专访斯坦福团队谈年轻小鼠脑脊液注入老年鼠改善认知:我们为何研究
“返老还童”,甚至“长生不老”,关于如何抵抗衰老这个自然的过程,话题总有着巨大的吸引力。科学界也从来不缺与此话题相关的研究,尽管初衷可能并不是直接为此。
几年前,美国斯坦福医学院的一名学生Jesse Karmazin在旧金山创办了一家名为“Ambrosia Health”的公司,并在洛杉矶、坦帕、奥马哈和休斯敦等多地设有分部。该公司向公众提供注射16至25岁年轻人血浆的“医疗”服务,价格为每升8000美元或每2升12000美元。据当时媒体报道,这家公司的客户名单不乏赫赫有名的富豪名流。
不过,2019年,美国食品药品监督管理局(FDA)发出一份措辞严厉的声明,指出有“无耻之徒(unscrupulous actors)”自称“注射年轻人血液”可以预防衰老、治疗阿尔兹海默症等疾病。声明指出,没有任何临床试验证明此举有上述疗效。相反,与任何其他血浆医疗服务一样,注射年轻人的血浆风险重重。Karmazin成立初创公司受到一类热门研究的激励,即年轻血液抗衰老。2014年,抗衰老领域的著名科学家、斯坦福大学神经病学和神经科学教授Tony Wyss-Coray等人在国际学术期刊《自然-医学》(Nature Medicine)发表了一项研究,研究团队将将年轻小鼠与老年小鼠缝合,并融合它们的血管,发现年轻血液的流入改善了老年老鼠的记忆和学习能力。
实际上,自上世纪90年代末以来,Coray一直在研究大脑衰老,试图绘制出随着我们的变老,大脑可能出现的所有变化。尽管他利用血液也进行了大量研究,但他认为,对于大脑而言,最明显的研究起点仍然在脑脊液。

抗衰老领域的著名科学家、斯坦福大学神经病学和神经科学教授Tony Wyss-Coray。
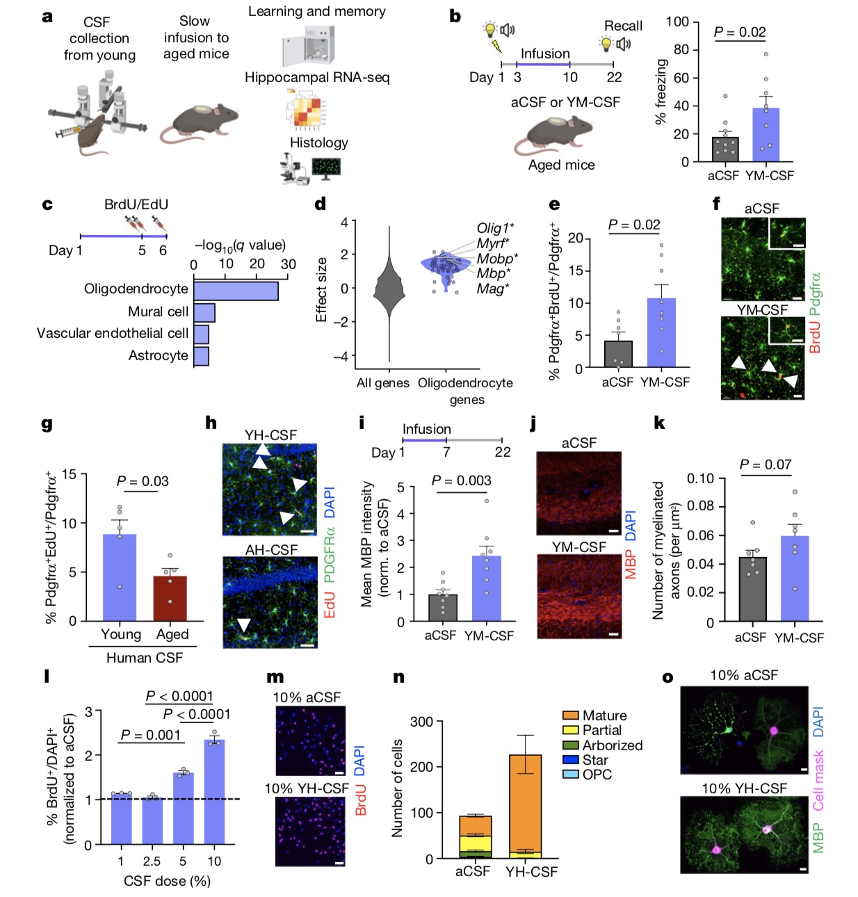
近日,Coray团队在顶级学术期刊《自然》(Nature)在线发表了一项研究,研究团队将年轻小鼠脑脊液(CSF)灌注给老年小鼠,后者出现了记忆改善。他们还提出,这可能要归功于对神经细胞功能具有恢复能力的生长因子。该研究结果证明了年轻小鼠的脑脊液对衰老大脑具有潜在的再生性能。
该论文的另一通讯作者、同时也是第一作者的Coray实验室的博士后Tal Iram在接受澎湃新闻(www.thepaper.cn)记者采访时表示,这项研究始于5年之前,“大脑被脑脊液包围,脑脊液的蛋白质组成与血浆非常不同,我们知道这些蛋白质随着年龄的增长而变化。”基于此前在血液中的研究,他们一开始即假设:年轻的脑脊液对年老的大脑或有“返老还童”的作用。
这项研究被波士顿儿童医院Miriam Zawadzki等人评价为在大脑健康和衰老领域取得了突破性进展,“他们发现年轻的脑脊液中含有一种因子,可以通过海马中少突胶质细胞的成熟和髓鞘的形成,帮助老年小鼠回忆记忆。”Zawadzki等人在《自然》同期刊发的新闻与观点文章中如是表示。宾夕法尼亚州立大学的记忆与衰老研究人员Janine Kwapis没有参与这项研究,她在一封电子邮件中也表示,发现脑脊液注射改善了老年动物的认知能力,这“非常令人兴奋”,尽管“治疗从年轻到年老的注射的想法并不新鲜”。
不过,也有科学界的同行质疑此项研究。布法罗大学雅各布斯医学和生物医学科学学院的生物化学家Gabriela Popescu说,这项研究可被视作一项工作实例,即错误地将衰老视为一种需要治愈的疾病。Popescu研究记忆神经科学,也没有参与此项研究。
