7个临床案例证明:干细胞治疗这类致死疾病有巨大潜力
神经系统疾病通常复杂且难以治愈,一直是医学界的重大难题。近年来,干细胞技术的进步为该领域注入了新的活力。
干细胞不仅能够修复和再生受损组织,还能调节人体免疫系统,因此在多种神经系统疾病的治疗中表现出显著优势。这项技术有望成为治疗神经系统疾病的新方法,为患者提供更加有效的治疗途径。
对于人体来说,虽然大多数组织都有一定的自我修复能力,但神经系统却有所不同。由于中枢神经系统(CNS)的再生能力有限,神经系统的损伤往往难以恢复,如多发性硬化症、帕金森病、脊髓损伤或创伤性脑损伤等疾病的治疗难度非常大。因此,神经系统疾病的治疗选择相对较少。
为了解决这个难题,科学家们正致力于开发创新的治疗方法,希望能够提高神经系统损伤类疾病的治疗效果,为患者带来更多的希望和康复的可能性。
近年来,基于干细胞的再生医学正逐渐成为治疗此类疾病的一种极具吸引力的方法。其中,间充质干细胞(MSCs)因其独特特性而成为最受青睐的细胞来源之一。多项研究表明,干细胞治疗神经系统疾病的机制包括通过旁分泌作用提供神经营养和免疫调节,或者通过再生和替换受损细胞来实现治疗效果,有望为这类疾病提供新的治疗选择。
一、全球数亿人受神经系统疾病困扰,因为其难以治愈!
神经系统是人体重要的调控系统之一,负责信息传递、运动控制和各种生理功能的协调。然而,由于遗传因素、环境因素、外伤或其他不确定原因的影响,神经系统疾病的发生给患者及其家庭带来了巨大的痛苦。
神经系统疾病定位诊断模式图神经系统疾病范围广泛,主要包括神经退行性疾病、神经传导障碍和神经炎症等。具体来说,神经系统疾病可分为以下几类:
神经系统血管性疾病:如脑梗死、脑出血和短暂性脑缺血发作。
中枢神经系统感染性疾病:包括脑炎、脑膜炎和脊髓炎等。
神经系统变性疾病:常见的有阿尔茨海默病、帕金森病等。
神经系统外伤:如硬膜下血肿和颅脑挫裂伤等。
肿瘤:既包括原发于神经系统的肿瘤,如胶质瘤,也包括颅内转移瘤。
脱髓鞘性疾病:如多发性硬化和视神经脊髓炎等。
代谢和营养障碍性疾病:如维生素B1缺乏导致的多发性神经病,或维生素B12缺乏引起的亚急性联合变性。
其他:包括中毒和遗传性疾病,如肝豆状核变性等。
虽然这些神经系统疾病的种类各不相同,但它们引起的主要症状大多相似,如意识障碍、运动障碍、语言和言语障碍、认知功能障碍以及情感障碍等。
从病因的角度出发,神经系统疾病可以大致分为三种主要类型:
与特定脑区神经元丢失有关的疾病:如帕金森病(PD)和多发性硬化症(MS)。
由急性损伤引起的神经元丧失疾病:例如中风。
与细胞功能障碍有关的疾病:如癫痫。
大脑异常发展的原因通常是多方面的,包括衰老、环境因素、长期压力、脑外伤和基因突变。例如,淀粉样前体蛋白(APP)、早老素-1和早老素-2的基因突变,或者载脂蛋白E(ApoE)突变,都与神经退行性疾病的发展密切相关。
目前,神经系统疾病已成为现代医学面临的重大挑战之一。由于治疗困难,许多患者在确诊后难以获得有效和标准化的治疗方案,使这些疾病成为全球第二大致死原因,给无数家庭带来了沉重的经济和心理负担。
随着时间的推移,科学界的持续研究不断深化了我们对神经系统疾病的认识,推动了治疗方法的创新。越来越多的研究致力于揭示其发病机制,并寻找新的治疗途径,以提升患者的生活质量。
二、盘点干细胞在治疗神经系统性疾病上的临床应用
在众多治疗方法中,干细胞因其自我更新和多向分化的能力,成为神经再生和修复的理想细胞来源。近年来的临床研究显示,干细胞已成为难治性神经系统疾病的一种非常有希望的治疗方案。
在神经系统疾病的治疗中,干细胞主要通过以下机制发挥作用:
修复损伤:干细胞能够迁移到受损的神经部位,通过细胞替代作用更换已死亡或受损的神经细胞,修复受损的神经网络。
