填“空”行动 | 南疆首例!BASIS技术让基底动脉闭塞患者起死回生
急性基底动脉闭塞性脑梗死是所有脑梗死中最严重的类型,若未得到及时有效治疗,死亡率超过50%。
近日,喀什地区第二人民医院(简称“喀什二院”)神经内科介入团队应用目前最先进的技术——远端取栓支架保护下的球囊血管成形术(BASIS技术),快速实施取栓治疗,成功救治了一名因动脉粥样硬化狭窄导致基底动脉闭塞而出现昏迷的高龄患者。目前,该患者恢复良好,已出院。
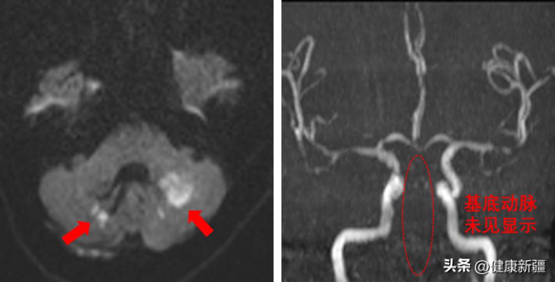
该患者78岁,既往有高血压病史。近日,该患者晨起后突发头晕伴呕吐不适,休息后不适症状不仅未得到缓解,反而逐渐进展加重至四肢瘫痪伴意识丧失,家人随即将患者送至喀什二院急诊。喀什二院神经内科卒中团队快速反应,完善磁共振检查,结果显示颅内多发性急性脑梗死,同时基底动脉未见显影,提示患者为急性基底动脉闭塞引起的脑梗死。
患者CT影像基底动脉是后循环的重要组成部分,由两侧椎动脉汇合而成,负责脑干、丘脑等重要脑区供血,直接负责心跳、呼吸等基本的生命活动。急性基底动脉闭塞是脑卒中最严重的类型,栓塞或动脉粥样硬化狭窄是两大主要病因。栓塞性基底动脉闭塞往往单纯抽吸就可获得成功再通,与此相反,动脉粥样硬化狭窄导致的急性基底动脉闭塞取栓过程更复杂、更耗时,常需要球扩成型和支架植入等补救治疗。
由于患者病情紧急,上海第十一批援疆专家、喀什二院神经内科主任王子高立即带领神经内科介入团队为该患者进行急诊机械取栓手术。王子高结合患者的既往病史、此次病情演变及影像学检查结果,判断该患者的急性基底动脉闭塞是由动脉粥样硬化狭窄引起的。于是,王子高团队果断采用远端取栓支架保护下的球囊血管成形术(BASIS技术)这一先进的取栓方式为该患者进行取栓治疗,快速实现了3级再通。术后次日,患者神志转清,一周后患者恢复独立行走。
“BASIS技术是2022年才发展起来的一项新的取栓技术,尤其适合于颅内动脉粥样硬化狭窄基础上的急性大血管闭塞患者的急诊救治。”王子高表示,此次救治是远端取栓支架保护下的球囊血管成形术(BASIS技术)在南疆地区的首次运用,取得了良好的治疗效果,同时也标志着喀什二院卒中中心的急性脑血管病综合救治能力在不断向国内甚至国际先进水平靠拢。今后,喀什二院神经内科将不断提升诊疗能力,开展更多新技术、新项目,为喀什地区各族患者打造一条“卒中救治高速路”,为各族群众身体健康保驾护航。专家科普
PART/1
颅内动脉粥样硬化性狭窄(intracranial atherosclerotic stenosis,ICAS)是导致我国居民脑梗死或短暂性脑缺血发作的重要病因,占比高达46.6%。合并ICAS的脑梗死患者具有更高的复发率,因此应当引起更高的重视。
哪些原因可能会导致ICAS的形成呢?目前研究证实ICAS的发病和多种因素有关,包括高龄、高血压、糖尿病、高脂血症、吸烟、肥胖等。合并上述危险因素的数量越多,发生ICAS的概率也越大。
可以通过什么方式检查出是否存在ICAS呢?目前常用的检查方法包括两大类,一类是无创的检查,比如磁共振血管成像(MRA)、CT血管成像(CTA),在门诊就可以完成;另一类是有创的检查,即数字减影脑血管造影(DSA),是诊断ICAS的金标准,但需要住院才能进行。
我们普通人群应该如何预防ICAS的发生?如上文所述,ICAS的发病和多种危险因素有关,因此,控制可能导致ICAS发病的高危因素至关重要。包括积极控制高血压、糖尿病和高脂血症。此外,生活方式的调整也很重要,包括低盐低脂饮食、戒烟、体育锻炼、减重等。
对于合并ICAS的患者,除了上述提到的控制高危因素和生活方式的调整,还需要在医生的指导下规律服用预防脑梗死发生或者复发的药物,比如阿司匹林、氯吡格雷、阿托伐他汀、瑞舒服他汀等。
如果ICAS患者在经过上述规律的药物控制和危险因素的控制,仍然出现脑梗死症状的复发,在经过严格的评估基础上,可以考虑进行支架植入术来预防脑梗死的复发加重,但需要在有丰富经验的卒中中心进行。
专家名片
王子高 复旦大学附属华山医院 副主任医师、研究生喀什地区第二人民医院 神经内科主任
专业特长:主要从事脑血管病的介入治疗,擅长急性脑梗死的静脉溶栓、机械取栓,以及脑动脉狭窄的支架植入治疗
科研工作:
目前共主持和参与国家自然科学基金3项,荣获国家发明专利1项,发表SCI及核心期刊论文30余篇
所获荣誉:
2021年及2023年分别被好大夫平台评为“中国青年好大夫”及“中国好大夫”
供稿:喀什二院
原标题:《填“空”行动 | 南疆首例!BASIS技术让基底动脉闭塞患者起死回生》

