先天性双足畸形,病根竟在腰上?
【病案现场】先天性双足畸形,病根竟在腰上? 原创 关注健康的 上海市同济医院订阅号
难以想象,年仅24岁的女孩,挽起裤腿见到的不是光洁的小腿,而是大大小小五六个手术瘢痕。
图:术前“我是慕着同济足踝外科的名而来的,”小王一边细数着脚上的疤痕一边笑着说道,“我在7岁时就做了第一次手术了,跑遍了国内知名的医院,做了三次大手术,前前后后也花了30万左右。”即使是这般残酷的现实也无法遮掩住这个女孩的乐观的笑容。
图:术前MRI从小王的口中我们得知,她曾先后做过跟腱延长、肌腱转位以及胫腓骨延长等手术,由于时日久远,小王也无法准确地回忆起手术具体的内容。然而尽管做了这么多手术,她走路时依旧又慢又跛,脚底也因为长期的负重不平衡而饱受疼痛。她的左脚是扁平足,右脚是高弓马蹄内翻足,这两种截然不同的足畸形却发生在同一个人身上。结合患者腰痛的主诉,我们对其进行了腰椎MRI检查,显示腰4-骶2水平的椎管内有一个低信号的团块,这样一来,原因便清楚了。
“脊髓拴系综合征?”听着这个名词,小王一脸的茫然,这20多年来从未有人告诉过她,她先天性双足畸形的原因竟在腰上。脊髓拴系综合征,是脊柱裂患者在胚胎期同时出现脊髓发育异常、局部瘢痕粘连、终丝缩短,造成脊髓固定于病变部位、不能适应脊柱的增长而上升,使脊髓、马尾神经和终丝受到牵拉,可造成腰背部疼痛、双下肢和二便功能障碍。虽然病因明确了,但这一疾病却没有办法根治,那么如何提升患者的生活质量,改善患者的步态,就成了治疗的主要目标。
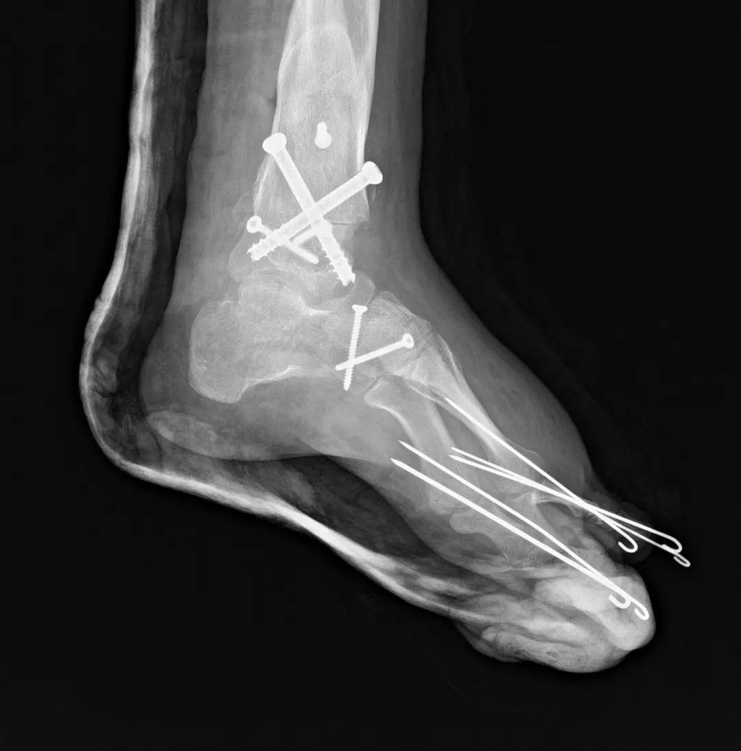
根据患者的病情,同济大学附属同济医院足踝外科团队讨论后,最终确定了左足踝关节融合、内侧楔骨Cotton截骨;右足第一跖骨抬高的手术方案,由俞光荣教授主刀,患者术后恢复状况良好,她扭曲的足终于可以完全放平了。医保报销后,这次复杂的矫形手术只花费了7千多元,远远低于患者及其家属的预期,对此小王表示非常感谢和满意。
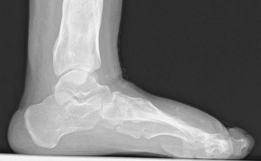
图:术前扁平足
图:术后扁平足足畸形是指足部形态或结构的异常,包括先天性足畸形和后天性足畸形,烧伤、急性创伤、长期穿高跟鞋或不合适的鞋子都可能导致足部的后天性畸形。足部畸形影响足的站立和负重,影响步态,外观不美观,穿鞋也不方便,对生活带来很大困扰。同济大学附属同济医院足踝外科早在上世纪90年代就开展了足部畸形矫正手术,积累了丰富的手术经验,是国内最早涉及足部矫形的团队之一,秉承“最小的创伤,最简单的方法,最低的医疗成本,获得最好的疗效”这一理念,一心一意为病人解决难题。
骨科(足踝外科)