Popescu对媒体表示,“我认为以这种方式推销科学是错误的。”不过,尽管持保留意见,但Popescu仍说,这篇论文的观察结果很有趣,而且是“一个值得了解的好事实”。
幼鼠中提取脑脊液,7天时间里灌注给老年小鼠
上述提到的Coray等人在2014年的研究,其实验手段的起源为“异种共生”。
所谓“异种共生”,是一种有着上百年历史的外科技术,将两只活体动物的循环系统连接起来,模仿了类似连体双胞胎的共享血液供应的自然实例。此类实验最早记录在1864年,彼时,法国生理学家保罗·伯特割掉了两只白鼠腹部的皮,然后将这两只白鼠缝合在一起,以期创造一个共享血液循环系统。尽管Coray等人此前掌握了这样的实验手段,然而要在大脑上完成类似的工作却很难。“这项研究主要的挑战是提取足够纯的脑脊液,并直接注入老年小鼠的脑室。”Iram对澎湃新闻记者如是表示。
脑脊液就像大脑的海洋,这种看起来澄清透明的液体只存在于大脑和脊髓当中,使它们“沐浴”在营养中,并帮忙清除细胞废物。
脑脊液如何产生?中科院脑科学与智能技术卓越创新中心(神经科学研究)此前的一篇科普文章中给出形象的介绍:我们的大脑表面堪称千沟万壑,充满了各种各样的小空隙,而深入脑子的内部,你就会发现更多更大的空隙。其中,较大的空隙被称为“脑室”(ventricle),那里生长着一簇一簇树丛似的的小静脉,它们因而被称为“脉络丛”(choroid plexuses)。
这些脉络丛,便是脑脊液的“水源”,脑脊液在这里源源不断地产生,而后顺着脑内外的空隙流到整个颅腔以及脊椎之内。而在大脑之外,又有一层遍布血管的软膜,由于膜上血管纵横交错如同蜘蛛网,解剖学上就把这层膜称为“蛛网膜”(Arachnoid)。脑脊液正是经由蛛网膜上的颗粒状结构(即“蛛网膜颗粒”(arachnoid granulation)回归到静脉中。
脑室脉络丛每天大约会产生500ml脑脊液,但由于这些脑脊液又不断被吸收,因此正常人脑中一般保持着100-160ml脑脊液。
Iram等人在论文中写道,脑脊液构成了脑细胞的直接环境,为它们提供营养物质,在发育过程中传递信号,指导神经元祖细胞的增殖和分化。然而,随着人类年龄的增长,脑脊液蛋白的组成发生了变化,表现为炎症蛋白的增加和脑源性神经营养因子(BDNF)等生长因子的减少。不过,脑脊液中的这些变化是否与年龄相关的认知能力下降有关尚不清楚。
然而,要验证这一疑问并不容易。Iram表示,“我们从以前的研究中看到,血液循环中的蛋白质可以减缓或加速大脑衰老。然而,大脑和血液是通过限制蛋白质进入大脑的屏障分离的。”同时,由于脑脊液收集和脑脊液直接输注给另一个大脑的技术限制,使得通过在体内进行脑脊液转移来实现这一功能的测试一直很困难。
实际上,在Iram提出要将年轻小鼠的脑脊液灌注给老年小鼠时,Coray曾想尽一切办法劝她放弃。然而,Iram最终还是完成了这项颇有难度的试验。
首先,她煞费苦心地从被麻醉的年轻小鼠(10周大)身上提取脑脊液,从它们豌豆大小的大脑中尽可能地提取出大约10微升。当她收集了大约90微升的脑脊液后,她将年轻的脑脊液放入一个容器中,该容器被植入一只老年小鼠(18个月大)的背部,在7天的时间里,通过一个小管子缓慢地将脑脊液泵入后者的大脑。

Tony Wyss-Coray实验室的博士后Tal Iram。
潜在治疗靶点Fgf17:仅作为功能研究
Iram等人首先通过一项恐惧条件反射任务来测试,年轻的脑脊液是否可以改善海马依赖学习和记忆任务中与衰老相关的损伤。在这项任务中,小鼠们学会了将足部电击与音调和闪光联系起来。
