新冠肺炎:放射学-病理学新认识
原创 赵喜同学 XI区 收录于合集#COVID-19 10 个 #双能量 79 个 #诊断 26 个
长按识别下方二维码关注我
大家好,欢迎大家访问XI区!
本文回顾了新冠肺炎上皮和内皮损伤的放射学和病理学表现,以帮助放射科医生了解疾病的基本性质。新冠肺炎的放射学和病理学表现是由基于病毒毒性和免疫病理效应的上皮和内皮损伤引起的。轻度和可逆性新冠肺炎的病理特征包括非特异性肺炎或机化性肺炎(organizing pneumonia)模式,而潜在致命和不可逆性新冠肺炎的病理特征是弥漫性肺泡损伤,继发纤维化或急性纤维性机化性肺炎(acute fibrinous organizing pneumonia)。这些在新冠肺炎中观察到的上皮损伤的病理反应并非SARS-CoV-2特有,而是对病毒性肺炎的普遍反应。与其他类型的病毒性肺炎相比,新冠肺炎的内皮细胞损伤是一个显著特征,包括不同程度的各种血管异常,包括肺血栓栓塞、血管充血、外周血管减少、血管树芽(vascular tree-in-bud)模式和肺灌注异常。胸部CT采用不同的成像技术(如CT定量、双能CT灌注)可以充分捕捉上皮和内皮损伤的各种表现。因此,CT可以帮助确定预后并识别有恶化风险的患者。
介 绍
截至2023年5月3日,新冠肺炎疫情已在全球范围内传播,导致至少7.65亿确诊病例和690万全球死亡。自从新冠肺炎疫苗的迅速开发和使用以来,世界上71%的人口已经接受了至少一剂疫苗。然而,即使是完全接种疫苗的个人,也可能发生疫苗突破性感染,即在完成初级疫苗接种系列后至少14天感染 SARS-CoV-2,因为完全接种疫苗对预防疾病并非100%有效。尽管如此,即使出现突破性感染,完全接种疫苗的人的病程和并发症也不那么严重。由于SARS-CoV-2在病毒复制过程中的基因变异,在整个疫情期间,世界各地都报告了SARS-CoV-2的几种变异株,其传播性和治疗和疫苗的逃避性增加(如德尔塔变异株和奥密克戎变异株)。幸运的是,最新引起关注的奥密克戎变异株主要累及近端气道,毒性较小,因此住院率、重症监护病房入院率和死亡率较低。
胸部影像学检查在缩小鉴别诊断范围、检测并发症和潜在预测新冠肺炎患者方面发挥着重要作用。自疫情发生以来,放射科医生通过确定新冠肺炎的CT表现,对新冠肺炎作出了迅速反应,包括有或无增强的磨玻璃样变(GGO),有小叶内线的GGO(即疯狂铺路(crazy paving)外观),以及外周和双侧分布的反晕征(reverse halo sign)或其他机化性肺炎表现。这些典型调查结果被纳入标准化报告系统,如RSNA分类和新冠肺炎报告和数据系统(CO-RADS)。新冠肺炎的典型CT表现可能与鉴别诊断的CT表现重叠(即隐源性机化性肺炎或流感性肺炎),指南建议不要将 CT 扫描用于 新冠肺炎的一线诊断。尽管如此,胸部CT有助于处理仅基于PCR测试诊断具有挑战性的病例。胸部影像学检查还有助于检测新冠肺炎相关并发症,如肺血栓栓塞症、新冠肺炎以外的并发肺炎和心力衰竭,尤其是当新冠肺炎患者的临床症状或体征突然恶化时。此外,胸片和CT对肺炎程度和特征的评估可用于新冠肺炎患者的预后。
本文旨在综述新冠肺炎上皮和内皮损伤的病理学表现与SARS-CoV-2感染的相应放射学发现之间的关系。
新冠肺炎的两种不同病程取决于病毒损伤和免疫反应
尽管新冠肺炎患者的临床病程不同,且这种差异的机制尚未完全了解,但他们主要可分为两个不同的病程。大约70%-80%的新冠肺炎患者症状轻微,预后良好,并且在胸部影像学检查中主要为磨玻璃样变。其他20%-30%的患者患有中重度新冠肺炎,有发展为急性呼吸窘迫综合征(ARDS)的风险。这些患者在胸部影像学检查时可能出现呼吸困难、广泛GGO和实变的症状和体征。虽然我们将新冠肺炎分为这两种病程,但它们之间可能有相当大的重叠,最初表现为轻度的新冠肺炎可能会发展为严重疾病。出现不良结果(如ARDS和死亡)的风险因素包括年龄较大、男性、当前吸烟、高体重指数(>25kg/m2)、合并症(如高血压和糖尿病)、呼吸窘迫症状或体征、叠加细菌感染、存在放射学检查异常,实验室检测结果异常(如白细胞计数下降,乳酸脱氢酶、直接胆红素、C反应蛋白和d-二聚体水平升高)。
