狼疮准妈妈突发无症状高血压,孩子究竟能不能保住?
原创 桂枝 医学界风湿免疫频道 收录于合集 #风湿病例 137个
*仅供医学专业人士阅读参考
注意看,这个女孩叫小美……
小心翼翼仍突发怪象
小美刚过34岁生日不久,这是她怀孕的第22周,自打怀孕以来,每一天她都遵照医嘱悉心监测着自己的基础生命体征。
但是最近几天,她心中有一些担忧——最近一段时间,血压都比较高,已能构成“高血压”诊断,但是的确没有症状。
虽心存侥幸,但是小美还是及时联系了医生。小美深知自己曾确诊膜性狼疮性肾病、抗磷脂综合征(抗心磷脂抗体和狼疮抗凝物阳性)和深静脉血栓,并且在这新生命突然造访后,前三个月她一直在专科医生指导下服用羟氯喹、泼尼松龙、环孢素(硫唑嘌呤不耐受)、低剂量阿司匹林和治疗剂量的依诺肝素。
危机四伏急住院诊疗
听闻小美的情况,我立刻建议小美来院就医。
入院检查:血压160/87mmHg;无胎儿窘迫的征象;血肌酐和尿蛋白定量分别是69µmol/L和6.4g/日(3月前分别是52µmol/L和0.7g/日);双链DNA抗体滴度超过800IU/L;C3浓度55mg/dL(3月前71mg/dL),C4浓度低于8mg/dL;尿常规示高倍镜下166个红细胞;相差显微镜下可见管型和25%的变形红细胞;血常规示血红蛋白浓度为11.0g/dL,血小板计数为201×10⁹/L。
看到这些结果,我和主任都倒吸一口凉气:出现了狼疮活动+肾小球肾炎,先兆子痫的风险非常高(图1),立刻收治入院!
图1.各种指南对于先兆子痫危险因素的论述[1]一波三折肺鬼影叠叠
入院后,小美开始接受静脉注射甲强龙(500mg,qd)和口服拉贝洛尔(200mg,tid)的治疗,同时停用环孢素以避免高血压和肾功能恶化,继续使用阿司匹林(100mg,qd)和依诺肝素(60mg,bid)。
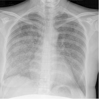
入院2天后,小美静养时突发咳嗽和呼吸困难,血压175/85mmHg,肺底可闻及粗湿啰音,文丘里面罩吸氧(FiO₂ 40%):动脉血气示低氧血症(PaO₂/FiO₂ 237 mmHg);血常规示贫血(血红蛋白浓度8.7g/dL)和血小板减少(126×109/L);NT-proBNP 4077pg/mL;胸部X线可见广泛模糊影(图2)。
图2.患者肺部X线可见广泛模糊影[2]怕什么来什么,科里怀疑患者先兆子痫合并溶血、肝酶升高、低血小板,即HELLP综合征(图3),考虑患者肺部的广泛模糊影是急性肺水肿,因此立刻给呋塞米治疗,但利尿后呼吸困难并没有改善。
我们和小美都开始困惑:这肺上难不成是鬼影?
图3.HELLP综合征诊断标准[3]肺部到底出了什么问题?
然而呼吸困难症状加剧,我们立刻对小美进行了插管机械通气,并进行了支气管镜检查,检查结果如下图(图4)。
图4.左图为右肺中叶的支气管肺泡灌洗液;右图为普鲁士蓝染色的支气管肺泡灌洗液细胞学检查检查显示患者肺部肺泡弥漫性出血!
思考:难不成是外静脉血栓拴塞导致的吗,可是患者一直使用抗凝药物啊!小伙伴你能诊断出诱因是什么吗?
本文原创:桂枝
本文责编:芋子
版权申明
本文原创 欢迎转发朋友圈
- End -
*"医学界"力求所发表内容专业、可靠,但不对内容的准确性做出承诺;请相关各方在采用或以此作为决策依据时另行核查。
原标题:《狼疮准妈妈突发无症状高血压,孩子究竟能不能保住?》

