刷牙漏了3个地方,等于没刷干净,很多人都忽视了
原创 知妹 腾讯医典她知
很多人觉得刷牙是件小事,但错误的刷牙方式,却可能毁掉我们的牙齿!
知妹特别提醒,刷牙时漏掉下面这三个地方,清洁力可就大打折扣了哦[1][2]!
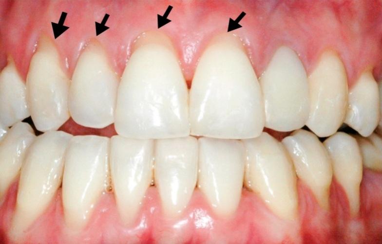
很多人刷牙会认真刷牙面,却很容易忽略牙龈(牙肉)边缘的龈沟。
其实,牙菌斑很容易积聚在这个地方,加重龋齿、牙周炎的风险。如果平时没清洁到位,软垢、色素这些坏家伙也可能“聚众闹事”,使靠近牙龈部分的牙齿发黄更明显。
长期不清理牙龈沟,还容易形成牙结石,导致我们的牙龈容易发炎,甚至出血。
正确刷牙方法:
将牙刷倾斜45°,对准牙齿与牙龈交接的地方,覆盖一点牙龈,牙刷做水平短距离颤动(约1-2个牙位)5次左右。
(图片来源:make a gif)接着,将牙刷轻压于牙面与牙龈之间的沟,刷毛尽量刷到龈沟,轻轻往牙齿长出方向转动牙刷,拂刷 1 次。
(图片来源:make a gif)每次牙刷覆盖两颗牙,刷好了移到下一个位置,这样有重叠地操作,可以保证不遗漏一颗牙齿。
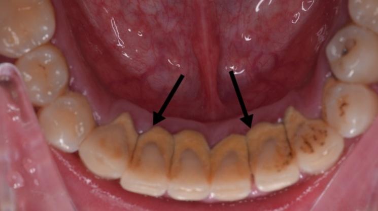
牙周医生在洗牙时发现,下颌前牙内侧、下颌磨牙内侧往往是牙结石的“重灾区”。
除了“优越”的地理位置让食物残渣容易在这里堆积之外,在下门牙附近开口的唾液腺导管也会因分泌唾液,而参与牙结石的产生。因此刷牙时,刷干净牙齿的内侧面也很重要!
正确刷牙方法:
两边内侧牙的刷法和外侧牙相同。
(图片来源:make a gif)如果感觉45°的角度很难控制掌握,可以直接用刷毛接触龈缘或进入龈沟,自上而下拂刷即可,每组牙齿重复5-6次。
(图片来源:make a gif)
牙齿不单单只有外面和内面,还有邻面。
邻面也就是两颗牙齿挨在一起的那个面,单纯靠牙刷根本刷不干净,所以此时就需要请出牙线或牙间隙刷来清理啦!如果佩戴矫正器,也可以使用水牙线(冲牙器)。
二者可以同时使用,不过清洁效果还是普通牙线效果更好。
牙线使用方法:
① 拉取一个手臂长的牙线(约45cm),将牙线绕在两手的食指约第二指节处,绕两三圈,使牙线固定即可。
② 清洁前牙区时,用一手拇指与另一手的食指绷紧牙线,两指指甲相对,相距约 1 cm。
(图片来源:Giphy)用指腹控制牙线,将牙线滑进牙缝,食指在口内,拇指在口外,当有紧而通不过的感觉时,可以做前后拉锯式动作。
(图片来源:dental geneva)向口内、口外及牙龈方向轻柔施力,压紧牙线,成“C”字形,拉动牙线上下刮牙缝的左右两个相邻面。
(图片来源:crownpointedentistry.com)③ 清洁后牙区时,可用两手食指或中指,同时把手指打直,比较方便够到后牙的牙缝。
同样需要轻柔地上下刮牙缝的左右两个相邻面。
特别需要注意:上下最后那颗牙的最远那一面也是需要清洁到的,千万别漏掉!
美国牙科协会ADA推荐一天刷两次牙[3],刷牙次数过多会导致牙齿过度磨损,过少则使得菌斑微生物没法有效清除。
另外即便认真清洁,但刷牙还是可能有死角,所以建议大家每年去医院进行一次洁治(洗牙)[4],彻底清除平时刷牙无法清理到的脏东西。
平时我们也需要对着镜子做做牙齿的自检,有问题要及时进行治疗。千万不要因为忽视小问题,而给你的牙带来大麻烦!
参考文献
[1] 国家药品监督管理局. 警惕宣称“促进睫毛生长”的睫毛液
[2] 翁佩平. 自体睫毛增密增长术在睫毛生长中的临床观察[C]// 中国保健协会. 中国保健协会, 2015.。
[3] Hari K , Arase S, Tsuboi R, et al. Bimatoprost for Eyelash Growth in Japanese Subjects:Two Multicenter Controlled Studies[J]. Aesthetic Plastic Surgery, 2014, 38(2):451-460.
[4] Glaser D A, Hossain P , Perkins W , et al. Long-term safety and efficacy of bimatoprostsolution 0-03% application to the eyelid margin for the treatment of idiopathic andchemotherapy-induced eyelash hypotrichosis: a randomized controlled trial.[J]. BritishJournal of Dermatology, 2015, 172(5):1384-1394.
内容制作
阅读原文
