睡前不刷牙会发生什么?我们做了个实验,结果大为震惊
原创 丁香医生
冬天的被窝里,只有两件事能让人类辗转反侧,左右为难……
一件事叫做尿急。
另一件叫做——睡前忘刷牙!
每到此时,不禁发出一声天问——
晚上忘了刷牙,能不能不下床?!
为了回答这个小问题,我们自甘堕落,自我牺牲,真人实验,带着(芬芳)的口气,为大家进行了比 24k 金还真的真实场景模拟。
那么下面,请欣赏我们的年度大实验!
一点实验前的理论学习
实验开始前,先学习一点理论知识。
要想知道,偶尔睡前不刷牙可不可以?我们就得先知道,为什么大家都说早晚各刷一次牙很重要?
这和牙菌斑相关。
所谓牙菌斑,就是……可以从牙齿上抠出的软软黄黄的东西(现在不许抠!)。口腔里的食物残渣、温度给细菌提供了极好的繁殖环境,繁殖多了就会成为牙菌斑。
图片来源:自己画的久而久之,这些牙菌斑还能跟唾液钙勾结在一起,形成如图所示的牙结石。
图注:快照照镜子看看自己有没有牙结石在牙结石、牙菌斑的不断刺激下,很容易引发口臭、蛀牙、牙龈出血发炎等一系列的口腔问题。情况再恶化一点,就会喜提补牙、根管治疗等昂贵疼痛大礼包。
而刷牙就是定期保洁。
可以这样理解,新生产的牙菌斑就像是刚刚泼在桌上的咖啡,一擦就掉。而如果你一直放着不管,大约 16 小时后,牙菌斑就会定植在牙齿表面,成为顽固污渍。就跟你们家隔了夜的油锅一样,光靠刷压根儿弄不干净!
所以综合考虑,医生们得出了早晚各隔 12 小时左右刷一次牙的建议。
理论毕竟只是理论嘛,不过是一个晚上不刷牙,后果真的会有这么严重么?
Round 1
不刷牙到底有多脏?
为了完全解答大家的疑问,我们一共做了两个实验,模拟两种生活场景。
情况 1:平时都早晚好好刷牙,只是这回睡前不刷牙。
情况 2:晚上已经刷了牙,又吃了一小小口东西,偷懒没有再次刷。
下面欢迎本次实验的志愿者入场!
这位,是我们的实验小哥贝塔,昨天晚上开始到现在一直没有刷牙。距离上次刷牙时间:24 小时。
这位,是我们的实验小哥阿法。昨天刷完牙后又偷吃了一口饼干。距离上次刷牙时间:14 小时。
两位小哥的牙,都看起来白白净净。下面就是见证奇迹的时刻。我们搞来了牙菌斑显示剂(这个神奇的药水会给牙菌斑染上颜色,让脏东西现出原形)。
保证无死角的涂涂涂涂涂涂……
按照说明书漱口,吐出了一些紫色的物质。
大家都感受了一些清新的口气。
注:已经把图缩小了!没有想吓人的意思当当当!我们终于迎来了这个朴素实验的结局,看看牙菌斑被养得怎么样了!
在牙菌斑显色剂的作用下,陈年老牙菌斑将会是深紫色,24 小时内的新生成的牙菌斑是浅紫色。
这是睡前没刷牙,和上一次刷牙时间间隔 24 小时的贝塔。
上一次刷完牙的效果 vs 持续 24 小时不刷牙(均使用显色剂)不留情面地凑近看看。
图片来源:贝塔的牙这口牙齿吧,可以说是姹紫嫣红,好不热闹。整整 24 小时果然成功养出了一口牙菌斑!
再来看看睡前吃了口零食,偷懒没刷牙的阿法。
图片来源:阿法的牙牙齿表面的情况比贝塔稍好一些。不过同样养出了不少牙菌斑。
但放大看就会发现,牙缝成为了牙菌斑的重灾区!
图片来源:阿法的牙牙缝这么脏,一方面归功于昨天晚上那口零食的残渣,至于更主要的原因嘛……阿法的人生前二十年,从未用过牙线!(做完这个实验,他立刻买牙线去了)。
总结一下!无论是刷完牙吃了一口零食的阿法,还是一晚上没刷的贝塔,牙齿上都显示出了明显的牙菌斑。晚上刷牙真的很重要!
