹腔注射)联合治疗在C57BL/6 KDA模型中的疗效,发现与对照组和单药治疗组相比,联合治疗显著抑制肿瘤生长和延长生存期。
免疫化疗被认为是治疗PDAC的一种有前景的策略。研究人员进一步评估eIF4G1i联合免疫化疗增强疗效的可能性。eIF4G1i 联合免疫化疗在C57BL/ 6kda模型中,与对照组和单药治疗组相比,显著抑制肿瘤生长,延长生存期,并具有强大的根除效果。联合治疗组较NC组和G + P组胶原减少,CD8+ T细胞比例升高,GZMB表达较G + P组增强,抑制肿瘤增殖,促进肿瘤凋亡。鉴于这一令人兴奋的结果,研究人员进一步评估了联合eIF4G1i和免疫化疗在具有人源化免疫系统的HuHSC-NCG小鼠中的效果。正如预期的那样,联合治疗对原位BxPC3细胞来源的小鼠模型和皮下PDX小鼠模型均有效。这些结果表明,以eIF4G1为基础的联合治疗是根除PDAC的一种有前景的策略。
研究小结
04
综上所述,通过靶向eIF4G1,尤其是联合免疫化疗,研究人员发现了一种有前景的治疗PDAC的策略。此外,研究人员阐明了eIF4G1作用的潜在机制,支持eIF4G1i治疗策略的开发和使用eIF4G1i作为PDAC安全有效治疗的临床试验。
【参考资料】
https://www.cell.com/cell-reports-medicine/fulltext/S2666-3791(24)00461-0
原标题:《安全有效!浙江大学梁廷波/白雪莉教授团队:有前景的胰腺癌靶向治疗新策略》