细胞迁移:在体内组织受损后,间充质干细胞(MSCs)能够定向迁移至受损的组织或器官微环境中,维持或重塑其细胞功能。这一过程涉及多种细胞因子和细胞信号通路的参与。
细胞分化:干细胞可以分泌大量神经细胞活性生长因子和营养因子,激活神经细胞,促进新细胞的再生和重建;同时分泌血管生成因子,促进病变部位的血管生成。
免疫调节:干细胞能够抑制T细胞增殖、调节Th2/Th1细胞比例,阻滞B细胞的细胞周期,抑制细胞增殖和抗体产生,从而发挥抗炎的保护作用。
间充质干细胞作为神经系统疾病的多模式治疗迄今为止,已有超过200项应用各种干细胞方法治疗神经系统疾病的临床研究被注册,涵盖的主要疾病有多发性硬化症、中风、帕金森病和脊髓损伤。以下是近年来干细胞在一些常见神经系统疾病中的临床疗效。
1. 干细胞与脑卒中(CVA)
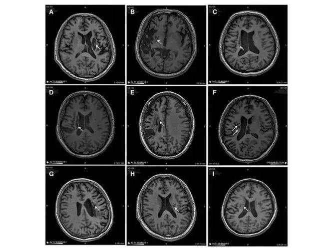
脑卒中会导致神经元损伤。STEM CELL TRANSL MED上的研究表明,干细胞可以再生修复受损的大脑神经元,从而减轻脑卒中患者的后遗症症状:在9名不同年龄的脑卒中偏瘫患者中,应用干细胞移植到脑内梗塞区取得了显著的临床效果。
9例患者的影像学显示病变区域的组织都发生了明显变化影像学显示,移植到脑内梗塞病灶的干细胞通过分化为神经系统的各类细胞,分泌营养因子,促进神经和血管再生,修复受损的血-脑脊液屏障,减轻炎症反应等,促进脑梗死动物的神经功能恢复,使9例临床患者的偏瘫症状得到了显著改善。
在重塑血管和维持脑卒中血流量方面,干细胞利用旁分泌功能发挥了重要作用,分泌血管内皮生长因子(VEGF),促进脑血管新生,重塑血管,恢复内皮完整性,减少通透性,降低细胞凋亡。
研究证实干细胞能重塑血管,维持中风后脑血流量2. 干细胞与阿尔茨海默病(AD)
干细胞也为阿尔茨海默症和帕金森病等神经退行性疾病患者带来了新的治疗选择。
Advanced Science上的一篇文章指出,脐带间充质干细胞(hUC-MSCs)具有修复损伤神经细胞的功能,能够通过HGF-cMet-AKT-GSK3β通路调节tau蛋白磷酸化,显著提高阿尔茨海默病模型动物的学习、记忆和认知能力。
HGF介导临床级人脐带间充质干细胞改善功能恢复在衰老加速的阿尔茨海默氏病小鼠模型中众多临床试验也表明,干细胞移植治疗阿尔兹海默病不仅能够调节脑内炎症性环境,而且促进神经再生和突触链接,有效改善病症,且安全无副作用。
3. 干细胞与帕金森病(PD)
帕金森病是一种进行性的神经系统退行性疾病,主要见于60岁以上人群,其特征在于大脑多个区域的特定脑细胞(神经元)死亡。干细胞疗法在帕金森病治疗上取得了新的突破。
为改善细胞移植后存活率低的问题,哈佛医学院将调节T细胞与iPSC衍生的中脑多巴胺神经元(mDANs)共同移植到动物模型中,结果显示mDANs存活显著提高,且动物行为迅速恢复,为帕金森病治疗提供了新的可能选择。
自体Treg细胞联合细胞移植治疗帕金森病此外,一种针对帕金森病的干细胞疗法也取得了令人鼓舞的成果。2023年8月,拜耳宣布针对帕金森病的干细胞药物BRT-DA01已达到一期实验终点,并为患者带来了令人惊喜的结果。12位受试者分为高剂量组和低剂量组,在接受BRT-DA01疗法一年内均未出现不良事件。
据帕金森病综合评价量表MDS-UPDRS第三部分(运动功能检查)和运动功能状态评估工具Hauser Diary显示:所有受试者的次要探索性临床终点均有改善,其中高剂量组的受试者改善更为明显
据悉,BRT-DA01的二期临床试验正在计划中,预计于2024年上半年开始患者招募。帕金森病患者或将迎来新的治疗希望。
4. 干细胞与肌萎缩性侧索硬化症(ALS)
面对退行性疾病,人类几乎束手无策,但干细胞技术的出现为这些疾病带来了新的希望。肌萎缩侧索硬化症(ALS),俗称“渐冻症”,是一种几乎无法有效治疗的罕见病,但iPSC干细胞技术的出现似乎为其带来了一线生机。