20个月大的老年小鼠接受了三次与音调和闪光相关的足部电击。小鼠随机分为两组,分别输注人工脑脊液(aCSF)和年轻小鼠脑脊液(YM-CSF) 7天,获得记忆3周后进行远程记忆回忆测试。结果显示,当这些小鼠暴露在灌注前训练过的相同刺激下,即闪烁的灯光和嗡嗡声时,灌注年轻脑脊液的小鼠能更好地回忆起与电击有关的恐惧记忆。
由于海马是大脑中的一个关键记忆中心,在与年龄相关的认知衰退中起着核心作用,并且与脑脊液非常接近,研究团队接下来通过RNA测序(RNA-seq)来测量灌注年轻脑脊液对海马转录组的影响。
他们发现,年轻脑脊液组产生了大约270个基因的表达改变,其中一种叫做少突胶质细胞的特殊细胞发生了最大的变化,这种细胞能产生髓磷脂。髓磷脂富含脂肪和蛋白质,覆盖在神经元之间的轴突连接上。

年轻的脑脊液改善记忆,促进少突胶质细胞祖细胞(OPC)增殖和分化。
Coray解释称,“这些细胞基本上是在大脑中神经细胞之间的线路上形成绝缘,就像线缆上的塑料保护层。”也就是说,这些细胞对于神经细胞有效地相互交流至关重要。“我们发现,年轻的脑脊液会产生更多这样的细胞,它们是更好的绝缘体。”
具体来说,Iram等人发现年轻的脑脊液使老年小鼠海马中活跃增殖的少突胶质细胞前体细胞(OPCs)的比例增加了一倍多。三周后,随着这种细胞变化,髓磷脂的生成增加。研究结果表明,年轻小鼠脑脊液可通过调节少突胶质细胞来提高老年小鼠的认知能力。
Kwapis认为,这项研究真正新奇的是发现少突胶质细胞在大脑年龄中起着关键作用。“尽管此前的研究几乎只关注神经元,认为它是大脑功能的核心,但最近的研究已经开始认识到胶质细胞(如少突胶质细胞)的关键作用,它似乎和神经元一样对大脑功能重要。”
为了明确这些效应背后的机制,团队研究了被年轻小鼠脑脊液激活的信号转导通路。研究显示,名为SRF的转录因子能介导年轻小鼠脑脊液对少突胶质前体细胞的影响,而且该转录因子在老年小鼠海马体中的表达会下降。
研究还发现,一种叫做Fgf17的成纤维细胞生长因子,它能在年轻的小鼠中触发少突胶质细胞的增殖,并随着小鼠年龄的增长而减少其表达。最后,他们给年轻小鼠注入一种抗fgf17抗体,以阻止它们的细胞吸收这种抗体,这会损害它们的记忆,并降低它们在迷宫挑战中的表现。
研究团队总结道,这些发现表明年轻的脑脊液具有“返老还童”的能力,并确定Fgf17是在衰老的大脑中恢复少突胶质细胞功能的关键靶点。
Zawadzki等人的同期刊发的新闻与观点文章中也表示,“这项研究不仅提示了Fgf17作为治疗靶点的潜力,还显示出能让药物直接进入脑脊液的给药路径对于治疗痴呆症的可能益处。”Zawadzki等人认为,任何此类治疗都将对支持我们日益老龄化的人口大有裨益。不过,Coray认为,对类似这样的研究,科学人员才刚刚开始。Iram也对澎湃新闻记者表示,脑脊液是一种满足脑细胞独特需求的媒介物质,此前有实验室的基础工作表明,脑脊液蛋白在不同发育阶段指导大脑的形成。“我们知道脑脊液成分随着年龄的增长而变化,事实上,这些变化通常被用于临床评估大脑健康和疾病的生物标志物。然而,我们并不清楚这些变化是如何影响衰老大脑中细胞的功能的。”
她强调,这正是研究团队通过灌注年轻脑脊液来进行功能研究的动机,“进行转移是为了更好地理解老化大脑中脑脊液和细胞之间的关系,而不是作为临床前研究。”
Kwapis也提醒道,如果从人的角度来看,“一个年轻人的一次输血(或脑脊液输血)不太可能会对老年人产生持久的年轻化效果。”
