探案丨常见的咳嗽症状,少见的疾病诊断?
原创 于淙 金文婷等 SIFIC感染视界
作者:于淙 金文婷 马玉燕审阅:胡必杰 潘珏
于淙 复旦大学附属中山医院进修医生 烟台 毓璜顶医院莱山分院
一、病史简介
女性,57岁,江苏人,2024-05-09入中山医院感染病科。
主诉:反复咳嗽3年,加重7月余,间断发热2月。
现病史:
2021-05 出现咳嗽、咳痰,无发热、气急等,未诊治。
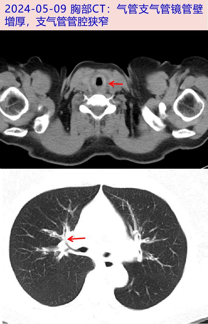
2023-10 咳嗽加剧,咳白色泡沫痰,2023-11-03当地胸部CT:气管壁稍增厚,考虑淀粉样变性,两肺多发微小结节。
2023-11-08 上海三甲医院A呼吸科门诊予复方甲氧那明、孟鲁司特纳对症,咳嗽较前无明显好转。
2023-12 当地医院CT:支气管壁增厚。行支气管镜活检,支气管粘膜病理:粘膜下见淋巴细胞,嗜酸性粒细胞浸润,另见炎性渗出,特染阴性。
2024-03 出现间断发热,Tmax 39℃,咳嗽加重。2024-03-09 当地胸部CT:肺纹理增多,气管壁增厚,考虑为淀粉样变,两肺微小结节。
2024-03-27 上海三甲医院A门诊完善肺功能:中度阻塞性通气功能障碍,FEV1 1.47 (63.15%), FEV1/FVG 56.47% ,支气管舒张实验阴性;FeNO;WBC 9.95×109/L,N 76.7%;ESR 54mm/H,hsCRP 41.8mg/L。考虑咳嗽变异型哮喘可能;予布地奈德福莫特罗1吸(160ug) bid规律吸入,莫西沙星抗感染,及对症止咳治疗。仍有反复发热及咳嗽,咳嗽时伴前肋疼痛、双膝关节及足底疼痛,无耳廓、鼻软骨不适,无眼干、口干、口腔溃疡、泡沫尿等不适。为明确咳嗽、反复发热原因,于2024-05-09收入中山医院感染病科。
既往史及个人史:鼻炎、鼻窦炎病史半年余,2023-09曾行鼻窦炎手术。养宠物狗2年余。
二、入院检查(2024-05-09)【体格检查】
T 38.4℃,P 76次/分,R 18次/分,BP 101/68mmHg,SpO2 98%。
查体:神志清,精神尚可,咳嗽时气促。全身浅表淋巴结无明显肿大,双肺闻及少许哮鸣音。心律齐,腹平软,全腹未及压痛、反跳痛,下肢无水肿。
【实验室检查】
血气分析(吸氧1~2L):pH:7.44,PaO2 107mmHg,PaCO2 38mmHg。
血常规:WBC 8.34×109/L,N 84.5%,Hb 106g/L,Plt 375×109/L。
炎症标志物:hsCRP 118.5mg/L,ESR 80mm/H,PCT 0.09ng/ml,血清淀粉样蛋白A 1260mg/L,铁蛋白386ng/mL。
生化:ALT/AST 10/14U/L,Alb 38g/L,Cr 55μmol/L,CK 31U/L,IgG 8.29g/L,IgE 30IU/mL。
T-SPOT.TB 抗原A/B 0/0(阴性/阳性对照 0/92);G试验、GM试验、EBV-DNA、CMV-DNA阴性。
呼吸道六联检(甲型流感、乙型流感、鼻病毒、呼吸道合胞病毒、腺病毒、肺炎支原体)核酸阴性;新型冠状病毒核酸阴性。
肿瘤标志物:CA72-4:15.4U/mL,余阴性。自身抗体、ACE均阴性。
细胞免疫:CD4/CD8 2.6,CD4 340/μL,CD8 130/μL。
【辅助检查】
心电图:窦性心动过速 。
心超:未见赘生物。
三、临床分析
病史特点:患者中年女性,慢性病程,主要表现为咳嗽咳痰气促、发热,体检有哮鸣音;胸部CT示气管支气管管壁增厚;中性粒细胞百分比、ERS及CRP升高;氟喹诺酮类抗感染效果不佳,疾病诊断和鉴别诊断考虑如下:
