[合理用药]当骨质疏松遇上口腔疾患,“药”当心!!!
骨质疏松症和口腔疾患是老年人常见的健康问题。骨质疏松症可发生于任何年龄,但多见于绝经后女性和老年男性。在抗骨质疏松治疗过程中,有一类药物因其具有颌骨坏死风险,在口腔诊疗过程中需要格外注意。
✦•
✦
Q1
什么是药物相关性颌骨坏死?
A1
药物相关性颌骨坏死(MRONJ)的定义是[1]:
正在或曾经接受过抗骨吸收药物治疗,以及单独或合并使用过免疫调节剂或抗血管生成药物。
颌面部存在死骨暴露,或可通过口内/外瘘探及骨面持续8周以上。
无颌骨放射治疗史或颌骨转移性肿瘤疾病。
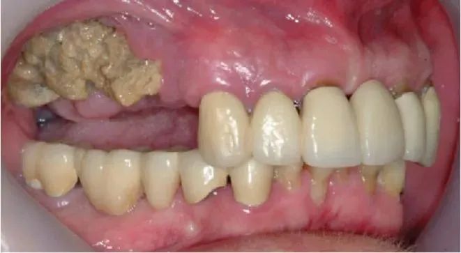
图1 III期药物相关性颌骨坏死患者右上颌局限性大段坏死[2]✦
•
✦
Q2
哪些抗骨质疏松药物容易引起药物相关性颌骨坏死?
A2
易引起药物相关性颌骨坏死的抗骨质疏松药物如下图所示:
图2 易引起药物相关性颌骨坏死的抗骨质疏松药物[3-4]✦
•
✦
Q3
该类药物服用前后如何在口腔治疗过程中降低药物相关性颌骨坏死风险?
A3
:
图3 相关药物使用前的口腔治疗[5]
图4 相关药物使用中的口腔治疗[1,5]✦
•
✦
药师建议
骨质疏松患者药物治疗前后应详细交代病史,特别是系统性疾病史及用药史,便于医生对MRONJ风行评估。
患者用药前后应积极处理口腔问题,保持良好口腔卫生习惯,定期至口腔医院进行复查。
患者应了解MRONJ主要症状体征,密切留意,以获得早期诊断和治疗。
有MRONJ相关药物用药史的患者,切勿随意停药,进行口腔诊疗时应咨询内科医生及口腔医生以评估具体方案。参考文献:
[1]Ruggiero SL, Dodson TB, Aghaloo T, et al. American Association of Oral and Maxillofacial Surgeons' Position Paper on Medication-Related Osteonecrosis of the Jaws-2022 Update [J]. J Oral Maxillofac Surg, 2022,80(5):920-943.
[2]Ruggiero SL, Mehrotra B. Bisphosphonate-related osteonecrosis of the jaw: diagnosis, prevention, and management [J]. Annu Rev Med, 2009,60:85-96.
[3]中华医学会骨质疏松和骨矿盐疾病分会. 原发性骨质疏松症诊疗指南(2022) [J]. 中华内分泌代谢杂志, 2023,39(5):377-406.
[4]何悦,陈珩,安金刚,等. 药物相关性颌骨坏死临床诊疗专家共识 [J]. 中国口腔颌面外科杂志, 2023,21(4):313-325.
[5] 白璇,袁鹤,李继遥. 对使用双膦酸盐患者进行规范化口腔治疗的研究进展 [J]. 中华口腔医学杂志, 2020,55(10):783-788.
资料来源于“上海市口腔医院 复旦口腔”微信公众号
继续滑动看下一个轻触阅读原文
宝山疾控向上滑动看下一个原标题:《[合理用药]当骨质疏松遇上口腔疾患,“药”当心!!!》

