这样的结节可以考虑手术,多种恶性征象集于一身,大家可对照一下
2021-12-19 07:34
上海
这样的结节可以考虑手术,多种恶性征象集于一身,大家可对照一下 原创 胡洋大夫 呼吸科大夫胡洋
戳蓝字,关注我关注肺部健康知识
我的一个熟人,当地检查提示肺部结节,考虑恶性可能,到我们医院来做检查,由于患者已经在家里做了双肺的CT,到医院来再做CT一方面应该没有太多区别
一方面和前一次CT间隔的时间太短,有辐射,可能伤身体,所以给患者做了一个1024分辨率的局部靶扫描
所谓的靶扫描就是专门扫描这个结节局部的CT,同时还会做三维成像,所以可以提供关于结节的更多信息,更加有利于结节性质的判断。
01
这个患者很焦虑,因为当地医生告诉她可能示恶性,但没有和她说为什么是恶性,这个也不能怪当地医生,现在CT大多还是64排,少部分医院是128排CT,有些医院会做重建,有些则不会做,所以不一定能够提供很多细节
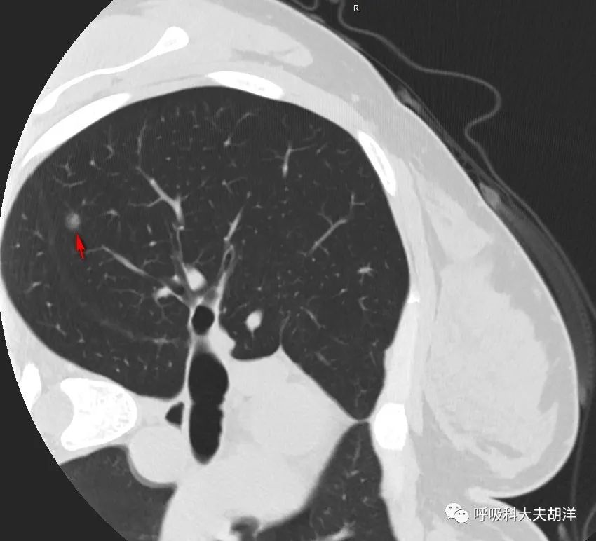
我们今天这个CT影像就比较清晰了,下图箭头所指的结节就是目标结节,注意看这个结节左半边比较淡,右上半边比较实,看起来就是一个混合性磨玻璃结节,这是恶性特征之一。
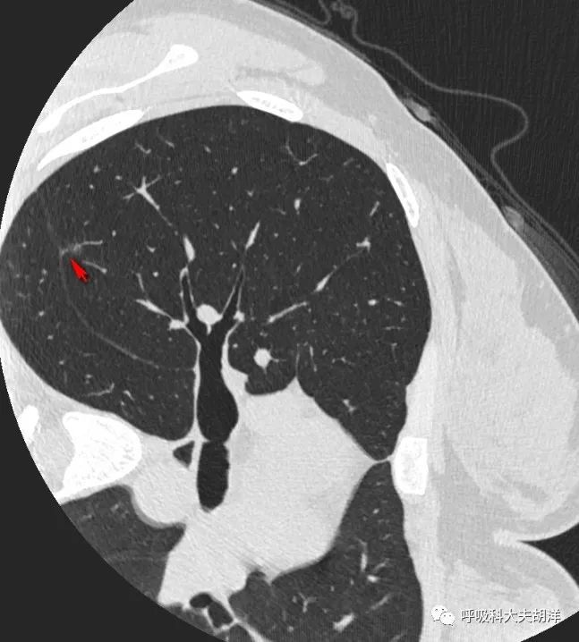
但这个结节偏恶性的特征还不止于此,上图结节的左面有一条线,这个是斜裂,斜裂是胸膜的一种延续,这个胸膜在靠近结节的部分微微向结节隆起,似乎有牵拉,这一层面看不明显,下图就比较明显了,箭头所指的部位是结节底部牵拉胸膜的征象,这是结节恶性特征的另外一个征象。
如果有这两个特征其实还可以随访,这个结节还有另外一个特征就是和周围组织分界不是很清楚,尤其是下图,是结节的放大照,可以看到密度较淡的部分和周围的分界尤其不明显,这是结节浸润性生长的一种表现,浸润的意思就像草纸上滴了一滴墨汁,墨汁会向周围扩散的意思,墨汁和干净草纸之间可能不会有明显的分界。
其实大家仔细看上图还能看到结节的另外一个特征,那就是毛刺影,这个结节周围有一些不仔细看看不到的细细的毛刺,有的短像从结节上发出的毫光,有的则是长长的毛刺像是太阳上甩出的太阳风暴,这些可能是长入结节的血管,下面这张放大图片就看的更加清楚了。



向下滑动查看上面三张图片则非常直观的看到结节牵拉斜裂的表现,结节靠近斜裂的地方像是被斜裂吸引,斜裂靠近结节的地方像是被结节吸引,整体上就像快要落山的太阳,太阳和水里的太阳的倒影几乎快连成一片,这是比较典型的胸膜牵拉。
02
如果想看结节和血管之间的关系,下面这几张图更加明显一点,下面前两张红箭头指的是结节,周围枝枝叉叉的都是血管,有些血管和结节长到了一起,尤其是最后一张图,另一个红箭头指着的血管长进了血管,这是结节代谢高,需要更多血液供应的表现,也是恶性肿瘤的一个表现。


向下滑动查看胡洋 同济大学附属上海市肺科医院呼吸科主治医师,医学博士,硕士生导师。上海医学会肺功能学组成员,中华医学会成员。擅长间质性肺病、结节病、肺癌等肺部疾病的预防与诊治。
特别声明
本文为澎湃号作者或机构在澎湃新闻上传并发布,仅代表该作者或机构观点,不代表澎湃新闻的观点或立场,澎湃新闻仅提供信息发布平台。申请澎湃号请用电脑访问https://renzheng.thepaper.cn。