支气管哮喘:是呼吸系统常见病、多发病,由多种细胞和细胞组分参与的气道慢性炎症性疾病。其病因与发病机理尚未完全清楚。临床主要表现为反复发作的咳嗽、咯痰、喘息、胸闷、呼吸困难等,典型的表现是发作性伴有哮鸣音呼气性呼吸困难。支气管舒张试验、激发试验阳性。患者哮喘史、过敏性鼻炎病史,无长期反复发作性喘鸣病史,目前支持依据不足。支气管哮喘CT通常阴性,无明显肺内病灶及实质病变,该患者CT示气管支气管壁增厚,不符合支气管哮喘的影像学表现。
淀粉样变:淀粉样变是蛋白质以异常的纤维组织形式沉积于细胞外组织而引起的少见病。累及呼吸道者,可表现出干咳的症状,影像学上可见到气管支气管壁弥漫均一增厚。若淀粉样变在气管支气管内引起气道部分阻塞,就可出现哮鸣音、呼吸困难及阻塞性肺炎症状。可完善支气管镜下取气道内组织行病理学检查进一步排查。
复发性多软骨炎:累及肺部时可出现咳嗽、气喘、发热等症状,该患者入院后胸部CT示气管支气管管壁明显增厚,需警惕气管软骨炎症可能;补充查体,未见鞍鼻、耳廓红肿畸形等,入院后可行PET/CT评估全身软骨炎症、行支气管镜检查等明确。
四、进一步检查、诊治过程和治疗反应
2024-05-09 抽血送血培养,留痰送微生物学检查。
2024-05-10 考虑复发性多软骨炎可能大;痰涂片找细菌、真菌、抗酸杆菌阴性,XPERT.TB阴性。
2024-05-10 行支气管镜检查:气管管腔粘膜、肿胀,隆突略变钝;右侧各支气管管腔粘膜肿胀,管腔尚通畅,未见新生物;左侧各支气管管腔粘膜肿胀,左肺上叶与下叶间嵴略变宽,左主支气管远端粘膜肿胀明显,局部可见结节样突起,直视下于该处活检。因患者气喘明显,未刷检。
2024-05-10 左主支气管壁组织涂片找细菌、真菌、抗酸杆菌及XPERT-TB阴性.2024-05-11 支气管镜活检病理:(左主支气管壁)镜下为支气管壁组织,粘膜固有膜内见大量淋巴细胞、浆细胞浸润,符合慢性炎症改变。痰(05-10)真菌三项(曲霉菌、新型隐球菌、肺孢子菌DNA)阴性。
2024-05-11 请风湿免疫科会诊,考虑:复发性多软骨炎可能 。建议支气管镜组化加做IgG4染色、刚果红染色,并完善血清游离κappa、lambda轻链水平排出IgG4相关疾病、淀粉样变。
2024-05-11 予甲泼尼龙40mg qd ivgtt抗炎,辅以抑酸、补钙等治疗。
2024-05-11 PET/CT:1.复发性多软骨炎累及全身多处软骨(气管、甲状软骨、环状软骨、双侧多处肋软骨)可能,请结合临床;2.鼻咽部炎症;3.两肺小结节,请随诊;纵隔淋巴结炎。
2024-05-12 体温平。左主支气管壁组织培养:巨大芽孢杆菌(污染可能),mNGS(05-10采样)阴性。细菌、真菌培养阴性。2024-05-13 免疫固定电泳、血清游离κappa、lambda轻链水平正常。根据风湿免疫科专家意见,加用甲氨蝶呤15mg qw。2024-05-14 病理加做免疫组化及特染:刚果红(-); 氧化刚果红(-)。IgG4(-); Kappa(部分+); Lambda(+)。
2024-05-16 咳嗽明显减轻,病情好转出院,出院带药:甲泼尼龙32mg qd po,甲氨蝶呤15mg qw po,感染病科、风湿免疫科门诊随访。

出院后随访2024-05-29 感染病科门诊随访:体温平,无咳嗽、咳痰,复查CRP 5.1mg/L,ESR 8mm/H,PCT 0.03ng/ml;胸部CT:气管壁稍增厚,较前稍好转。
2024-06-26 风湿免疫科门诊随访:无特殊不适。调整醋酸泼尼松片20mg qd po,甲氨蝶呤15mg qw po。
五、最后诊断与诊断依据最终诊断
复发性多软骨炎(累及气管、甲状软骨、环状软骨、双侧多处肋软骨)
诊断依据
患者中年女性,慢性起病;主要表现为发热、咳嗽、咳痰,伴有气促等非特异性症状;CRP、ESR明显升高,铁蛋白升高,自身抗体阴性、病原学检测阴性,胸部CT:支气管壁增厚;支气管镜下可见气管及叶、段支气管壁粘膜肿胀,病理活检未见恶性细胞。PET/CT示累及全身多处软骨(气管、甲状软骨、环状软骨、双侧多处肋软骨)可能;糖皮质激素治疗后体温平,咳嗽咳痰气促好转,炎症标志物下降;故诊断成立。
