中南大学湘雅三医院发现治疗结直肠癌和克服化疗耐药性的新药物
原创 转网 转化医学网
本文为转化医学网原创,转载请注明出处作者:Jerry
导读:凋亡抑制蛋白生存素(survivin)在结直肠癌(CRC)的发生发展和治疗耐受中具有重要的调控作用。然而,针对生存素蛋白的靶向药物极其有限。
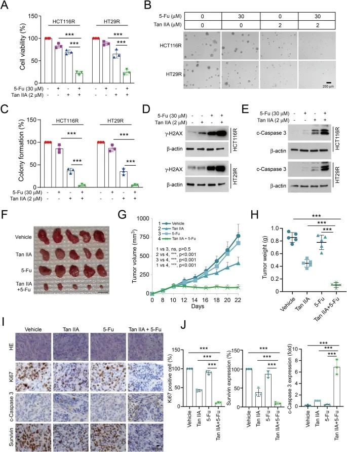
近日,中南大学湘雅三医院研究人员在Nature子刊《Cell Death Discovery》上发表了题为“Targeting survivin with Tanshinone IIA inhibits tumor growth and overcomes chemoresistance in colorectal cancer”的研究论文,该研究中,研究人员发现丹参酮IIA (Tan IIA)通过调节CRC细胞中生存素的表达和磷酸化,在抑制肿瘤发生和逆转5-Fu耐受方面具有双重调节作用。在机制上,Tan IIA抑制Akt/WEE1/CDK1信号通路,导致生存素Thr34磷酸化下调,破坏USP1与生存素的相互作用,促进生存素泛素化和降解。此外,Tan IIA显著促进化疗耐药CRC细胞对5-Fu的敏感性。这些结果表明,Tan IIA对结直肠癌细胞具有较强的抗肿瘤活性,可能成为治疗结直肠癌和克服化疗耐药的潜在药物。
https://www.nature.com/articles/s41420-023-01622-8研究背景
01
结直肠癌(CRC)是最常见的胃肠道恶性肿瘤之一,也是全球癌症相关死亡的第二大原因,预计到2040年将有320万例结直肠癌病例和160万例死亡。结直肠癌的发病是多因素的,包括遗传因素、体重超标、缺乏运动、不健康的生活方式(过量摄入红肉和加工肉、膳食纤维摄入不足、大量饮酒、吸烟)和高龄。近几十年来,由于围手术期管理、新辅助治疗和辅助治疗的进步,结直肠癌患者的预后得到了改善。化疗作为主要的传统治疗方法之一,在晚期结直肠癌患者的治疗中不可缺少。然而,由于获得性耐药,患者最终会出现肿瘤进展,晚期结直肠癌的5年生存率低于10%。因此,进一步阐明结直肠癌化疗耐药的分子机制,寻找使结直肠癌细胞对化疗再敏感的方法具有至关重要的意义。
细胞凋亡是一种受到严格调控的细胞死亡程序,在限制细胞数量和维持组织稳态方面起着至关重要的作用。异常凋亡被广泛认为是肿瘤细胞的获得性特征,涉及肿瘤发生、肿瘤进展和抗肿瘤治疗的耐受性。survivin是凋亡抑制剂(IAP)家族中最小的成员,在调节细胞分裂过程和程序性细胞死亡中起关键作用。它通过与X-linked IAP (XIAP)或乙肝病毒X-相互作用蛋白相互作用来抑制细胞凋亡激活,发挥其抗凋亡作用。Survivin在胚胎和胎儿器官中广泛表达,但在正常成人组织中很少检测到。此外,大量研究表明,survivin在大多数人类恶性肿瘤中,如肺癌、乳腺癌、结直肠癌和多形胶质母细胞瘤中表达高度上调,使癌细胞增加增殖,避免凋亡、肿瘤复发、转移和化疗/放疗耐药。因此,发现针对survivin的抑制剂来促进癌症治疗策略的研究日益受到关注。
