刷牙不刷到这个关键地方,你的牙算是白刷了
原创 丁香医生
讲一个恐怖故事:
我们每天都在刷牙,但牙每天都是脏的......
有人拼命横着刷,有人喜欢竖着刷;有人习惯古典的传统牙刷,有人早就换上了电动牙刷......
但是刷来刷去,刷到的永远都往往只有「一眼就能看到的」牙面,而真正需要被关注的地方,被完美错过了——
牙齿和牙龈的交界处。
图片来源:丁香医生团队其实,牙齿和牙龈的交界处,也就是靠近牙根部位,才是我们真正要重点清洁的地方!
刷牙不刷牙根处,
你的牙算是白刷了
经常看我们科普的朋友应该都知道,刷牙,不光是为了刷掉菜叶子、米粒子,更重要是通过摩擦去除牙菌斑。
牙菌斑,说白了就是细菌军团。
在我们每次刷完牙后,干净的牙齿表面会立即被唾液膜所覆盖,从而为口腔细菌附着于牙齿提供居所,给了牙菌斑繁衍生息的温床。
不过,虽然牙菌斑在牙齿表面肆虐过境,但牙齿表面还是很光滑的,牙菌斑虽然可以很快安营扎寨,但是很难短时间内发展壮大给牙齿造成伤害。
一方面,这是因为在我们日常咀嚼时,食物、牙面、舌头之间的碰撞,本就会帮助牙面的牙菌斑脱落去除,达到「自行清洁」的效果。
另一方面,牙齿的「外立面」在刷牙时最容易被反复刷到。所以,这些位置往往是牙齿中本就最干净的区域,并不需要在刷牙时额外关注。
所以,有人把牙齿的这些位置称为「自洁区」。
然而,牙齿与牙龈交界的「非自洁区」,可就不这么幸运了。
牙齿上靠近牙根、牙颈部以下的部位,因为处地偏僻,既难以享受到「自洁」的红利,还常常在我们刷牙时被忽略。于是,很容易使牙菌斑在此积聚壮大。
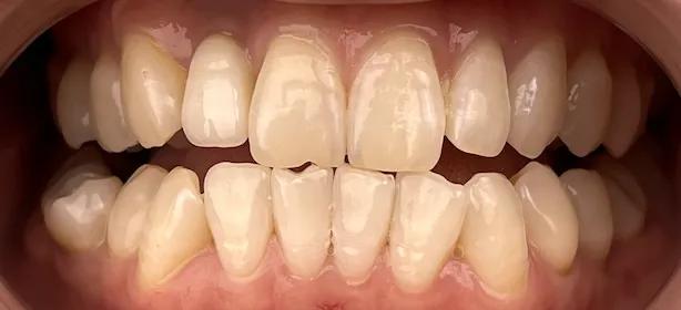
比如这是我们同事,刚刚认真刷完牙后的口腔:
⬇️看起来刷的很干净的牙齿⬇️
图片来源:丁香医生团队但在牙菌斑指示剂的作用下,可以清晰看到牙齿与牙龈交界处在刷牙时被遗漏了,牙菌斑势力庞大。
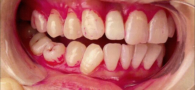
⬇️ 实际上真的挺脏 ⬇️
红色部分越深代表牙菌斑积累的越厚重
图片来源:丁香医生团队长此以往,这些牙根部位就成了细菌的乐园,它们在那里为非作歹,猖獗放肆。
首先遭殃的可能是柔嫩的牙龈。在牙菌斑的作用下,牙龈会开始发红、发炎肿胀,刷牙或使用牙线时出血,甚至逐渐牙龈萎缩。
另外,菌斑中的细菌还会释放酶,这些酶会攻击骨骼并导致骨骼分解,造成牙槽骨的破坏。这一过程会使牙齿逐渐失去支撑,出现松动甚至脱落的情况。
可以说,彻底、有效地刷牙,尤其是刷干净牙齿与牙龈交界的区域,真的很重要!
斜 45 度,
帮你刷到牙龈边缘
既然牙龈边缘的牙齿区域那么难刷,怎样才能清洁到位呢?
答案其实很简单,那就是我们可能已经听过很多遍的——「巴氏刷牙法」。
但巴氏刷牙法的要领较多,不便记忆。为了更方便地实践,我们只需记住但最最核心的要点——「 45° 斜对牙龈」刷法。
也就是,将牙刷(不管是普通牙刷还是电动牙刷)斜 45° 手持 ,轻轻深入到牙龈沟里,小幅水平颤动并拂刷。
图片来源:丁香医生团队如此,可以让刷毛有效接触牙齿、牙龈的交界处,彻底清洁死角。
用普通牙刷演示一遍:在 1~2 颗牙齿之间 45 度,刷刷刮,重复这个动作,切记每个面都要刷到~
图片来源:丁香医生团队另外在工具选择上,也不建议选硬毛、刷头较大的牙刷。
一方面,硬毛牙刷可能会对牙龈造成伤害,导致牙龈退缩甚至出血;另一方面,刷头较大的牙刷难以灵活地进入口腔的各个角落,尤其是牙齿与牙龈的交界处。
因此,选择刷头较小、毛质柔软的牙刷,可以更有效地清洁牙齿表面和牙龈缘,同时减少对牙龈的刺激。
最后,虽然牙齿是全身最坚硬的器官,但是也不要太大力哦,温柔一点!
学会了吗?赶紧转给你的家人、朋友,从今天起,一定要刷牙到牙根牙龈边上,全面刷牙有效刷牙哦~
参考文献
[1]Hajishengallis, G., Chavakis, T. Local and systemic mechanisms linking periodontal disease and inflammatory comorbiities. Nat Rev Immunol 21, 426–440 (2021). https://doi.org/10.1038/s41577-020-00488-6
[2]Clinical and public health implications of periodontal and systemicc diseases: An overview. https://doi.org/10.1111/prd.12344
策划制作
作者:孙栗
策划:塔盖 | 监制:Feidi
封面图来源:站酷海洛