尽管SARS-CoV-2的直接细胞毒性会引发肺实质损伤,但病毒引发的免疫反应也是这两种不同病程的原因。换言之,尽管在受损的肺组织中发现了SARS-CoV-2,但病毒损伤本身无法解释病毒的存在(如病毒RNA或蛋白质所示)与肺损伤之间的时间和空间脱节,也不能解释抗炎治疗(如皮质类固醇和白细胞介素6阻断)对死亡率的益处。事实上,几项尸检研究报告,严重新冠肺炎死亡患者的病毒增殖或复制很少,同时活跃的炎症反应失调,表明尽管病毒得到控制,但在重症新冠肺炎期间免疫反应和肺损伤仍在持续进展。
总之,感染SARS-CoV-2个体的不同临床表现不仅是由病毒的直接毒性引起,更重要的是由病毒引发的免疫病理学效应引起。
急性肺损伤肺间充质反应的病理生理特征
急性损伤的病理生理肺实质反应在包括SARS-CoV-2在内的多种损伤原因中相似。组织是对肺部损伤的常见一般反应,其病理特征是肺泡壁中肺泡血管屏障损伤引起的成纤维细胞增殖。基底膜(basement membrane)是肺泡血管屏障的正式术语,是一层与肺泡上皮和毛细血管内皮细胞融合的特殊细胞外基质薄层。它具有屏障、区隔、选择性过滤和各种生长因子和细胞因子储库的功能。肺组织是由富含蛋白质的渗出物通过基底膜渗漏到肺泡间隙开始,随后成纤维细胞从间质迁移,成纤维细胞分化为肌成纤维细胞,并形成有组织的成纤维细胞组织和纤维组织(图1,表)。
图1:新冠肺炎组织病理学检查结果示意图。新冠肺炎的组织病理学特征包括上皮、内皮和气道损伤。对于上皮损伤,轻度和可逆损伤的患者在组织病理学上表现为非特异性肺炎和机化性肺炎模式,这与周围或支气管血管周围磨玻璃样变(GGO)和小面积实变的放射学机化性肺炎类型一致。在患有潜在致命和不可逆损伤的患者中,急性纤维蛋白机化性肺炎和弥漫性肺泡损伤是主要的组织病理学特征,放射学表现为GGO(渗出期弥漫性肺泡损害)和实变(增殖期至纤维化期弥漫性肺泡损伤或急性纤维蛋白机化性肺炎)。新冠肺炎患者的内皮损伤包括肺血栓栓塞、血管充血、周围血管减少、血管树芽模式和灌注异常。闭塞性支气管炎也是一种呼吸道损伤。表 新冠肺炎患者上皮、内皮和气道损伤的主要临床、放射学和病理学特征
损伤类型和临床特征
放射学特征
病理学特征
上皮损伤
轻度和可逆病程
CT检查时的机化性肺炎模式:(a)外周和血管周围分布的GGO和小面积实变,以及(b)具有间质增厚(即疯狂铺路外观)、小叶周围不透明或反晕征的GGO
无肺泡血管基底膜破坏的非特异性支气管肺炎或机化性肺炎
严重且不可逆转的病程,称为急性呼吸窘迫综合征
CT检查的弥漫性肺泡损伤或急性纤维蛋白机化性肺炎模式:(a)各种弥漫性肺泡损害模式,包括渗出期、增殖期和纤维化期;(b)在弥漫性肺泡损伤的渗出期和较不常见的增殖期报告GGO;(c) 在弥漫性肺泡损伤和急性纤维蛋白机化性肺炎的增殖期和纤维化期更常见的实变;(d)在弥漫性肺泡损伤和急性纤维蛋白和组织性肺炎的增殖期和纤维化期,肺坠积部分明显的实变和GGO,次级小叶保留,以及纤维化(网状、牵引性支气管扩张和体积减少)
弥漫性肺泡损伤或急性纤维蛋白和组织性肺炎,伴有肺泡血管基底膜破坏;常见的并发症包括伴有或不伴有血栓形成的血管损伤、毛细血管扩张和充血、间质水肿和支气管肺炎
内皮损伤
肺血栓栓塞
外周和中心肺血管均受影响;无深静脉血栓形成的原位形成肺血栓栓塞
SARS-CoV-2引起的凝血酶原凝血异常
血管充血
5 mm2或更大的扩张或弯曲的节段和亚节段肺血管;充血的血管通常通过GGO
血管壁的炎症损伤和水肿,因生理性缺氧性血管收缩失败而导致相应肺血管血流量增加的充血,或SARS-CoV-2受影响微血管附近的继发性血管扩张
肺外周血管减少
小于5 mm2肺血管血容量减少
微循环中断,血管收缩失调导致血管阻力增加,或微血栓或组织损伤导致血管闭塞
血管树芽模式
具有分支不透明的小叶中心结节(作为一种延伸到气道的感染性疾病)
