67岁老人肚子像充气球越来越大,医生手术切除5千克肿瘤
近一年来,67岁老人万刚(化名)的肚子像充气球一样越来越大,但人瘦了不少。

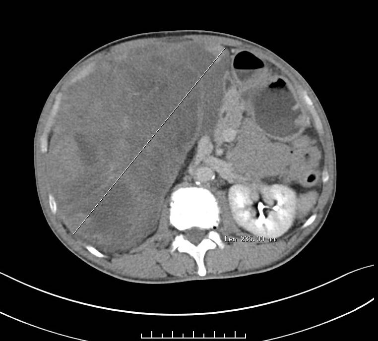
术前CT检查提示,老人体内有巨大的腹膜后肿瘤。 本文图片均为 上海市杨浦区中心医院 供图
3月11日,澎湃新闻记者从接诊老人的上海市杨浦区中心医院获悉,这名老人进入医院普外科就诊后发现,其腹部隆起有肿块,犹如篮球般大小。经CT检查显示,老人体内巨大的腹膜后肿瘤占据了大半个腹盆腔,小肠、结肠已被推挤至左侧腹腔一角,并且肿瘤紧贴右肾、肾动脉、下腔静脉及十二指肠,分界都不是很清楚了。
上海市杨浦区中心医院普外科主任林谋斌介绍,腹膜后肿瘤位于腹膜后的潜在间隙,分良性和恶性两大类,约80%都是恶性的,比如脂肪肉瘤、平滑肌肉瘤等,这类恶性肿瘤生长非常迅速,可能会导致严重后果。
“需要注意的是,腹膜后肿瘤由于位置深,通常情况下早期无明显的症状,但当患者感觉腹部胀满或者摸到腹部包块时,肿物往往已经巨大。”林谋斌说,腹膜后肿瘤如果生长到一定时期,患者可能会出现消瘦、乏力、贫血、发热、腹水、黄疸等症状,需要及时治疗。
上海市杨浦区中心医院普外科主任医师李桢同时表示,原发性腹膜后肿瘤对放化疗等均不敏感,手术切除是患者获得潜在治愈机会的最佳手段。但由于腹膜后解剖结构复杂,血管神经丰富,周围重要脏器较多,常常在肿瘤巨大、侵犯或挤压周围脏器发生合并症状时才能发现,因此手术难度极大。

林谋斌和李桢两名医生抽丝剥茧般地,将肿瘤从诸多器官、血管和神经的缠绕中,完整剥离出来。
在这名老人的手术中,林谋斌和李桢两名医生凭借深厚的膜解剖功底和技术,抽丝剥茧般地将肿瘤从诸多器官、血管和神经的缠绕中完整剥离出来。整个手术用时不到3小时,术中出血仅150毫升。
术后,经测量,切除的肿瘤大小为44.5x23.5厘米,足足重达5千克。
专家提醒,平时大家应定期到医院进行体检,做到早发现、早治疗,如果出现身体不适症状,应及早就医。
