【病案现场】生死时刻,同济速度——同济大学附属同济医院多学科接力,成功救治一例狼疮肠系膜血管炎患者
原创 关注健康的 上海市同济医院订阅号
一月对于家住金山区的宋女士来讲可以说是惊心动魄的一个月,虽然表面上看起来有惊无险,实则暗流涌动,正是因为有了同济医院多个科室的高度警觉意识和紧密配合,才赢得了这场与死神的赛跑。
病案
现场
1月10日晚上19点,宋女士和往常一样吃完晚饭后坐在沙发上休息,不知怎么回事,出现左侧上中腹部隐隐作痛,然后发展为一阵阵的绞痛,并逐渐出现恶心、呕吐、心慌、出冷汗,发觉情况不对,立即到离家最近的一家二级甲等医院就诊,常规化验也没发现异常,随后给予了抗炎止痛对症治疗。但是一晚上过去了,宋女士腹痛并没有缓解,由开始的一吃就吐,发展成不吃也吐,家人焦急万分,决定换家医院试试。1月11日一早宋女士和老公张先生又来到当地的一家三级医院急诊就诊,做了腹部CT提示“小肠急性炎症伴渗出,腹腔积液”,同样也是给予了消炎止痛等治疗,仍有左侧上中腹部阵发性疼痛,伴有顽固的恶心和呕吐,但始终没有发热,白细胞也不高。患者当天晚上又从金山赶到市区某著名大学附属医院急诊普外科就诊,医生认为目前没有手术指征,建议患者回当地医院继续观察治疗。回到金山当地医院以后,继续在外科急诊观察,虽然一直在吊盐水,可腹痛和呕吐症状不仅没有丝毫缓解,反而越来越重。看着腹痛难忍,不停呕吐,面色惨白的妻子,张先生心如刀绞,“难道真的一点办法都没有了吗?难道就这样眼睁睁地看着她一点一点衰弱下去吗”。万般无奈之下张先生通过朋友介绍,深夜从金山石化赶到金山亭林医院,找到上海市同济医院派驻亭林医院的内分泌专家赵家胜主任,赵主任从家属口中了解了患者整个发病过程,然后看了各种检查报告,当他看到腹部CT片子上显示整个小肠的肠壁高度水肿同时还有胸腔和腹腔积液,敏锐地感觉到患者的病情非常危重,从病史和腹部CT来看,不像是机械性肠梗阻,很可能是血管病变引起的血运性肠梗阻,如果时间拖得太长,肠壁一旦缺血坏死、穿孔,后果不堪设想。赵主任当机立断,让患者在当地医院赶紧把新冠核酸查好,第二天联系到同济医院住院。
图1. 肠系膜动脉造影(DSA)
图2. 风湿免疫指标办好住院已经是1月13日下午四点了,介入科方淳主任及团队加班加点,当天晚上就为患者做了肠系膜动脉和静脉造影,结果没有发现大血管的问题,但是小血管充血、丰富,呈梳子样改变(称为“梳子征”,图1)。排除了肠系膜大血管的问题之后,高度怀疑肠系膜小血管炎可能,事不宜迟,赵家胜主任通过电话联系到风湿免疫科值夜班的王璇主治医生,王医生仔细询问了病史,了解到患者有过脱发和自发性流产的病史,结合本次肠道小血管炎的表现,高度怀疑系统性红斑狼疮引起的肠系膜血管炎。为了缓解患者的腹痛,挽救病人的生命,王璇医生基于对病情的判断,在化验结果尚未出来的情况下果断使用了糖皮质激素,第二天早上(1月14日)患者腹痛和恶心、呕吐即明显好转,患者胃口也开了,随后吃了点半流质,但下午又出现了腹痛和呕吐,这时化验结果也出来了(见图2),狼疮的标志性抗体-抗Sm抗体和ds-DNA抗体均阳性,证实了系统性红斑狼疮的诊断。赵主任和风湿免疫科汤建平主任共同查房后认为系统性红斑狼疮诊断明确,以急性腹痛起病,而且一发病就表现为狼疮危象的红斑狼疮少见,常规剂量激素疗效不佳,腹部CT结果显示肠壁水肿和胸腹水有进展(见图3、图4),需要立即进行大剂量激素冲击治疗。
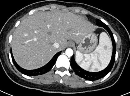
图3. 1月15日CT肠壁增厚水肿(箭头所指)
图4. 治疗前胸腹水(箭头所示)
图5. 1月24日激素治疗后肠壁水肿消退
图6. 激素治疗后胸腹水消失滑动查看更多
第四天(1月16日)患者病情即明显好转,到1月24日复查CT,肠壁水肿消退(见图5)、胸腹水完全吸收(见图6),患者腹痛缓解,已能正常进食。