微血栓形成和纤溶能力下降引起的外周肺血管突出
肺灌注异常
各种形状(楔形、斑点或混合型)和模式(肺阴影区缺血或阴影周围充血)的灌注异常
缺氧性血管收缩、微血栓或毛细血管减少
气道损伤
新冠肺炎支气管扩张症急性后遗症、支气管壁增厚和空气潴留
闭塞性支气管炎
肺泡血管基底膜的完整性对于确定损伤的肺实质是否已重塑为正常结构或被纤维组织取代至关重要(图2)。如果基底膜完好无损,受伤的肺组织在去除成纤维细胞的同时进行再上皮化和再内皮化,最终恢复正常的肺结构。相反,如果基底膜被破坏,塌陷的肺泡会引发持续的成纤维细胞活化。这种现象加强了组织成纤维细胞组织的形成,细胞外基质积累,导致纤维化的建立。这些连续的病理性肺实质反应以急性肺损伤为代表,根据急性至亚急性损伤和急性肺损伤程度之间的时间差异,可以显示弥漫性肺泡损伤、急性纤维蛋白和机化性肺炎以及机化性肺炎的组织学谱。
图2:新冠肺炎急性肺损伤的肺实质反应图。(A)当SARS-CoV-2传播给宿主时,它会感染肺实质中的II型肺泡上皮细胞,然后是单核细胞募集、细胞因子释放、肺细胞凋亡和巨噬细胞募集。(B)如果肺泡血管基底膜完好无损,受伤的肺组织在去除成纤维细胞的同时进行再上皮化和再内皮化,最终恢复正常的肺结构。(C)相反,如果基底膜被破坏,持续的成纤维细胞活化会继续形成有组织的成纤维组织,并积累细胞外基质,从而导致纤维化的建立。通常,弥漫性肺泡损伤是与ARDS相关的急性肺损伤中最严重的放射学和组织病理学类型。它是由肺泡血管基底膜损伤和破坏引起,导致液体和渗出物迁移。弥漫性肺泡损伤由三个组织病理学阶段组成:急性期(渗出期;1周内),肺泡内透明膜形成和水肿,以及肺泡壁增厚,放射学表现为弥漫性GGO和前后位密度梯度的实变;亚急性期(增殖期;1周后),其特征是纤维蛋白的微观组织,随后是成纤维细胞的迁移、松散胶原的增殖和分泌,以及透明膜掺入到空隙、肺泡管和肺泡壁中的纤维组织中;以及慢性期(纤维化期;数周至数月后),通过间质纤维化进行结构重塑。坠积性占主导地位的GGO和实变,代表肺组织和肺泡塌陷和纤维化变化,包括网状和牵引性支气管扩张,在亚急性和慢性阶段发展。急性纤维蛋白机化性肺炎是急性肺损伤的一种独特的组织病理学模式,从弥漫性肺泡损伤到机化性肺炎。反映这一点的是,急性纤维蛋白机化性肺炎的放射学谱与其相应的临床病程一致:急性暴发性临床病程中的弥漫性肺泡损伤模式和亚急性惰性病程中的机化性肺炎模式。其特征是肺泡内纤维蛋白沉积形成纤维蛋白球斑块,并通过纤维蛋白聚集体的成纤维细胞迁移和胶原分泌组织肺炎,没有典型的透明膜和嗜酸性粒细胞增多症。然而,在临床病程、放射学和病理学表现方面,急性纤维蛋白机化性肺炎与弥漫性肺泡损伤或机化性肺炎之间存在大量重叠。机化性肺炎在肺泡管和远端空腔有一簇肥大的成纤维细胞和胶原组织。机化性肺炎主要表现为外周或支气管血管周围GGO和实变,伴有反晕或小叶周围阴影,通常从一个薄壁组织转移到另一个薄壁细胞。
轻度型新冠肺炎的放射学和病理学相关性
当SARS-CoV-2传播给宿主时,病毒优先通过血管紧张素转换酶II受体感染II型肺泡上皮细胞,已知该受体是病毒的主要入口。之后,单核细胞释放细胞因子,诱导肺细胞凋亡并募集巨噬细胞。募集的巨噬细胞增加毛细血管通透性,随后中性粒细胞在间质和肺泡间隙募集和聚集。通过一系列的炎症级联反应,血液中的各种蛋白质迁移到间质和肺泡间隙,引起间质和肺泡水肿。
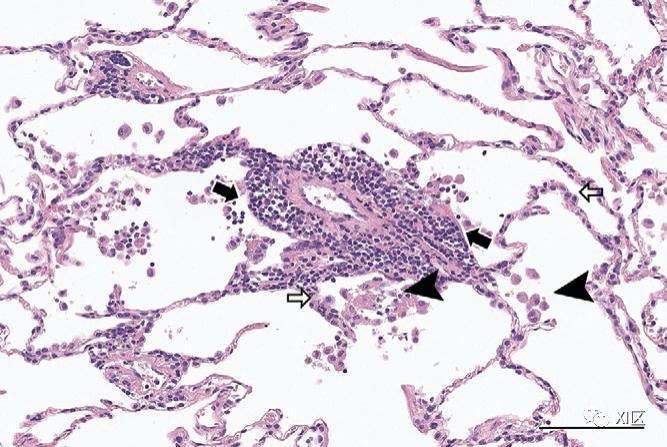
在大多数情况下,轻度新冠肺炎患者的病程是可逆的,不会发展为ARDS。因此,先前描述的炎症过程不会继续并破坏肺泡血管基底膜。相反,早期新冠肺炎的组织病理学结果通常表现为非特异性肺炎或机化性肺炎模式(图3):II型肺细胞增生、间质炎症、蛋白渗出的肺泡内水肿和最终组织(ultimate organization),但无纤维蛋白或透明膜,仅有少量纤维化。渗漏的炎性细胞和纤维蛋白的沉积可以短暂形成肺泡内组织成纤维细胞组织,但最终通过上皮细胞增殖得到解决和重塑。