近年来,从植物中提取的天然产物因其具有抗细菌、抗炎症、抗病毒、抗肿瘤等优良的生物活性以及良好的耐受性和较低的毒性而备受关注。丹参酮IIA (Tanshinone IIA)是临床上广泛应用的中药丹参干根和根茎的主要亲脂活性成分。Tan IIA因其具有抗氧化、神经元保护、抗炎、抗疲劳、抗肿瘤等多种药理活性而受到研究人员的广泛关注。虽然已有一些研究报道Tan IIA对几种人类肿瘤细胞系具有广泛的抗肿瘤作用,但对其作用机制的研究相对分散,对其对结直肠癌细胞的生物学效应研究较少。本研究重点研究了Tan IIA对CRC细胞的生物活性,阐明了Tan IIA对CRC细胞具有较强的体外和体内抗肿瘤活性,并探讨了其药理作用的机制。
研究发现
02
伊立替康或奥沙利铂联合亚叶酸钙和5-氟尿嘧啶是晚期结直肠癌的一线治疗方案。然而,原发性或获得性化疗耐药仍然具有挑战性。大量研究表明,肿瘤细胞异位生长、肿瘤干细胞、化疗药物靶向位点的改变以及肿瘤凋亡抑制是CRC化疗耐药的主要原因。研究人员发现蛋白酪氨酸激酶6在CRC组织中过表达,并通过激活JAK2/STAT3信号通路促进CRC细胞的干性与化疗耐药相关。研究人员观察到一种具有U2AF同源基序的丝氨酸/苏氨酸激酶,UHMK1,在CRC样本中频繁上调,并通过增强IL-6/STAT3信号通路促进细胞增殖和奥沙利铂耐药性。在目前的研究中,研究发现表明survivin在5-Fu耐药细胞株中表达增加,而survivin的缺失显著地使CRC细胞对5-Fu治疗重新增敏。
Survivin由含有5个IAP重复序列的杆状病毒基因编码, 在肿瘤组织中经常过表达,由于其在抑制细胞凋亡、淋巴结侵袭、转移、肿瘤血管生成、干细胞和化疗耐药等方面的作用,被认为是一个不利的预后标志物。survivin表达和功能的调控是复杂的,存在于不同的水平,包括转录、差异剪接、通过不同配体的细胞内隔离、翻译后修饰和蛋白质降解。PI3K/AKT、JAK/STAT、NF-κB、TGF-β、WNT/β-Catenin、NOTCH、SMAD等信号通路及相关分子已被证实参与了癌细胞中survivin的表达失调。研究人员发现,在胰腺癌细胞中,致癌KRAS通过激活细胞外信号调节激酶1/2 (ERK1/2)上调survivin的表达,从而保护MYC免受降解,促进恶性转化。
随着Survivin生物学功能和调控机制的逐渐明晰,越来越多的新治疗策略致力于下调Survivin的表达,甚至有望提高癌细胞对抗肿瘤药物的敏感性。目前,利用RNA干扰机制,已开发出反义寡核苷酸、核酶、小分子抑制剂、癌症疫苗等来降低survivin的表达。在本研究中,Tan IIA通过下调survivin显著抑制CRC细胞增殖,激活CRC细胞凋亡。机制研究表明,Tan IIA处理后抑制Akt/Wee1/CDK1信号通路,导致survivin Thr34位点磷酸化下调,破坏survivin与USP1的相互作用,最终诱导survivin降解。此外,Tan IIA联合5-Fu治疗可明显恢复5-Fu对化疗耐药CRC细胞的抗肿瘤作用。
Tan IIA克服CRC细胞中的5-Fu耐药性研究意义
03
综上,本研究表明天然化合物Tan IIA在CRC细胞中具有较强的抗肿瘤活性。Tan IIA通过破坏USP1对其蛋白稳定性的保护作用,显著抑制细胞增殖,诱导细胞凋亡活化,并使耐药细胞对5-Fu处理重新致敏。本研究提示Tan IIA可能作为一种有效的抗肿瘤药物诱导结直肠癌细胞中survivin的降解,为survivin抑制剂与传统化疗药物联合治疗结直肠癌患者克服化疗耐药提供了新的途径,旨在改善结直肠癌患者的治疗效果。
参考资料:
https://www.nature.com/articles/s41420-023-01622-8
注:本文旨在介绍医学研究进展,不能作为治疗方案参考。如需获得健康指导,请至正规医院就诊。