六、经验与体会
复发性多软骨炎(relapsing polychondritis,RP)是一种罕见的、病理机制不明、多系统受累的自身免疫性疾病,以软骨结构及富含蛋白多糖成分的组织 (如耳、鼻、气道眼、心血管系统、关节等)的反复炎症为特征。本病罕见,流行病学研究较少,发病率、病因及发病机制尚不明确。临床表现因受累器官不同而差异较大,无典型表现,缺乏特异性实验室、影像学及组织学检查方法,早期诊断十分困难,致使患者常辗转于多个科室就诊,误诊率高,从而延误治疗。其中误诊率最高的为呼吸道症状,常被误诊为哮喘、支气管炎等,因治疗延误,后期常出现气道狭窄、软化,严重者出现气道阻塞,最终出现呼吸衰竭,为RP患者死亡的主要原因,因此寻找能早期诊断RP的检查具有重要意义。
RP累及气道时,CT影像表现为气道壁增厚、钙化,气道软化、狭窄等;气管镜下见气道黏膜肿胀、软骨环消失等征象,导致气管狭窄、塌陷等。但上述征象均无特异性。而PET/CT对于软骨炎有独特的FDG摄取表现,故在早期诊断中具有重要意义,还可判断疾病活动度和累及范围,如对高代谢灶进行活检可提高阳性检出率。本例患者胸部CT影像及气管病理为非典型RP,但PET/CT多部位软骨FDG摄取增高符合典型软骨炎症表现,进一步协助RP诊断。此外,血沉、CRP在本病活动期可明显升高。本例患者表现为血沉增快(80mm/h),CRP大于100mg/L,而毒血症状不重,抗感染治疗无效,此时需注意排查风湿免疫系统疾病。血沉及CRP在风湿免疫系统疾病中不仅会随病情的恶化或好转而升高或降低,且与疾病的严重程度、预后密切相关,也是达标治疗的重要指标。中山感染病科已诊断此病近10例,本病虽不是感染病,但容易误诊为呼吸道感染,给予抗感染治疗。感染病科医生必须学习此疾病,避免误诊及滥用抗生素。如误诊可导致管腔狭窄及塌陷,不利于疾病的恢复,可导致患者反复发生肺炎。
治疗的基本原则是根据患者病情及合并症情况,选择激素和免疫抑制剂治疗。糖皮质激素是急性发作期基本治疗用药,联合使用免疫抑制剂可更好地控制病情,协助激素减量。生物制剂治疗RP的安全性和有效性有待验证,常在有严重临床表现或常规治疗失败后使用。对于气道严重狭窄、塌陷的患者,可行持续气道内正压通气、气管切开造瘘术或气管重建术。
参考文献:
[1] Fukuda K , Mizobuchi T , Nakajima I ,et al.Ocular involvement in relapsing polychondritis[J]. J Clin Med 2021,10(21):4970.
[2] Petitdemange A , Sztejkowski C , Damian Let al. Treatment of relapsing polychondritis: a systematic review[J].
Clin Exp Rheumatol , 2022,40Suppl 134(5):81-85.
[3]Sangle SR , Hughes CD , Barry L ,et al. Relapsing polychondritis-a single centre study in the United Kingdom[J]. Autoimmun Rev, 2023,22(8):103352.
[4]Padoan R , Campaniello D , lorio L ,etal. Biologic therapy in relapsingpolychondritis: navigating between options[J]. Expert Opin Biol Ther,2022,22(5):661-671.