图3:一例53岁男性早期轻度新冠肺炎偶然组织病理学发现的代表性病例。该患者因肺腺癌接受了右上叶切除术和纵隔淋巴结清扫术。术后一周,患者出现高烧和咽喉痛,经实时PCR检测证实患有COVID-19。提取的右上叶标本经苏木精和伊红染色后显示出潜在的早期新冠肺炎组织病理学发现:肺泡壁局部扩张伴炎性细胞浸润(黑色箭头),II型肺细胞增生(白色箭头),以及空腔中的一些肺泡巨噬细胞(箭头)(标尺:100μm)。患者病情好转,出院后无临床或放射学恶化。根据这些组织病理学发现,与机化性肺炎相一致的CT模式是轻度新冠肺炎患者的主要特征(图4)。事实上,高达50%-70%的轻度新冠肺炎患者经常报告有外周或支气管血管周围分布的GGO和小面积的实变,代表了CT上的机化性肺炎模式。当然,肺实质纤维化可能表现为机化性肺炎的CT表现之一,如小叶周围增厚、牵引性支气管扩张或局灶性体积减少。其他报道的轻度新冠肺炎患者的CT特征包括GGO伴间质增厚(即疯狂铺路征外观)、小叶周围GGO和反晕征。轻度新冠肺炎的这些CT特征相对难以与隐源性机化肺炎或继发性机化性肺炎模式与其他原因区分开来,例如流感肺炎,提醒我们机化肺炎模式并非新冠肺炎特有,而是对肺损伤的一般反应。
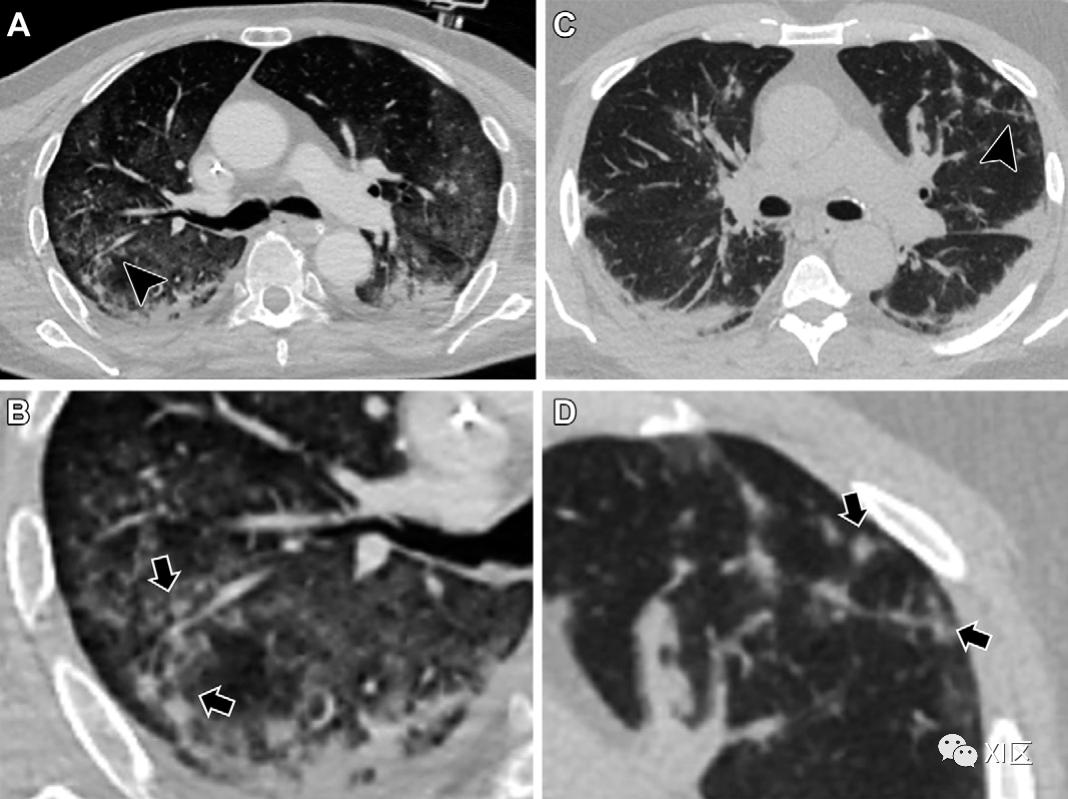
图4:与机化性肺炎相似的轻度和缓解性新冠肺炎的典型CT图像。(A–C)一名患有轻度和可逆性新冠肺炎的65岁男性患者的轴位CT平扫图像显示,周围和小叶周围分布着GGO(虚线轮廓)和反晕征(箭头),以及血管充血(箭头)。中重度进展期新冠肺炎的放射学-病理学相关性
在中重度新冠肺炎中,炎症级联破坏了肺泡-血管基底膜,使患者面临进展为ARDS的风险。在病理检查中,潜在致命性新冠肺炎患者最常报告渗出期弥漫性肺泡损伤(高达88%),其次是增殖期至纤维期弥漫性肺损伤和急性纤维机化性肺炎。然而,弥漫性肺泡损伤的高比例并不仅限于致命的新冠肺炎,在严重急性呼吸综合征和H1N1流感中也观察到了类似的比例。严重新冠肺炎患者渗出期弥漫性肺泡损伤的特征是血浆中的纤维蛋白聚合形成透明膜,纤维蛋白聚合渗入间质和肺泡腔内,伴有肺泡水肿、红细胞外渗和肺泡内炎性细胞浸润(如中性粒细胞)。弥漫性肺泡损伤的增殖期和纤维化期由强烈的成纤维细胞和肌成纤维细胞募集和增殖以及随后的细胞外基质沉积组成,导致实质重塑(Parenchymal Remodeling)和肺纤维化。这些晚期的其他特征包括肺细胞鳞状化生、多核巨细胞的存在和小肺动脉(直径1-2 mm)血栓形成,稍后将讨论新冠肺炎的内皮损伤。前面提到的病理异常主要基于有限数量的死亡病例的尸检标本,可能并不代表严重新冠肺炎的全谱,尤其是在机化性肺炎、急性纤维机化性肺炎和弥漫性肺泡损伤等不同异常情况下,同一患者中存在除新冠肺炎以外的重叠感染。
即使在中重度病程的患者中,GGO和实变也是新冠肺炎的主要CT表现。然而,与轻度新冠肺炎的GGO病理结果和实变不同,弥漫性肺泡损伤或伴有或不伴有血管损伤和血栓形成的急性纤维蛋白机化性肺炎是重度新冠肺炎的主要组织病理学表现(图5,6)。例如,GGO更常见于渗出期弥漫性肺泡损伤,而实变更常见于增殖期至纤维化期弥漫性肺泡损伤或急性纤维蛋白机化性肺炎。此外,肺坠积部分明显的GGO和实变,次级小叶保留,以及纤维化的表现(如网状、牵引性支气管扩张和体积减少)是增殖期和纤维化期的特征性CT表现。除了弥漫性肺泡损伤和急性纤维蛋白机化性肺炎外,伴有或不伴有血栓形成、毛细血管扩张和充血、间质水肿和支气管肺炎的血管损伤也会导致广泛实变。
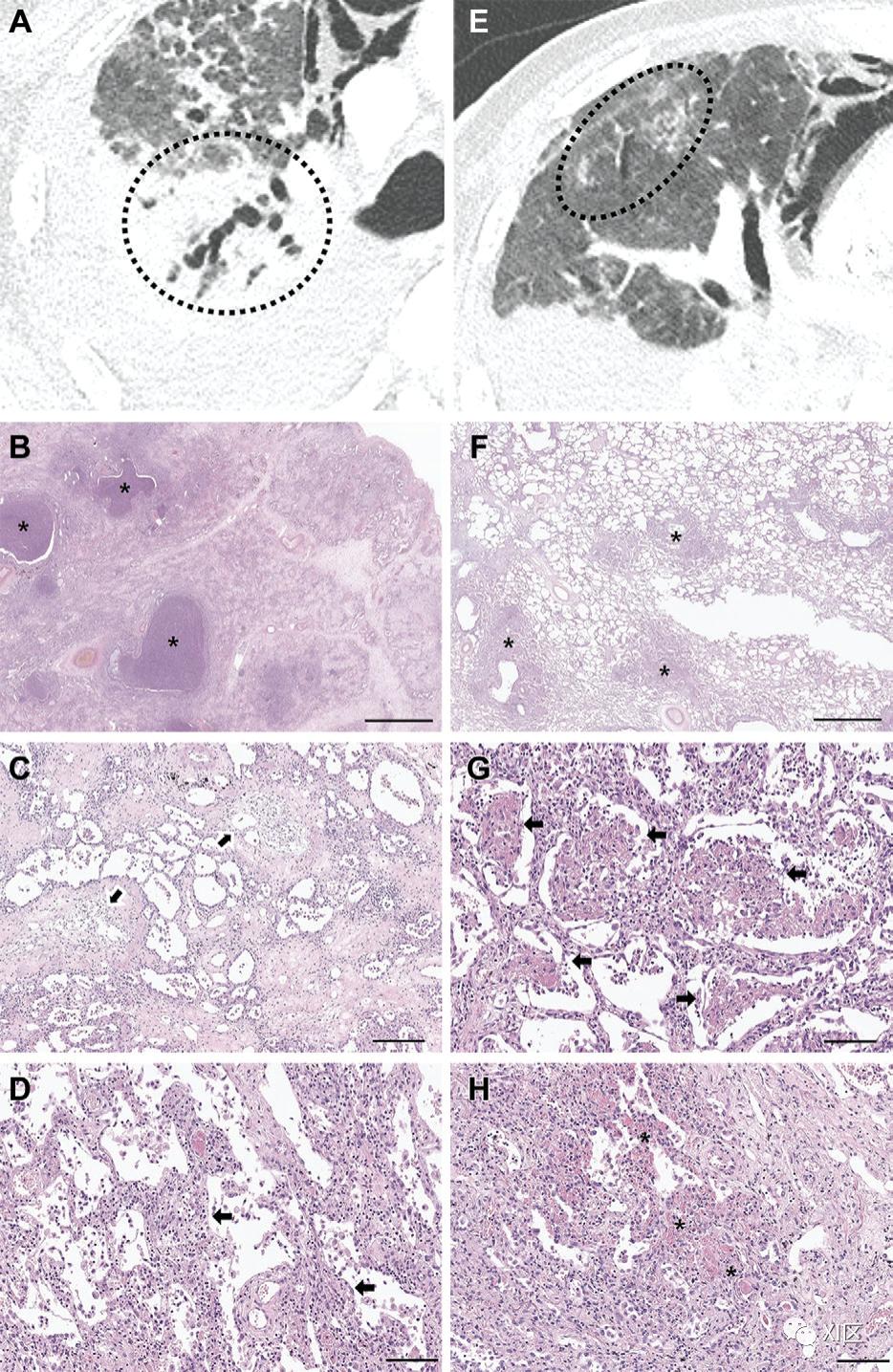
