女子阴道异常流血紧急入院,这个原因不容忽视
仅供医学专业人士阅读参考
如何第一时间准确诊断?
撰文 | 妇产小超人
病例详情
患者21岁女性,病程38天,临床表现为停经38天,下腹痛及阴道流血1天。
患者自述末次月经为2021年7月18日,无恶心、呕吐,无畏寒、发热等不适,自测尿HCG呈弱阳性。
妇科检查:外阴发育正常,阴道通畅,内见少量白色白带,宫颈中度糜烂、肥大,轻压痛,双侧附件区未扪及异常。
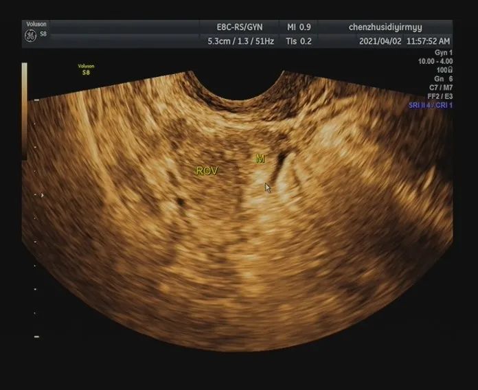
盆腔阴道彩超检查:子宫内未见明显异常回声团,左侧卵巢形态大小正常,右侧卵巢内可见一黄体声像,右侧附件区可见一大小约20mm×15mm的混合性包块,内可见一细小无回声区,包块周边可见少许血流信号。
盆腔可见深约27mm的液性无回声区,内透声差。

患者最可能的诊断是什么?A.黄体破裂
B.卵巢妊娠
C.右侧卵巢畸胎瘤
D.阔韧带肌瘤
E.右侧附件区宫外孕
答案
点击下方空白处获得答案
右侧附件区宫外孕
诊断依据
HCG显示阳性,子宫内未见妊娠囊,阴道彩超见右侧附件区混合性包块,考虑异位妊娠(输卵管型)。
你答对了吗?诊断依据是什么?利用超声诊断异位妊娠的思路如何?
长按识别下方二维码,即可在线查看
������
或点击文末阅读原文,也可进入“医生站网页版”获得答案~
▌ 诊断与鉴别诊断经阴道超声检查的诊断标准包括:
①宫腔内未见明显存活的胚胎;
②宫腔外明显可见妊娠囊,且其内可见卵黄囊或胎芽;
③输卵管呈现环征;
④双侧附件区内存在非囊性的肿块。
▌ 早孕妊娠盲区
超声检查后既不能肯定宫内妊娠,也不能排除宫外妊娠,这些病人中多数孕周介于4-6周,有人称这段时间为“妊娠盲区”。
▌ 妊娠盲区的处理
停经4-6周超声宫内未见孕囊,尿妊娠试验阳性血HCG>750miu/ml、有腹痛、阴道流血者,应高度怀疑异位妊娠,尤其是当超声提示有可疑附件区肿块存在时。
有停经、阴道流血史、妊娠试验阳性,宫内未见孕囊,宫外未见包块或宫内孕囊不典型,宫外未见包块者,第一次阴超检查不能轻易下结论,报告必须注明3-5天复查。
宫外孕属于急腹症,若未及时得到有效的诊治,易出现输卵管破裂,诱发阴道出血、急性剧烈腹痛等症状,严重时可引起休克甚至死亡,是妊娠前3个月孕妇死亡的重要因素之一。此时,快速准确地进行宫外孕的诊断才能尽可能挽救患者的生命。
参考文献:
[1]安林凤.超声在异位妊娠诊断和鉴别诊断中的临床应用价值[J].实用妇科内分泌电子杂志,2019,6(11):53,61.
[2]关玉波.超声在异位妊娠诊断和鉴别诊断中的临床应用探讨[J].影像研究与医学应用,2018,2(20):121-122.
[3]谢丽娜,杨辉,乔磊.超声在异位妊娠诊断和鉴别诊断中的应用价值观察[J].实用妇科内分泌电子杂志,2017,4(12):40.
责任编辑:cici
*"医学界"力求所发表内容专业、可靠,但不对内容的准确性做出承诺;请相关各方在采用或以此作为决策依据时另行核查。
原标题:《女子阴道异常流血紧急入院,这个原因不容忽视!》

