影响因子286分的CA杂志经典病例:局部晚期肺癌1例
原创 孙丹雄 医学界呼吸频道 收录于合集 #呼吸病例 81个
*仅供医学专业人士阅读参考
病例分享~
CA杂志即《a cancer journal for clinicians》,影响因子世界第一,高达286.13,2021年发表了1篇文章:Locally advanced lung cancer。我打开一看,居然是个病例报道。
究竟是什么神奇的病例呢?
病例介绍
GG女士是一名76岁的女性,于2020年3月就诊,有4个月的后背中部疼痛史,疼痛放射至右胸壁。
2020年3月11日胸椎磁共振显示,右侧后纵膈4.4cm肺部肿块,与T8和T9椎体紧密接触。
2020年4月3日胸部CT显示,右下叶后段(背段)有一个4.3cm×4.7cm的肿块,中心坏死,紧邻胸主动脉和食管。CT引导下肺部肿块穿刺活检证实为低分化鳞状细胞癌,PD-L1在50%的细胞中表达。
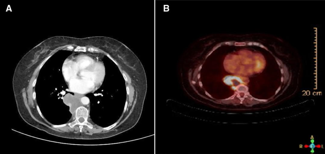
PET-CT扫描显示右下叶显著(18)F-氟脱氧葡萄糖摄取,标准摄取值(SUV)为13.6,右肺门摄取小焦点,标准摄取值为3.5(图1)。
图1脑部磁共振显示没有转移,支气管内超声和纵隔淋巴结活检显示纵隔淋巴结未受累。患者器官功能非常好,东部肿瘤协作组评分(ECOG评分)为1。
治疗过程
手术治疗还是药物治疗?
经过胸部肿瘤委员会讨论,先药物治疗,与单纯化疗相比,化疗和免疫疗法联合治疗的应答率较高,且患者肿瘤PD-L1表达强烈,给患者服用了3个周期的卡铂/吉西他滨和pembrolizumab(派姆单抗,也叫帕博利珠单抗、帕姆单抗等等一大堆翻译)。
2020年6月复查影像学显示肿瘤对治疗有轻微反应(图2)。并且,患者最初的严重背痛症状在第一个疗程后完全消失。胸部肿瘤委员会再次讨论了患者的病例,考虑到影像学显示肺部肿块有严重坏死和患者背痛的完全缓解,决定进行手术切除。
图22020年6月25日,患者接受了右肺下叶切除术,并对T8和T9椎体进行了截骨术。患者实现了完全切除,边缘阴性(R0切除)。显微镜下,肿瘤标本中有98%的坏死,仅有少量残余鳞状细胞癌灶,手术边缘(-),肺门和纵隔淋巴结(-)(图3)。PET扫描显示,轻微活动的肺门淋巴结对治疗没有反应。术后,患者接受了强度调节放射治疗(IMRT,调强放疗),并继续派姆单抗治疗。
图32020年10月复查CT显示术后改变,没有疾病复发的证据。不幸的是,该患者于2020年12月感染了新冠肺炎且并发细菌性肺炎,因此需要延长住院时间并中断pembrolizumab(派姆单抗)治疗。2021年2月,该患者有2个小的脑转移病灶,接受了立体定向放射治疗(RT)。在感染新冠肺炎病毒后,患者从未完全康复,并因呼吸衰竭多次入院。她目前在家接受支持性护理,包括持续补充氧气。
小结
局部晚期NSCLC(非小细胞肺癌)患者的管理很复杂,需要所有治疗专业之间的密切合作。尽管大多数T4病变患者同时接受化疗和放疗,但也有一些患者可能需要手术治疗。在本报告中,介绍了一名局部晚期肺癌患者,该患者采用化疗和免疫疗法的联合新辅助疗法,随后手术切除肿瘤并联合放疗,治疗成功。
什么是局部晚期肺癌?
图4
图5我还以为是个什么神奇的新鲜概念,原来20年前就有了,不知道为什么可以登顶世界第一的医学杂志。
参考文献
Tfayli AH, Sfeir PM, Youssef BY, Khuri FR. Locally advanced lung cancer. CA Cancer J Clin. 2021;71(6):461-465. doi:10.3322/caac.21698
更多呼吸用药技巧?
快来“医生站APP”瞧一瞧��
本文来源:医学界呼吸频道
本文作者:孙丹雄
责任编辑:彭建萍 戴戴
版权申明
本文原创 欢迎转发朋友圈
- End -
呼吸频道调研问题
为了解各频道粉丝用户的阅读习惯和兴趣
提供更有趣、有用、有态度的内容
医学界呼吸频道欢迎大家动动手指完成以下的调研
只要1分钟哦!
征 稿
医学界呼吸频道欢迎您的投稿!
点击下方链接或扫描二维码即可投稿:
https://titan.yishengzhan.cn/#/public_contribution
请按征稿界面填写真实信息
*"医学界"力求所发表内容专业、可靠,但不对内容的准确性做出承诺;请相关各方在采用或以此作为决策依据时另行核查。
原标题:《影响因子286分的CA杂志经典病例:局部晚期肺癌1例》

