探案丨反复发热为哪般?这个病因不可忽略
原创 田甜 金文婷等 SIFIC感染视界
作者:田甜 金文婷 马玉燕审阅:胡必杰 潘珏
田甜 中山医院感染病科进修医生 江苏省如东县人民医院感染性疾病科主治医师
一、病史简介
女性,54岁,江苏人,2024-01-23入中山医院感染病科。
主诉:间断发热2月。
现病史
2023-11起 无诱因出现发热,Tmax 39℃,伴干咳、肌肉酸痛。
2023-11-17 当地医院查WBC 6.28X10^9/L,CRP 39.5mg/L,甲型和乙型流感抗原阴性,予以头孢他啶+莫西沙星治疗2天后体温平,后停药。
2023-11-22 出现发热,Tmax 39℃,11-25胸部CT:右肺炎症,予莫西沙星0.4g qd抗感染1周,体温平。
2023-12-16 再次出现发热,Tmax 39.2℃。复查胸部CT:两肺多发结节,予莫西沙星口服热退。12-26 复查WBC 9.8X10^9/L,CRP 32.98mg/L, 甲状腺功能正常。
2024-01-18 出现高热,偶有干咳,当地查WBC 7.78X10^9/L,CRP 37.26mg/L,甲型和乙型流感抗原阴性,予NSAIDs退热后体温平。
2024-01-23 再次发热,Tmax 38.5℃,至我院门诊就诊。为明确发热病因,收入感染病科。病程中,无咳痰咳血胸痛,无尿频尿急,无腹痛腹泻等症状。
既往史:否认有高血压、糖尿病等。
二、入院检查(2024-01-23)
体格检查
T 37.5℃,P 114次/分,R 18次/分,BP 134/73mmHg
神志清,精神尚可,全身浅表淋巴结无明显肿大,两肺未闻及明显干湿啰音。心前区无隆起,心律齐,胸骨左缘第3、4肋间可闻及Ⅳ级全收缩期杂音,腹平软,全腹未及压痛、反跳痛,下肢无水肿。
实验室检查
血常规:WBC 5.87X10^9/L,N 79.2%,Hb 108g/L,Plt 140X10^9/L;
炎症标志物:hsCRP 38.6mg/L,ESR 29mm/H,PCT 0.24ng/ml;
生化:ALT/AST 12/16U/L,Alb 31g/L,SCr 64μmol/L;
心脏标志物:BNP 105pg/ml;
T-SPOT.TB 抗原A/B 1/0(阴性/阳性对照组 0/140);G试验、GM试验、EBV-DNA、CMV-DNA阴性;
肿瘤标志物均阴性;自身抗体:抗核抗体均质1:320;抗核抗体浆纤维1:100,余均阴性;
细胞免疫:CD4/CD8 2.7,CD4 394 cells/uL,CD8 147cells/uL。
辅助检查
心电图:窦性心动过速。
心超:先心:膜部瘤伴室缺(左向右分流),建议经食道心脏超声进一步评估严重程度。
三、临床分析
病史特点:患者中年女性,亚急性病程,主要表现为反复发热,干咳;抗感染后热退,停药后再发,无尿频尿急,无皮疹、关节肿痛,无腹痛腹泻等症状。CRP升高,CT:右肺炎症,两肺多发结节;心超提示先心:膜部瘤伴室缺(左向右分流)。诊断和鉴别诊断考虑如下:
1.感染性疾病:
肺部感染:以反复低热为主要表现的慢性肺部感染性疾病,常见病原体包括结核或非结核分枝杆菌、隐球菌或曲霉、诺卡菌等。该患者病初CT右肺炎症,抗感染后复查CT见两肺多发结节;T-SPOT.TB、G试验、GM试验阴性,病原学阳性提示不多;入院后可复查胸部CT明确病灶变化情况,同时完善痰涂片、痰培养、Xpert.TB、痰mNGS等进一步明确诊断。
感染性心内膜炎:多亚急性起病,常发生于有器质性心脏病患者中。本例患者反复发热,抗感染后可好转,停药后再发,心脏听诊可闻及病理性杂音,心超提示膜部瘤伴室缺(左向右分流),有器质性心脏病,需警惕右心感染性内膜炎肺部播散可能。需进一步完善血培养、血mNGS、经食道心超等明确诊断。
其他感染性疾病:如肺外结核、尿路感染、布氏杆菌病等。目前暂无相关临床表现和实验室检查的提示。
2.非感染性疾病:
风湿性疾病:患者中年女性,反复发热2月,自身抗体1:320,需考虑自身免疫性疾病可能。但无明显皮疹、光敏、脱发、口腔粘膜溃疡、关节痛等表现,抗感染治疗有效,依据不足。
肿瘤性疾病:淋巴瘤是发热待查中最常见的肿瘤性疾病。无痛性、进行性淋巴结肿大和局部肿块为其特征性临床表现,该患者无消瘦、盗汗等全身消耗性症状,查体未见浅表淋巴结、肝脾肿大。肿瘤标记物阴性,无其他部位肿瘤提示。必要时可行PET/CT、胃肠镜、骨髓穿刺活检以明确或排除诊断。
四、进一步检查、诊治过程和治疗反应
2024-01-23 Tmax 39℃,抽血送细菌培养及mNGS。
2024-01-24 血培养:同时4瓶,10.3h报阳,涂片:找见革兰阳性球菌;予以万古霉素1g ivgtt q12h抗感染。
2024-01-24 经食道心脏超声:室缺右室面赘生物形成可能。头颅MRI:脑内散在缺血灶。
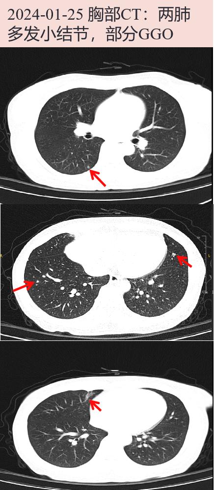
2024-01-25 心外科会诊:建议充分抗感染4周后,评估手术治疗指征。2024-01-25 胸部CT: 两肺多发小结节,部分GGO;右中肺少许慢性炎症。腹盆增强CT: 肝囊肿,右肾囊肿,脾稍大,双肾微小结石可能,膀胱可疑微小结石,子宫密度局部欠均,请结合临床随访。