图5:一名62岁女性因急性呼吸窘迫综合征需要肺移植,其出现严重和致命的新冠肺炎的放射学和组织病理学表现。标本用苏木精和伊红染色。(A)轴位术前胸部增强CT图像显示右上叶胸膜下实变(虚线轮廓)。(B)在右上叶提取标本的扫描图上,观察到弥漫性纤维化肺实质(*)伴扭曲的细支气管(箭头)(比例尺:2mm;放大倍数:×4)。(C)放大(×10)后,观察到破坏的肺实质,伴有微观蜂窝状变化(*)、成纤维细胞增殖和一些炎症细胞浸润(箭头),与弥漫性肺泡损伤的增殖期至纤维化期一致(比例尺:200μm)。(D)中等大小的血管中有早期组织的纤维蛋白血栓(*)(比例尺:100μm;放大倍数:×20)。(E)轴位术前胸部增强CT图像显示右上叶胸膜下GGO(虚线轮廓)。(F) 右上叶提取标本的低倍视图显示了弥漫性肺泡损伤的渗出期,伴有轻度不规则的间质增厚(箭头)(比例尺:2 mm;放大倍数:×4)。(G)高功率场图像显示肺细胞的局灶性剥脱和反应性增生、间质水肿和炎性细胞浸润,与弥漫性肺泡损伤的渗出至增殖期一致(箭头)(比例尺:100μm;放大倍数:×20)。(H)肺小血管和毛细血管中有几种微血栓(箭头)和充血(比例尺:100μm;放大倍数:×20)。
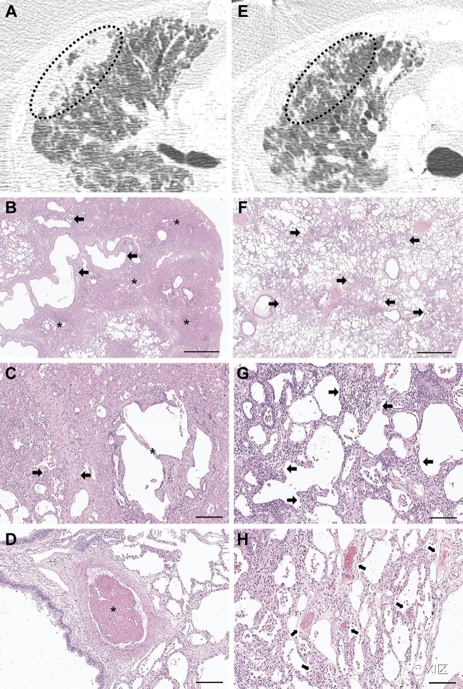
图6:另一例严重新冠肺炎临床表现为急性呼吸窘迫综合征的66岁男性患者接受双侧肺移植。标本用苏木精和伊红染色。(A)轴位术前胸部增强CT图像显示右中叶实变和支气管扩张(虚线轮廓)。(B)在扫描图上,观察到由于中性粒细胞脓肿(*)引起的弥漫性胸膜下、间质纤维化和细支气管内阻塞(比例尺:2 mm;放大倍数:×4)。(C,D)放大(C中的×10和D中的×20),观察到破坏的肺泡壁伴纤维化和II型肺细胞增生,还观察到成纤维细胞和肌成纤维细胞的小增殖灶(箭头),与弥漫性肺泡损伤的增殖至纤维化相一致(比例尺:C中200μm,D中100μm)。(E)轴位增强CT图像显示右中叶胸膜下磨玻璃样变(虚线轮廓)。(F)低功率视图显示弥漫性肺泡损伤的渗出期,伴有多灶性机化性肺炎(*)(比例尺:2 mm;放大倍数:×4)。(G,H)高功率场图像显示了急性纤维蛋白性和机化性肺炎的典型特征:肺泡内纤维蛋白填充肺泡间隙(箭头),间质中淋巴浆细胞浸润,以及II型肺细胞增生。在出血的肺小血管和毛细血管中也观察到一些微血栓(*)(比例尺:100μm;放大倍数:×20)。新冠肺炎患者肺上皮损伤概述
新冠肺炎的肺上皮损伤是SARS-CoV-2的直接毒性和取决于宿主对病毒的敏感性的免疫反应引起。肺泡-血管基底膜完整性是关键决定因素,新冠肺炎的组织病理学表现具有多样性,包括非特异性炎症、机化性肺炎、急性纤维蛋白机化性肺炎和作为肺损伤一般机制的弥漫性肺泡损伤。轻度和可逆性新冠肺炎在病理上表现为非特异性肺炎,在放射学上表现为主要的GGO,小面积实变,类似于机化性肺炎模式。相反,潜在致命和不可逆的新冠肺炎在病理上对应于弥漫性肺泡损伤或急性纤维蛋白机化性肺炎,伴有或不伴有血管异常,放射学表现为广泛的GGO和实变。同样,新冠肺炎的这两个临床病程之间的放射学和病理学检查结果可能重叠,并且并非相互排斥。
新冠肺炎患者的内皮损伤
SARS-CoV-2引起的上皮损伤的组织病理学结果被认为与其他原因(如流感)的结果无法区分。越来越多的证据表明,肺血管内皮损伤与早期疾病过程中的上皮损伤一起发生,是新冠肺炎的一个非特异性但显著的特征(图1,表)。内皮损伤是了解新冠肺炎临床病程、ARDS发病机制和新冠肺炎多器官衰竭的关键因素。事实上,一些研究报告了严重的新冠肺炎患者伴有低氧血症,但肺顺应性保持不变,这表明存在另一个过程,而不是肺泡损伤,内皮损伤是这类低氧血症的关注中心。新冠肺炎中的内皮细胞损伤可发生在任何大小的血管中,从毛细血管到大血管,表现为内皮炎、血栓栓塞、肺梗死、血管周围炎症或受损内皮细胞引起的肺泡内纤维蛋白沉积。例如,文献中的研究报告称,新冠肺炎病理标本中肺泡毛细血管微血栓的发生率为57%,静脉血栓栓塞的发生率是12.8%–23.9%,包括7.1%–16.5%的肺血栓栓塞和11.2%–14.8%的深静脉血栓栓塞,在重症监护室中,静脉血栓栓塞症的发病率尤其增加到22.7%-30.4%(包括肺血栓栓塞症13.7%-24.7%)。
新冠肺炎患者内皮细胞损伤的病理特征