近日,患者已康复出院,安心回家过年,患者的丈夫看到自己的妻子从最初的无助到同济医院医护人员的无私关怀,从死亡的悬崖边又回归到正常的生活,不仅感慨,是同济医院各科室的高度责任感和大力配合,才使得他的妻子在第一时间得到确诊和及时的救治,他无以为报,只想送一面锦旗(图7)以表达他对默默奉献的医护人员的真心感谢。
图7. 患者家属赠送锦旗系统性红斑狼疮
系统性红斑狼疮是一种好发于育龄期妇女的可累积多系统多器官的自身免疫性结缔组织疾病。临床表现千变万化,部分病人病情危重,进展迅速,危及生命,称之为“狼疮危象”。主要包括急进性的狼疮肾炎、严重的中枢神经系统受累、严重的血小板减少、粒细胞缺乏、严重的狼疮性肺炎和狼疮性肝炎、严重的血管炎等。本例患者就表现为严重的胃肠道血管炎,导致肠粘膜水肿和血运型肠梗阻,如果救治不及时,肠缺血坏死导致肠穿孔和急性腹膜炎,死亡率高达50%以上。早期识别狼疮危象,并及时给予大剂量糖皮质激素激素冲击治疗,辅以免疫抑制剂、丙种球蛋白、血浆置换等综合治疗,往往能力挽狂澜,化腐朽为神奇。
专家名片
赵家胜同济大学附属同济医院
内分泌代谢科副主任、主任医师
专家门诊:周二下午
特需门诊:周五上午
上海市医学会内分泌分会委员,垂体与肾上腺疾病学组副组长。
上海市医学会糖尿病分会外周血管及足病学组副组长。
擅长糖尿病,垂体、甲状腺、肾上腺疾病和骨代谢疾病等多种内分泌代谢疾病的诊治,尤其在内分泌代谢疑难危重病和内分泌性高血压诊治方面积累了丰富的经验。
主编《内分泌代谢急症》(人民卫生出版社)和《糖友日记》等专著,曾先后获得同济医院首届青年岗位能手、同济名医和上海市用户满意服务明星等称号。
网上预约挂号
特需门诊
专家门诊
图文 | 内分泌代谢科 宣淼 赵家胜编辑 | 宣传处
猜你想看
孕期日常生活要防血糖升高甲状腺穿刺的“预备知识”糖尿病患者到底怎么保养?“尿毒症”不可怕,提前认识有办法
同济医院于1900年由德国医生埃里希•宝隆创建,上海市同济医院是普陀区唯一的三级甲等综合性医院。年门急诊量超过 200 万人次。拥有上海市重中之重学科骨科、精神神经学科,上海市重点学科心血管内科,上海市重点专科脊柱外科、心身医学科、消化内科,上海市中医示范科;实现急诊与危重症学科、老年医学科、检验医学科、临床药学科入选上海市级平台学科建设计划;院内形成以骨科牵头的运动-神经-精神学科群,心内科牵头的循环-呼吸-胸外学科群,消化内科牵头的消化-普外-内分泌学科三个优势学科群;以及由血液科牵头的血液-肿瘤-影像-病理-检验学科群、妇产科牵头的妇产-泌尿-肾脏-生殖学科两个特色学科群。医院整合学科优势,基于多学科合作,血液内科建立的难治复发血液系统恶性肿瘤治疗体系入选国家临床重点学科建设项目。并成功打造三个国家级中心——高级卒中中心、胸痛中心及创伤救治中心,成为沪西北地区的大型急诊危重症与疑难杂症综合诊治中心。建有国家级国际科技合作基地—干细胞与再生医学国际联合研究中心、教育部重点实验室、中美干细胞联合研究基地。拥有国家重点研发计划、973首席科学家、国家百千万人才工程等为代表的高水平专家队伍。承担 国家重点研发计划、973 计划等国家级重大重点项目20 余项。成果发表在《Nature》、《Science》、《Cell》等国际顶级权威学术期刊。荣获国家自然科学二等奖、教育部自然科学一等奖、教育部科技进步一等奖、华夏医学科技奖一等奖、上海市科技进步奖一等奖、中国康复医学会科学技术奖一等奖、上海医学发展杰出贡献奖、上海医学科技奖成果推广奖等为标志的高等级科研成果。同济医院作为一所百年传承的现代化医院,执着于精湛的医术,形成了具有同济特色的温馨“家”文化和全心全意为人民服务的健康传播文化。并以济人济世之心传医者之道,在历次重大抢险救灾、国际援助、扶贫帮困中发挥了同济人“同心同德同舟楫”的博大胸怀,将同济天下的爱国情怀洒满大地。
原标题:《【病案现场】生死时刻,同济速度——同济大学附属同济医院多学科接力,成功救治一例狼疮肠系膜血管炎患者》