JNeurosci上的研究显示,科学家们利用iPSC技术在渐冻症患者身上发现了一种可能的基因变异,甚至有望成为该病治疗的新靶点,这项研究为渐冻症治疗带来了新的希望。
ALS患者中的SYNGAP1 3'UTR变异通过募集HNRNPK导致异常SYNGAP1剪接和树突棘丢失在另外一项接受MSCs治疗的ALS患者中进行的临床研究表明,与实验动物一样,患者的疾病进展有所减缓。
病例对照研究涉及67名接受沃顿氏胶质干细胞 (WJ-MSCs) 治疗的ALS患者。所有患者均接受了沃顿胶 (WJ)-MSC的3次IT输注。在整个研究人群中,31%的患者观察到疾病进展减缓。对 WJ-MSC治疗的早期反应预测了ALS患者的结果并延长了生存期。
脐带间充质干细胞在肌萎缩性侧索硬化症中的应用:一项原始研究5. 干细胞与多发性硬化症(MS)
多发性硬化症长期以来被称为“不死癌症”,其严重性可见一斑。干细胞作为一种新兴疗法,正逐渐成为患者的新希望。
在一项灵长类动物MS模型中进行的MSC治疗研究中,鞘内输注MSCs能够延缓EAE猴子的神经功能障碍和神经元脱髓鞘。
临床研究表明,IT或IVMSC移植过程是可行的、安全的且患者能够耐受。一些患者显示出临床稳定的迹象或通过扩展的残疾状态量表(EDSS)评估的改善。
在瑞典,对7名MS患者进行了I期临床研究。结果显示,在临床缓解期间接受自体BM-MSCs移植的患者中,有86%的患者残疾状态得到了稳定。输注后一周内检测到外周血中调节性T淋巴细胞比例增加,表明MSCs在MS患者中具有免疫耐受作用。研究还提出对MSC治疗的MS患者的主要结果进行分析,以使用MRI探索组织的微观完整性。
进展性多发性硬化症骨髓间充质基质细胞治疗后的短期和长期临床和免疫随访-一期研究6. 干细胞与脊髓小脑失调症(SCA)
脊髓小脑失调症(SCA)是一种难以治愈的神经退行性疾病。研究采用静脉注射和鞘内注射人脐带间充质干细胞(MSCs)治疗SCA,评估其安全性和可行性。
结果显示,治疗后随访12个月内,无严重移植不良事件发生,并且SCA症状有所减轻。这为人脐带MSCs移植治疗SCA和其他遗传性神经疾病提供了新的策略。
干细胞干预治疗脊髓小脑失调症7. 干细胞与创伤性脑损伤 (TBI)
当头部遭受突然剧烈打击或摇晃时,可能会引发创伤性脑损伤(TBI),其中脑震荡是最常见的一种TBI类型。
由于神经可塑性,干细胞治疗创伤性脑损伤可以刺激神经元,通过在整个生命过程中形成新的神经连接来进行自我重组。这种方法不仅能够生成新细胞,还能增强现有的神经可塑性。
中国神经修复学会(筹备委员会;CANR)和国际神经修复学会(IANR)中国委员会正式发布了《颅脑创伤临床神经修复治疗指南2022版》。该指南明确指出,细胞治疗临床试验被视为中重度颅脑损伤的I级证据,有助于提高基于细胞治疗的神经损伤修复效果,并对推动颅脑损伤的基础和临床研究具有重要的引导作用。
《颅脑创伤临床神经修复治疗指南2022版》此外,国际期刊International Journal of Oral Science的一篇文章详细揭示了干细胞治疗TBI的潜在分子机制,显示其能够减轻神经炎症,修复脑损伤,为TBI及其他神经系统疾病的临床干预提供了新的治疗靶点。
研究证明:SHED-EVs/miR-330-5p通过靶向Ehmt2-H3K9me2介导的CXCL14转录改变小胶质细胞极化,以治疗创伤性脑损伤人类神经系统性疾病种类繁多且多为难以治愈甚至无法治愈的疾病,干细胞具有组织再生和免疫调节等功效,是一种区别于传统医学的创新疗法,通过从人体细胞基因层面解决疾病问题,展现出了在众多疾病治疗上的广阔前景。
随着再生医学技术的不断进步,进展缓慢的难治性和疑难性疾病也迎来了新的突破。干细胞有望为更多神经系统性疾病的治疗带来新的选择。
原标题:《7个临床案例证明:干细胞治疗这类致死疾病有巨大潜力!》

