嘴里长痣会发生什么?医生:这种情况可能是癌!
有人说,痣长在越隐秘的地方越招财,网友:“那我长在嘴里的痣……”还有网友:“嘴里也会长痣?”
图源:https://unsplash.com/ 摄影师:Mufid Majnun华西医生说,嘴巴里确实也会长痣,但是平时不痛不痒,一段时间内飞快变大、隆起、溃烂……招不招财不知道,可能会招来“口腔黑色素瘤”。
嘴巴里也会长痣?
数一数我们身上的痣,脸上、胳膊、肚子,还有些人的嘴唇、口腔内部都能找到几颗痣,似乎就没有它长不到的地方,只有我们想不到的地方。
这是因为我们的皮肤,以及口腔、鼻腔、消化道的黏膜,遍布黑色素细胞,它们会不断产生黑色素,当黑色素细胞聚集在一起,就会在皮肤和黏膜上形成色素痣,也就是我们熟知的黑痣,它们大多都是良性的。
嘴巴里的痣
会变成恶性肿瘤?
当色素痣的黑色素细胞变“坏”,就形成了恶性的黑色素瘤。虽然黑色素痣恶变为恶性黑色素瘤的几率是极低的,大概在 1:100 万左右,但一旦发展成黑色素瘤,被发现时基本上都是晚期,病死率非常高。
绝大多数的黑色素瘤都发生在皮肤,只有大约百分之一发生在我们的黏膜组织,但是超过一半发生在黏膜组织中的黑色素瘤出现在口腔黏膜中,尤其是对我们黄种人而言,发生在口腔黏膜的黑色素瘤反而要多于发生于面部皮肤的,因此,在临床中口腔黏膜的恶性黑色素瘤并不罕见。
口腔黑色素瘤长啥样?
相比于脸上、脖子、手臂等发生在皮肤上的黑色素瘤,长在口腔的黏膜黑色素瘤很少被大家注意到,大部分在前期也没有什么不适的症状。
等到发现时,它已“默默地”向深部组织浸润,侵犯深层黏膜以及骨组织,引起牙齿松动,口腔内肿块还会出现溃烂、出血、剧烈疼痛,并且容易发生颈部淋巴结以及全身肿瘤转移,甚至最终危害生命。
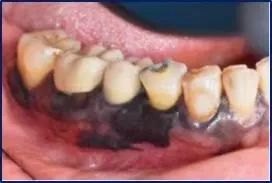
向左滑动查看图片
→
从颜色上看:口腔黑色素瘤表现为明显的蓝黑色结节状肿块。从生长速度看:口腔黑色素瘤生长速度十分迅猛,颜色加深,并向四周扩散生长。
从形态上看:一般表现为斑点或者结节状,表面常溃烂。
从发病位置看:口腔恶性黑色素瘤大多数出现在上牙龈以及硬腭,也有部分病例病变位置出现在颊部、舌部以及唇部。
口腔黑色素瘤能预防吗?
对于口腔黑色素瘤确切的、高危的发病因素,以及有效的预防措施,目前并没有明确的定论。
大部分恶性黑色素瘤来源于口腔的黑斑恶变。不过!口腔内有黑斑的朋友,不用过度担心,因为发病率很低。
但仍建议大家在日常生活中,要注意:
1.避免口腔内长期不良机械刺激,特别是一些人为的不良刺激,比如拿针挑、网上买些三无药水泡,这些不当操作可能会引起正常的痣发生病变。
2.避免口腔内长期慢性炎症,比如牙周炎、口腔溃疡等。
3.当口腔黏膜出现黑斑时,不要恐慌,去医院配合医生进行相关检查,一般建议完整切除,不建议激光或者药物的烧灼。
4.一旦观察到口腔黏膜上的色素痣及黑斑有生长加深,颜色加深,或者溃烂、出血的情况,应尽早就医,及时处理。
最后,有口腔黏膜色素痣及黑斑的朋友,也不要过度焦虑、恐慌,关注变化,不要采用不恰当的方式自己处理。
参考文献
[1] Chang A E , Karnell L H , Menck H R .The National Cancer Data Base report on cutaneous and noncutaneous melanoma: a summary of 84,836 cases from the past decade. The American College of Surgeons Commission on Cancer and the American Cancer Society.[J].Cancer, 2015, 83(8):1664-1678.
[2] 陈述,梅玲蔚.恶性黑色素瘤的靶向药物治疗进展[J].现代医药卫生, 2022, 38(7):5.
[3] 史锋镝高全立.抗PD-1/PD-L1治疗恶性黑色素瘤的免疫相关不良反应的研究进展[J].现代肿瘤医学, 2022, 30(21):4014-4017.
[4] Santourlidis S, Schulz WA, Araúzo-Bravo MJ, et al. Epigenetics in the Diagnosis and Therapy of Malignant Melanoma.[J]. Int J Mol Sci. 2022;23(3):1531.
[5] Guo W , Wan H , Li C .Signal pathways of melanoma and targeted therapy[J]. Signal Transduct Target Ther, 2022(001):007.
[6] 马旭辉. 口腔黏膜恶性黑色素瘤的预后评估与靶向治疗研究[D].上海交通大学,2018.
策划制作
原标题:《嘴里长痣会发生什么?医生:这种情况可能是癌!》

