5岁女孩头痛、跛行伴喷射性呕吐,究竟为何?
*仅供医学专业人士阅读参考
你的答案是?基本情况
一名5岁女孩因“剧烈头痛和喷射性呕吐4小时”就诊。
现病史
家属否认孩子近期头部外伤、感染或接种疫苗,也没有发热、寒颤、腹泻或腹痛症状。孩子最近几乎不用左臂,而且步态似乎有些跛行、主要靠用右腿支撑自己,患儿母亲十分焦虑。
女孩的父母来自肯尼亚。她是足月顺产,产时无并发症,按时接种疫苗,出生后生长发育正常。
患儿母亲描述孩子自婴儿时期起就面色苍白,3岁时被诊断患有贫血,目前正在持续服用铁剂和维生素。患儿还有反复疼痛发作,发作时用止痛剂治疗。她的母亲回忆,患儿在18个月大的时候,曾经有手部肿胀和疼痛。
家族史
患儿父母否认近亲结婚,患儿有个6个月大的弟弟死于婴儿猝死综合征;患儿母亲的一个表兄弟患有输血依赖性贫血。
体格检查
患儿面色苍白、黄染,昏迷与烦躁交替出现。
体温(T):36.7℃,脉搏(P):136bpm,呼吸(R):16次/分,血压(BP):103/62mmHg。心律齐,心音有力,心前区可闻及2/6级收缩期杂音。腹软,肠鸣音正常,触诊脾脏肋下3cm。患儿的颅神经查体正常,右侧肢体肌力和感觉正常,左侧肢体(上肢和下肢)有偏瘫。
辅助检查
血红蛋白水平:6.5g/dL;
白细胞计数:24×109/L;
血小板计数:500×109/L;
凝血酶原时间/部分凝血活酶时间:正常;
生化常规:正常;
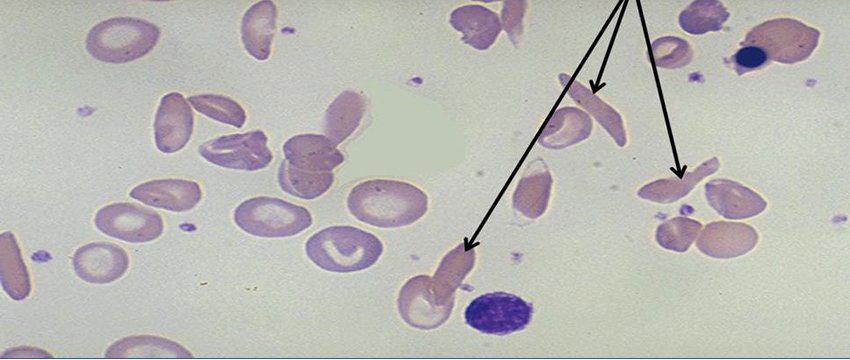
血液涂片检查、血红蛋白吸收光谱和脑部CT扫描的结果如图1-3所示。
图1
图2
图31、该患儿最有可能的诊断是什么?____?
A.脑膜炎
C.镰状细胞性贫血伴脑卒中
B.脑肿瘤
D.先天性心脏病伴脑脓肿
讨论
患者的最终诊断为镰状细胞性贫血,并发右侧脑卒中。
脑卒中是镰状细胞性贫血患儿发病和死亡的主要原因之一。脑卒中可影响高达30%的镰状细胞性贫血患儿,并可在11%的患者中表现出来,另有17%-22%的患者在核磁共振中表现为无症状性脑梗死。未进行脑卒中预防的镰状细胞性贫血患儿发生卒中的风险比一般人群高出200倍以上,这种风险在成年人中可能更高。
无症状性脑梗死可在出生后第1年出现,其患病率随年龄增长而增加。大约40%患有镰状细胞性贫血的青少年有无症状性脑梗死,成年人可能会出现新的或扩大的无症状性脑梗死病灶。儿童的脑梗塞往往是缺血性的,而成人则是出血性的。
镰状细胞性贫血脑卒中的病因尚不清楚。除了没有脂质沉积和斑块形成外,镰状细胞性贫血的脑血管病变的许多组织病理学发现与普通人群脑卒中患者的发现相似。
诊断
镰状细胞贫血患者的脑梗死可通过经颅多普勒(TCD)超声、MRI和磁共振血管造影术(MRA)来检测。TCD超声检查是一种可重复且无创的方法,旨在通过检测特征性高流量模式来发现无症状儿童的颈内或大脑中动脉狭窄。血液流速升高(≥200cm/s)的儿童脑卒中率高,大约在每100,000病人中每年有10,000例。MRA异常和TCD显示血流速度较高的患者发生卒中的风险更高。
治疗
镰状细胞性贫血脑梗死患者应在诊断后进行换血治疗,终身输血治疗。在急性和慢性镰状细胞性贫血的治疗中,换血是一种有效但可能未得到充分利用的治疗方法,其目的是维持或降低血红蛋白S水平在30%以下,以提高载氧能力,同时降低血液的总粘度,从而减少并发症。
6岁以下纯合子镰状细胞性贫血或镰状β0型地中海贫血患儿每年应行TCD超声检查,血液流速大于170cm/s的值需警惕,大于200cm/s的患者应开始输血治疗。
由于频繁的输血导致铁在患者体内逐渐积累,因此会因铁超负荷而发生并发症。铁超负荷可以用几种技术来测量。活检是测量肝脏铁浓度的金标准,但这项技术是有创的。连续测定血清铁蛋白水平是可行的,但准确性较差。MRI是一种无创、可靠的肝脏铁浓度测定技术。根据铁超载的程度,这些患者应进行铁螯合治疗。
有三种螯合剂可供选择:去铁胺(肠胃外)、去铁酮(口服)和去铁酶(口服)。关于这些螯合剂减少铁超负荷的有效性和安全性的大部分研究来自于对铁超负荷的地中海贫血患者和镰状细胞病患者的报道。目前,大多数证据支持使用去铁酶治疗铁过量,因为它安全可靠,给药方便,患者依从性好,能有效降低体内铁过量。
确诊后,该患者接受急性期换血治疗,随后终生输血治疗,以防止脑卒中复发。她还接受了口服地拉莫司(30mg/kg/d)治疗,每天一次,以防止输血导致的铁超载及其并发症。
本文来源:儿科全科医生
本文作者:SCMC 儿科全科
责任编辑:CiCi
推荐阅读
医学界力求其发表内容在审核通过时的准确可靠,但并不对已发表内容的适时性,以及所引用资料(如有)的准确性和完整性等作出任何承诺和保证,亦不承担因该些内容已过时、所引用资料可能的不准确或不完整等情况引起的任何责任。请相关各方在采用或者以此作为决策依据时另行核查。
版权申明
本文转载 欢迎转发朋友圈
- End -