与上皮损伤一样,对于可能致命的新冠肺炎的内皮损伤,提出了两个假设:直接病毒性细胞损伤和间接免疫介导损伤。直接内皮感染和随后的损伤会诱导内皮通透性和促凝血因子(如纤溶酶原激活剂抑制物1)或血管内皮生长因子的分泌,导致ARDS和血栓并发症,以及血管生成。然而,几项研究指出,血管紧张素转换酶II受体(主要的SARS-CoV-2细胞表面受体)在内皮细胞中没有显著表达,内皮对SARS-CoV-2感染具有高度抵抗力。相反,已经假设了一种间接机制,包括内皮的抗血栓特性受损和过度炎症的自我放大循环激活循环凝血酶原因子。更具体地说,呼吸道上皮细胞的病毒感染抑制干扰素信号通路(如I/III型干扰素),降低病毒清除率;然后,持续的高血病毒载量上调细胞因子和趋化因子(如白细胞介素6和肿瘤坏死因子α)的产生,并激活补体系统。这些机制诱导内皮功能障碍和损伤,持续的血小板聚集和活化,血管收缩和内皮屏障破坏,最终导致肺血管炎症、血栓形成和迁移到肺泡间隙。
新冠肺炎患者内皮损伤的放射学表现
新冠肺炎中的明显血管异常可在放射学上表现为肺血栓栓塞、血管充血、外周肺血管减少、血管树芽模式和肺灌注异常。
肺血栓栓塞
肺血栓栓塞是新冠肺炎患者血栓前凝血异常的主要表现,导致发病率和死亡率增加(图7)。一项荟萃分析表明,肺血栓栓塞症和深静脉血栓形成的合并发病率分别高达16.5%和14.8%。更严重的疾病,如危重状态或进入重症监护室,与更高的肺血栓栓塞发病率相关。有趣的是,只有42%的肺血栓栓塞患者有深静脉血栓形成,肺血栓栓塞更常见于外周动脉,而不是中心动脉(40%)。这些发现表明肺血栓栓塞是原位形成的,不同于肺血栓栓塞和深静脉血栓形成之间传统的不可分割的关系。
图7:一名78岁新冠肺炎患者肺血栓栓塞症的典型CT图像。(A–C)轴位增强CT图像显示左下叶远端和左上叶舌段肺动脉(箭头)存在肺血栓栓塞。(D)轴位增强肺窗CT图像显示双侧外周分布的磨玻璃样变和实变。肺血管充盈
一些研究人员一直报告称,新冠肺炎大流行早期肺血管充血,新冠肺炎患者的患病率为69%(图4)。血管充血(扩张或弯曲的形态学特征)通常在5 mm2或更大的节段和亚节段肺动脉或小动脉中观察到。充血的血管通常穿过外周GGO或围绕其周围,并被认为反映了肺泡间隔毛细血管充血,其原因是血管通透性增加,随后肺间质水肿。假设血管充血在病理上可归因于促炎因素引起的血管壁损伤和水肿,以及相应肺血管血流量增加引起的充血。这些血管变化可以反映由于微血管血栓形成导致的SARS-CoV-2受影响微血管附近的功能失调和弥漫性炎症或继发性血管扩张(即充血)引起的生理性缺氧性血管收缩的失败。在临床方面,肺血管充血的新冠肺炎患者住院和通气时间更长。
肺外周血管减少
根据之前通过Hounsfield单位阈值或基于深度学习的方法使用自动肺血管分割的研究,新冠肺炎患者小于5 mm2(即BV5;对应于1.25 mm的直径)的血管中的肺血容量(BV)减少,而5–10 mm2(即BV5–10)和大于10 mm2(BV10)的血管体积增加(图8)。外周小血管的减少被认为是由病毒诱导的微循环破坏、血管收缩失调导致的血管阻力增加或微血栓或组织损伤导致的血管闭塞引起。就新冠肺炎患者的预后而言,BV5%(BV5占总BV的比例)是预测新冠肺炎患者不良结局(插管或死亡)的预后因素。在最近的一项研究中,奥密克戎变异株的BV5%高于德尔塔变异株,这表明奥密克戎变异株对肺血管的影响较小。虽然新冠肺炎患者的BV5下降幅度大于常规ARDS患者和健康人,但这并不是新冠肺炎的独有特征,在其他疾病中也可以观察到,包括流感肺炎、特发性肺纤维化、慢性阻塞性肺病和哮喘。与这一概念一致,新冠肺炎患者的舌下血管密度(sublingual vascular density,代表内脏微血管)显著降低了90%,而危重患者仅限于微毛细血管(直径4-6μm)。
图8:两名年龄相仿的老年患者的不同外周肺血管和病程。蓝色血管的横截面积为5mm2或更大,而黄色血管的横截面面积小于5mm2。(A,B)一名患有高血压的80岁男性的代表性三维图像显示,下叶为主的肺炎(红色;肺炎体积,3.9%)和肺血管中横截面积小于5 mm2的血容量(BV)相对于总肺BV的保留百分比(51.3%)。(C, D)一名患有高血压和糖尿病的 79 岁男性的代表性三维图像显示较大的下叶为主的肺炎(红色;肺炎体积,28.4%)和肺血管中横截面积小于5 mm2的血容量交叉- 相对于总肺 BV (31.8%)。后者死于新冠肺炎,而前者痊愈。血管树芽模式(Vascular Tree-in-Bud Pattern)