2024-01-26 血培养菌种鉴定+药敏(01-23采样):金黄色葡萄球菌(CA-MRSA)。加用左氧氟沙星0.5g qd +利福平0.45g qd口服。
2024-01-27 体温平,干咳有好转,无气促、下肢水肿;血mNGS(01-23采样):检出金黄色葡萄球菌核酸序列94条;随访WBC 3.51X10^9/L,N 57.0%,Hb100g/L;炎症标志物:hsCRP 22.0mg/L,ESR 27mm/H,PCT 0.16ng/mL,NT-pro-BNP 235.0pg/mL;较前好转。
2024-01-29 体温平,予以出院,继续左氧氟沙星0.5g qd+利福平0.45g qd口服 ,感染病科及心外科门诊随访。出院后随访
2024-03-25 电话随访:体温平,无咳嗽等,口服左氧氟沙星0.5g qd +利福平0.45g qd至03-13(满6周)停抗感染治疗。03-06当地复查 WBC 3.51X10^9/L,CRP 1mg/L,ESR 10mm/H;血培养阴性;心超:室间隔膜部瘤伴缺损,右室内异常团块考虑赘生物可能,三尖瓣轻度反流。目前未再发热,建议尽早至我院感染病科及心外科门诊评估及确定进一步治疗方案。
体温变化
五、最后诊断与诊断依据最终诊断
感染性心内膜炎(右心):CA-MRSA引起,伴肺部播散可能
先心:室间隔缺损
诊断依据
患者中年女性,亚急性病程,主要表现为反复发热,CRP升高,抗感染有效,但停抗感染后反复;血培养及mNGS检出金黄色葡萄球菌(CA-MRSA),心超:膜部瘤伴室缺(左向右分流),室缺右室面赘生物形成可能,抗感染后体温平,血培养转阴,故诊断成立。
六、经验与体会
本例患者不明原因反复发热,外院查CRP增高,抗感染治疗有效,停药后再发。应积极寻找并明确发病原因。患者入我科后,通过体格检查及心超检查,锁定方向,通过血培养及血mNGS检测,明确诊断。发热待查中,感染性心内膜炎常常容易被忽略。本病如未及时诊断,死亡率高、预后差。当患者表现为原因不明的发热,需将感染性心内膜炎纳入考虑。此外,还应注意牙痛及胃肠道、泌尿道染等提示菌血症来源的局部症状。
本例患者以发热起病,病程2月左右,通过血培养及血mNGS同时检出金黄色葡萄球菌。目前,IE病原学诊断依赖于血培养及赘生物培养。二代基因测序是一种快速、高敏的新兴技术,几乎不受使用抗菌药物的影响,能早期确定病原菌,对治疗具有重要意义。在本例患者的诊治中,血培养起到极其重要的作用,通过迅速及时的药敏结果,能够实现对病原菌的精准治疗。
该患者早期有肺部感染症状,不能排除心脏赘生物脱落引起的肺部感染。但因患者病初胸部CT片无法提供,影响了IE伴肺部播散的临床判断。当然,感染性心内膜炎伴肺部播散,应与原发性肺部感染相鉴别,避免误诊、漏诊。
金黄色葡萄球菌是全球不少地区感染性心内膜炎的重要病原,但若是MRSA,则耐药菌较多,用药较为困难,本例患者在血培养10.3h报阳,提示革兰阳性球菌后,使用万古霉素,使患者体温得到及时控制。再根据培养出CA-MRSA的药敏,降阶梯至口服左氧氟沙星+利福平抗感染,实现精准治疗。患者现未有发热,且复查血培养阴性,治疗效果良好。建议后期可行手术治疗原发病以预防感染复发。
参考文献:
[1] McDonald E G, Aggrey G, Tarık Aslan A, et al. Guidelines for Diagnosis and Management of Infective Endocarditis in Adults: A WikiGuidelines Group Consensus Statement[J]. JAMA Network Open, 2023, 6(7): e2326366.
[2] Fowler V G, Durack D T, Selton-Suty C, et al. The 2023 Duke-International Society for Cardiovascular Infectious Diseases Criteria for Infective Endocarditis: Updating the Modified Duke Criteria[J]. Clinical Infectious Diseases: An Official Publication of the Infectious Diseases Society of America, 2023, 77(4): 518–526.
[3] Haddad S F, DeSimone D C, Chesdachai S, et al. Utility of Metagenomic Next-Generation Sequencing in Infective Endocarditis: A Systematic Review[J]. Antibiotics, 2022, 11(12): 1798.
图文:小小