这时候你是不是在想,晚上不刷牙,早上刷一下不就得了?现在我们就来看看只靠早上刷牙管不管用!
Round 2
每天刷牙,你真的刷干净了吗?
为了最大限度的模拟日常情况,我们收走了镜子(排除显色剂的干扰),请他俩按照日常的习惯开始刷。
可能是碍于镜头的注视,大家格外认真,足足刷够了两分钟。再次涂上显色剂,让我们看看效果。emmm,真的不刷不知道,一刷吓一跳。
这是贝塔,睡前没刷牙那个。果不其然,24 小时后牙菌斑已经成了「顽固污渍」,只靠早上刷牙根本没刷干净。
图片来源:贝塔的牙再看看只是吃了口零食的阿法,牙表面干净了。但更多的问题还是牙缝,陈年牙菌斑在刷完牙后还是存在。
图片来源:阿法的牙没想到在日常刷牙的时候竟然有这么多地方遗漏了!
怎么认真刷牙还是不干净呢?小哥们表示不服气,对着镜子,他们打算认真认真再刷一次。
Round 3:对着镜子,再刷一次!
对着镜子,以牙菌斑显色剂标注出来的地方为准,再次认真刷一遍。
2 分钟后,阿法露出了可以拍牙膏广告的自信笑容。
这回总算没问题了吧!看起来亮白如..……哎等等!怎么这里、这里和这里还没干净啊啊啊?
图片来源:阿法的牙这是因为刷牙本身就有局限性。对我们的牙齿结构来说,如果只靠牙刷,再认真也刷不全牙齿所有面。
现在让我们对着镜子看看自己的牙。一颗牙的裸露其实分成五面,上左右前后,存在一定的交叠。牙刷能碰到的只有外面三个面,这导致牙缝成为了「法外之地」,再怎么努力都伸不进去。
图片来源:自己画的这就让使用牙线显得尤为重要。
注:不得不再次派出人生前二十年没用过牙线的阿法。牙线是最简单的清洁这两面的工具,大家用过就会知道,牙线就跟挖鼻屎(咳咳,挖鼻屎还是不建议常挖的哈)一样,会上瘾的!
如果用的是卷轴牙线,那么像这样来回C型环抱一颗牙齿,深入牙龈 2~3 mm 的位置,上下摩擦。
图片来源:丁香生活研究所如果用的是牙线棒,同样是把牙线塞进牙缝,像锯木头一样上下动。
图片来源:丁香生活研究所说不定就能带出一点「陈年肉丝儿」,让人又爽又恶心。
到这里可能有人又要说了,「是不是太夸张了啊」,「从来没用过牙线,我也挺好啊」……
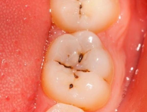
我们以蛀牙为例。照照镜子看看自己的牙,图上这种小黑缝就是蛀牙的信号。
露在外面部分只是冰山一角,里面的蛀牙体积,甚至能达到表面的五六倍。出现黑缝,很可能说明蛀牙已经发展很久了,趁着还不是很严重赶紧治。等蛀到牙神经,根管治疗可就跑不了了。
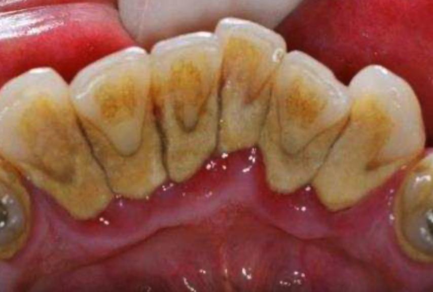
图片来源:dental plague:structures and formation这也是很多口腔疾病的特征:缓慢发展,患者往往不重视,在口腔清洁上偷懒,等到真的难受起来,很可能就是中晚期。
整口牙没剩几个好的,一去医院就是喜提疼痛+烧钱大礼包。
图片来源:自己做的口腔护理可不是基金那种每天看,每天绿的小妖精。只要你早晚刷,坚持用牙线,小投资一定能有大回报。
就……四舍五入,好好刷牙其实就是在挣钱
(看过牙都懂)。
不多说了,今天晚上没刷牙,没用牙线的,赶紧给我起床刷!
一个来自牙菌斑的微笑
策划制作策划:jiu | 监制:Feidi | 插画:Mila.
封面图来源:自己做的

