颅内静脉系统血栓形成太难懂?一文解析
原创 LL 医学界神经病学频道 收录于合集 #神经档案室 110个
*仅供医学专业人士阅读参考
一文学习颅内静脉系统血栓形成颅内静脉窦及脑静脉血栓形成是一组由于多种病因导致的脑静脉系统血管病,统称为脑静脉系统血栓形成(CVT)。与动脉血栓形成相比,CVT的发病率相对较低,占所有卒中的1%,多见于老年人及产褥期妇女,其临床症状因病因、病变部位不同而表现各异。本文以一例典型病例共同学习颅内静脉系统血栓形成。
先看病例资料
患者女性63岁,主因“突发反应异常2天余”入院。
入院2天前,早晨5时无明显诱因突发精神行为异常,胡言乱语,对答不切题,叫不出家人名字。
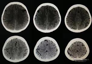
4小时余后就诊于当地医院,行头颅CT:左侧额叶及右侧颞叶脑梗死。头颅MRI:左侧颞叶、顶叶急性脑梗死,脑内散在缺血灶,左侧额颞叶及右侧脑室后脚旁软化灶,侧脑室周缘轻度白质脱髓鞘(图1)。头颅MRA:脑动脉硬化改变。
考虑为急性脑梗塞,给予抗血小板聚集、营养神经等对症支持治疗,病情未见好转,甚至进一步加重。
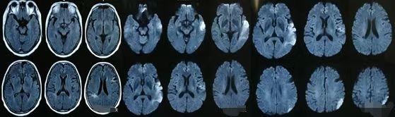
遂就诊于我院急诊,复查头颅CT:左颞叶梗塞灶伴局部出血灶不排除,左额叶、右侧脑室三角区旁及左侧小脑半球陈旧性梗死灶可能(图2)。
图1
图2既往史:患者近1年内出现过4次发作性症状,有3次表现为出门后找不着回家的路,刚放的东西找不到,1次为偏执地要某物,拿到后又忘记放到哪,4次均未诊治,自行缓解。否认高血压、糖尿病、冠心病病史。
个人史、家族史无殊。
入院查体:神清,发音正常,命名性失语,对答不切题,部分内容答非所问。双瞳孔正大等圆,对光反射灵敏。四肢肌力、肌张力基本正常,腱反射对称,病理征阴性。
患者当地头颅MRI结果提示颅内多发散在缺血灶,但梗死范围不符合典型大脑中动脉供应区域,病灶偏皮层,颞枕交界部位点状DWI高信号高度提示血管性。需要与脑炎、线粒体脑肌病等疾病鉴别。
于是当天完善腰穿:脑脊液压力正常,常规正常,蛋白稍高0.51g/L,脑脊液细胞学未见明显异常。女性肿瘤全项、抗核抗体谱、甲功六项、免疫五项(IgA、IgG、IgM、补体C3及C4)均未见明显异常。
颅脑CTA:左侧颈内动脉海绵窦段混合斑块形成伴管腔轻度狭窄,右侧椎动脉V1段远段软斑块形成伴管腔轻中度狭窄。颈动脉CTA左侧颈内动脉颅内段少许钙化斑块形成。左侧椎动脉起源于主动脉弓(图3)。头颅SWI可见左侧颞顶叶出血性病变(图4)。
图3
图4分析:患者左侧颞叶病变属于出血性梗死,但梗死病灶不符合血管分布,且以皮层病变为主,很早在病灶中即出现出血信号,且左顶病变靠皮层,病灶范围不大,但病灶中也有出血信号,高度提示患者皮层静脉梗死可能性大。
于是进一步完善凝血五项:D-二聚体2.68ng/ml;蛋白C活性:150%(正常值:100.24±17.18)、蛋白S活性:120%(100.9±11.6);颅脑MRV:皮层静脉断续,显影欠佳,左侧Labbe静脉未显影,左侧横窦、乙状窦显影欠佳(图5)。综上,明确患者诊断:颅内静脉系统血栓形成。
图5治疗上,给予患者低分子肝素5100iu皮下注射q12h,稳定斑块、神经保护等综合治疗。出院时,患者精神行为正常,可与家人进行简单沟通。
讨论