CT中的血管树芽模式通常用于描述沿气道延伸的感染状况,在RSNA分类中被认为是非典型的CT表现。尽管一些研究报告了肿瘤血栓形成的这种模式,Patel等人首次将严重新冠肺炎的血管树芽模式作为特征模式(图9)。新冠肺炎高凝性血管病加重的外周肺血管,纤溶能力降低,并导致微血栓形成,假设在CT上表现为血管树芽模式。然而,直接的放射学病理匹配仍然没有得到充分的探索。有趣的是,该CT发现与新冠肺炎患者更长的通气时间和住院时间相关,突出了其预后价值。
图9:新冠肺炎患者血管树芽模式的典型轴位增强CT图像。(A,B)一名71岁新冠肺炎男性患者的CT图像显示右上叶周围肺血管加重(A箭头和B箭头放大)。(C,D)CT图像显示一名54岁新冠肺炎患者的血管树芽模式(C箭头和D箭头放大)。血管树芽模式反映了外周BV的增加,并且可能与上述BV5的减少相矛盾。然而,血管树芽模式是一种局灶性放射学表现,而BV5的血管体积分析涉及整个肺血管系统。因此,即使血管树芽模式局部存在,也可能不会显著影响整个肺外周血管系统。对这种CT模式的直接放射学病理学比较的进一步研究将澄清这一迄今尚未解决的问题。
肺灌注异常
新冠肺炎双能CT经常报告肺灌注异常(图10)。异常灌注表现为各种形状,包括楔形、斑点或混合模式,以及各种灌注模式,包括与肺阴影区域相对应的缺血和阴影周围充血。新冠肺炎的这种异常灌注通常伴随着近端和远端肺血管充血,主要是在肺阴影区域内或周围,推测是由于生理性缺氧性肺血管收缩失败所致。肺灌注异常与肺栓塞和气道异常明显,假设的原因也是缺氧性血管收缩、微血栓或毛细血管减少。临床上,肺灌注异常与通气灌注不匹配和缺氧有关。
图10:新冠肺炎患者的肺灌注异常。(A,B)一名83岁男性确诊为新冠肺炎患者的轴位增强双能灌注CT图像显示,周围分布着磨玻璃样变和双侧肺下叶实变,没有肺血栓栓塞的证据。(C) 灌注图显示病变周围充血(箭头)和病变缺血(箭)。彩色条显示肺部灌注程度;深色和亮色分别表示低灌注和高灌注。新冠肺炎的气道损伤
与新冠肺炎患者的肺泡上皮或内皮损伤相比,对气道损伤和变化的讨论较少,但一些放射学研究报告称,10%–20%的新冠肺炎患者,尤其是危重患者出现支气管扩张和支气管壁增厚。对于有持续症状的患者,如新冠肺炎急性后遗症,CT上观察到的明显空气潴留占总肺容量的25%-35%。空气滞留的比例根据最初的疾病严重程度没有差异,但明显高于健康对照组。由于血管紧张素转换酶II受体在包括小气道在内的整个气道中表达,因此推测病毒直接感染和损伤气道,导致累及空气滞留的功能性小气道疾病。SARS-CoV-2引起的空气滞留的确切病理生理过程尚未确定。然而,一项报告严重急性呼吸综合征患者小气道和胸膜下空腔纤维肉芽组织增殖的研究暗示了这种气道异常。此外,在其他严重的病毒性疾病中,引起感染后闭塞性细支气管炎的免疫反应被推测是这种小气道异常的另一种机制。
新冠肺炎引起的上皮和内皮损伤的临床意义
如前所述,由于直接病毒感染和间接免疫病理效应,新冠肺炎的上皮和内皮损伤同时但独立发生。对于上皮损伤,完整的肺泡血管基底膜对于确定肺损伤的组织是否得到解决和可逆(通常表现为机化性肺炎模式)或肺损伤是否继续弥漫性肺泡损伤(临床表现为ARDS)至关重要。关于内皮损伤,几种CT检查可用于检测和明确不同直径肺血管中新冠肺炎肺血管病的各种表现:内皮炎、血管收缩、微血栓,外周亚段动脉中毛细血管减少的情况可以使用CT定量技术(如BV5)或双能量灌注CT(如病变缺血和病变周围充血)来描述。此外,节段至大动脉中的血管充血和肺血栓栓塞可以在常规CT和增强检查中很容易地检测到。