CVT与静脉性脑梗死(CVI)关系密切,大约50%的CVT将发展为CVI。早期治疗可明显改善预后,但临床表现缺乏特异性,故早期诊断有着重要的意义。
▌ 解剖
大脑皮层静脉主要包括Trolard静脉和Labbe静脉,其中Labbe静脉是浅静脉系统的一部分,该静脉起自外侧裂,向后下汇入横窦,引流颞叶外侧面。大脑上静脉、大脑中静脉和大脑下静脉各支之间相互吻合。大脑上静脉中有一支较粗大,于中央沟下端附近与大脑中静脉相连接,这支大脑上、中静脉吻合支称为Trolard静脉,故Trolard静脉又称上吻合静脉(图6)。
图6[1]▌ 病因与发病机制
1.感染性因素:包括细菌、病毒、寄生虫及真菌引起的各种颅内感染、脑脓肿、硬膜下积脓并发脓毒性海绵窦血栓形成、全身性感染、静脉或静脉窦创伤性脓毒血症、头面部局限性感染等。
2.非感染性因素:
①遗传性及获得性凝血机制障碍:肾病综合征、妊娠期及产褥期等;
②某些药物:避孕药、非甾体抗炎药、皮质类固醇及雄激素等;
③血液系统:红细胞增多症、原发性血小板增多症、白血病、贫血、弥散性血管内凝血(DIC)等。
④全身性疾病和自身免疫病:恶性肿瘤、糖尿病、Crohn病、溃疡性结肠炎、系统性红斑狼疮等。
⑤血流动力学异常:高热、休克、全身脏器衰竭、严重脱水、硬膜窦梗阻;
⑥医源性因素:因腰椎穿刺、开颅手术、脊髓手术等引起的低颅内压;颅内手术中相关静脉的损伤;
⑦其他:有20%~35%找不到确切病因或危险因素。由于脑的静脉和静脉窦均无瓣膜结构,静脉循环紊乱导致颅内静脉高压,异常的静脉回流易形成血栓。
▌ 临床表现
CVI早期出现颅高压表现的患者,大多数患者头痛先于其他神经局灶体征,而动脉性脑梗死以头痛起病者较少,因此,①以头痛起病怀疑脑梗死的患者、②脑出血部位为非高血压脑出血常见部位、③脑出血伴严重脑水肿,甚至出现一侧脑出血,双侧脑水肿的征象时,均应考虑到CVI可能。
1.上矢状窦血栓形成:上矢状窦是非感染性CVI最常见的部位。症状包括急性或亚急性起病,全身衰弱、发热、头痛,视乳头水肿等,有时可并发颅内出血、癫痫、偏瘫、失语、偏盲等;
2.海绵窦血栓形成:多见于眶周、鼻窦及上面部化脓性感染或全身性感染。多从一侧急骤起病,迅速扩展至对侧,出现脓毒血症。主要表现为脑神经受损和眼静脉回流受阻征象。多有III、IV、VI、V1-2脑神经受损,出现眼睑下垂、眼球运动受限或固定、复视、瞳孔扩大、对光反射消失、角膜反射消失等;
3.侧窦血栓形成:包括横窦和乙状窦血栓形成,常由化脓性乳突炎或中耳炎引起。主要症状为耳后乳突红肿热痛、发热、寒战,脑神经受累可出现复视、吞咽困难、饮水呛咳、声音嘶哑等,有时会出现高颅压症状;
4.直窦血栓形成:多与海绵窦、上矢状窦、横窦和乙状窦血栓同时发生,单独发生者少见,病情较重。可因急剧的颅内高压,出现昏迷、抽搐和去大脑强直等症状;
5.皮层静脉:Labbe静脉血栓形成的临床表现及影像学特征与侧窦血栓形成类似。Trolard静脉血栓形成临床罕见,临床与影像缺乏特异性,极易误诊。由于Trolard静脉位于中央沟前后,当其内血栓形成,早期影像学多表现为血管条索状伴或不伴周围水肿,当仅有条索征时需与大脑凸面蛛网膜下腔出血鉴别,而当水肿较明显时常被误诊为肿瘤而经病理确诊。
▌ 辅助检查
1.CT:急症患者的首选检查手段,表现为发病区的低密度影或混合密度影,增强后表现为明显的低密度影,无特异性,用于筛查;