关于上皮损伤,单独的CT检查结果不能提供具体的病理结果,但可以反映轻度可逆性异常与严重进展性异常是否更容易发生。例如,与轻度缓解性肺炎相比,严重进展性新冠肺炎可更广泛地累及肺实质。由于成像模式能够描述SARS-CoV-2影响的实质程度,使用平片和CT进行的严重程度评分与住院、重症监护室入院、机械通气和死亡率等结果相关。此外,随着近年来的快速发展,人工智能在各种临床任务中被应用于新冠肺炎,包括在连续胸部CT中量化肺炎程度,检测变种之间的CT表现差异,在胸部影像学检查中测量肺部疾病严重程度,以及预测患者预后。人工智能方法的结果在检测新冠肺炎的临床相关变化以及在真实临床环境中对患者进行分诊方面具有潜在的前景。
从治疗的角度来看,胸部CT可以提供上皮或内皮损伤的信息,从而有助于新冠肺炎患者的管理。在病毒复制阶段,干预病毒复制的抗病毒药物(如雷德西韦)等治疗可以有效地截断疾病进展,并通过降低病毒载量加快新冠肺炎的改善。如果严重炎症已经发生,地塞米松等抗炎药可以帮助降低严重新冠肺炎患者的死亡率。此外,抗纤维化药物可用于CT诊断为不可逆纤维化的患者,尽管其使用仅在病例报告或系列报告中有报道。最后,如果在CT上发现新冠肺炎血管病变,则需要使用抗凝剂和抗补体药物。伴随着这一治疗观点,根据肺泡上皮和内皮损伤的胸部影像学表现,也可以对新冠肺炎患者进行预测。这种对新冠肺炎放射学和病理学发现的综合观点可以促进及时和适当的治疗策略。
需要考虑的一个重要问题是,作为SARS-CoV-2主要毒株的新冠肺炎的代表性CT表现和影像学严重程度发生了变化。例如,Omicron变异株,其CT阴性异常和新冠肺炎的非典型模式更为常见,包括肺实质改变和肺血管受累程度越来越轻,但支气管血管周围病变和支气管壁增厚的发生率高于Delta变异株,并且这些CT模式与奥密克戎变异株患者的住院结果改善相关。奥密克戎变异株中频繁的非典型模式可能与细胞嗜性的变化和SARS-CoV-2向支气管组织而非肺实质的有效复制有关。
结 论
在新冠肺炎中,胸部影像学检查结果反映了超出解剖分辨率的病理变化。轻度新冠肺炎表现为磨玻璃样变为主的病变,累及范围相对有限,病理学表现为机化性肺炎模式或非特异性支气管肺炎。潜在致命性新冠肺炎通常表现为更广泛的混合型至实变为主的病变,病理上表现为弥漫性肺泡损伤或急性纤维蛋白机化性肺炎模式。虽然胸部影像不能直接描述肺泡-血管基底膜的完整性,但影像特征有助于分层新冠肺炎的病程,以确定其是否可以逆转或不可逆转。除了新冠肺炎的上皮损伤外,内皮损伤被认为是急性呼吸窘迫综合征的主要原因。现代先进的CT成像可以显示新冠肺炎中这些上皮和内皮损伤的各种表现,有助于在未来呼吸道相关大流行发生时缩小鉴别诊断范围,识别有恶化风险的患者,预测新冠肺炎,及时了解其病理生理特征。
要点总结
SARS-CoV-2的直接毒性和免疫反应导致新冠肺炎患者肺上皮损伤;该病可分为两类,部分重叠:轻度和严重进展性新冠肺炎。
轻度新冠肺炎的组织病理学表现为非特异性肺炎或机化性肺炎;在CT上,这些对应外周或支气管血管周围分布的磨玻璃样变(GGO)和代表机化性肺炎的小面积实变。
在严重进展的新冠肺炎患者中,急性纤维蛋白机化性肺炎和弥漫性肺泡损伤是主要的组织病理学特征;在放射学图像上,这些对应于GGO(渗出期弥漫性肺泡损伤)和实变(增殖期至纤维化期弥漫性肺泡损伤或急性纤维蛋白机化性肺炎)。
内皮损伤是新冠肺炎急性呼吸窘迫综合征发病机制的关键因素,可导致肺血栓栓塞、血管充血、周围血管减少、血管树芽模式和灌注异常。
更多干货,关注XI区!
文献原文:Lee JH, Koh J, Jeon YK, Goo JM, Yoon SH. An Integrated Radiologic-Pathologic Understanding of COVID-19 Pneumonia. Radiology. 2023 Feb;306(2):e222600. doi: 10.1148/radiol.222600. 水平有限翻译可能不准确,如有必要,请参考英文原文。仅供专业人士交流目的,不用于商业用途。
2023年5月12日
如果你觉得写得还不错,请分享、在看和打赏!
原标题:《新冠肺炎:放射学-病理学新认识》