2.MRI:直接征象表现为皮层及皮层下脑肿胀,MRI平扫T1WI呈稍低或等信号,T2WI呈高信号,病灶部位大多表浅,靠近皮层,双侧对称分布,常位于非动脉供血区域,可伴灶性出血;
3.MRV:MRV直接征象为静脉窦血流信号缺失,间接征象为病变远侧侧支循环形成,因不受血栓时期的影响,弥补了MRI平扫或增强假阴性的缺陷。MRI和MRV联合应用敏感性高、便于动态观察;
4.DSA:DSA因其可观察静脉血流速度及静脉窦充盈情况,并能直接测定静脉窦压力,是诊断CVI的“金标准”,表现为静脉窦内充盈缺损、回流静脉窦闭塞[2]。
▌ 治疗
1.病因治疗:抗感染、补液、维持电解质平衡等;
2.抗血栓治疗:
(1)抗凝治疗:被认为是治疗CVI的“金标准”,常用药物有肝素、低分子肝素、利伐沙班、阿加曲班等。CVI伴随的脑出血和出血性脑梗死不是肝素治疗的禁忌证;
(2)溶栓治疗:可应用尿激酶、rt-PA静脉溶栓,但尚无证据表明其治疗优于抗凝治疗,可作为抗凝治疗后仍继续恶化的第二选择[3];
(3)介入治疗:对于经肝素治疗后病情仍持续加重的患者,建议行介入治疗,目前认为局部溶栓治疗和血管成型术治疗是抗凝治疗失败后的最佳选择。
▌ 预后
与动脉性脑梗死不同,CVI经临床积极治疗后,大多数患者的预后好,MR I复查病灶多呈可逆性,异常信号范围短期内缩小明显,很少遗留脑软化灶。但老年患者预后差,尤其入院时已发生昏迷或深静脉系统血栓伴出血的患者预后更差。CVI急性期后,仍需关注血栓复发,极少部分患者可能遗留癫痫、视力障碍、肢体偏瘫等。
小结:
随着对CVI危险因素认识的逐步加深以及神经影像技术的日益完善,临床上对CVI的确诊率明显提高,同时早期溶栓治疗可大大降低病死率。
参考文献:
[1]曹益瑞,吴波.《中国颅内静脉系统血栓形成诊断和治疗指南2015》解读[J].中国现代神经疾病杂志,2016,16(11):741-744.
[2]Ferro J M,Bousser M G,Canhao P,et al.European Stroke Organization guideline for the diagnosis and treatment of cerebral venous thrombosis-endorsed by the European Academy of Neurology[J].Eur J Neurol,2017,24(10):1203-1213.
[3]Ferro J M,Coutinho J M,Dentali F,et al.Safety and Efficacy of Dabigatran Etexilate vs Dose-Adjusted Warfarin in Patients With Cerebral Venous Thrombosis:A Randomized Clinical Trial[J].JAMA Neurol,2019,76(12):1457-1465.
本文首发:医学界神经病学频道
本文作者:LL
本文审核:李土明 副主任医师
责任编辑:陆离先生
医学界力求其发表内容在审核通过时的准确可靠,但并不对已发表内容的适时性,以及所引用资料(如有)的准确性和完整性等作出任何承诺和保证,亦不承担因该些内容已过时、所引用资料可能的不准确或不完整等情况引起的任何责任。请相关各方在采用或者以此作为决策依据时另行核查。
原标题:《颅内静脉系统血栓形成太难懂?一文解析》