同济大学附属同济医院骨科(足踝外科)是中华医学会骨科学分会足踝外科学组副主任委员单位,是具备完整医、教、研体系的“全博”特色科室,同时也是国内最早从事足踝部疼痛、损伤、骨折和畸形诊疗的专业科室,对足踝疾病的诊疗处于国内领先水平。科室每年承办国家级继续教育项目“足踝外科诊治进展”、国家级继续教育项目“跟骨骨折的基础和临床” 和全国足踝部疾病学习班,并与美国、德国、瑞士等国家的足踝外科临床和研究中心建立了广泛的学术交流与合作关系。科室人员多次受邀参加美国骨科年会(AAOS)和国际足踝外科学会会议(IFFAS)进行大会发言和学术交流,已发表学术论文400余篇,国外重要学术期刊刊登英文文章30余篇,其中包括世界足踝外科领域影响力排名前2位的《Foot & Ankle International》和《The Journal of Foot and Ankle Surgery》期刊,主持及参与多项国家“863”、国家自然基金、教育部、美国国立卫生院(NIH)、上海市科委、卫生局等科研项目,主编及参编多部人民卫生出版社和上海科技出版社出版的足踝外科专著,为我国足踝外科的发展奠定了坚实的基础。
千里之行,始于足下,脚部的健康对一个人的生活质量至关重要。近 50 年来在国外新兴起的足踝外科专注于足部创伤、畸形的诊治。30年前,我国的骨科专家将足踝外科这一新理念引入国内,作为我国足踝外科的开创者之一,同济足踝外科杨云峰和俞光荣主任在临床与基础研究、学术理论建设方面完成了一系列的创新,着重于各种足踝部创伤、畸形疾患的诊治,诊治病种涵盖了足踝外科领域的所有疾病。由于在足踝外科方面的卓越成就,杨云峰主任和俞光荣教授多次出席国际重要专业学术会议做专题报告,并多次应邀主持国际会议,在两位的带领下,同济医院骨科的亚学科“足踝外科”已在国内外具有较高知名度。
专家名片
俞光荣同济大学附属同济医院
骨科主任医师、教授、博士生导师
特需门诊:周二下午
擅长足踝疑难复杂疾病,例如对足踝部创伤畸形愈合、骨关节炎、先天或后天畸形、高弓足畸形、平足症的治疗具有丰富的经验。
国内外著名足踝外科专家,享受国务院政府特殊津贴,时任SICOT中国部副主席、SICOT中国足踝外科学会主委、中华医学会骨科分会足踝外科学组副组长、中国医师协会足踝外科工作委员会名誉主委、AO中国创伤委员会足踝外科专业组组长、白求恩公益基金会足踝外科专委会主任委员、国际内固定学会(中国)足踝外科主席、国家863项目和自然科学基金项目评审专家、上海市重大科研项目评审专家、上海市科技进步奖评审专家、美国骨科学会国际会员。曾任上海市骨科分会足踝外科学组第一届主任委员。培养博士研究生20余名,硕士研究生30余名。
主持(或参与)国家自然科学基金项目5项,参加国家863项目1项,获得省部级科技进步奖二等奖3项。上海市科技进步三等奖1项,临床成果3等奖1项,同济大学临床成果一等奖2项。主编副主编专著4部,参编12部。发表论文共500多篇,其中SCI收录30余篇,中华系列杂志近50篇。
专家名片
杨云峰同济大学附属同济医院
骨科主任医师、副教授
博、硕士研究生导师
专家门诊:周二上午
同济大学附属同济骨科常务副主任(主持工作),足踝外科主任,外科教研室副主任,外四党支部书记。擅长足踝部创伤、先天畸形、创伤后遗症的外科诊治,足踝疾病的微创治疗,踝关节退变性疾病、踝关节骨软骨损伤的微创治疗。
担任中华医学会骨科学分会足踝外科学组委员,中国医师协会骨科分会足踝外科专业组委员,中国医促会骨科分会委员,中国医促会骨科分会足踝学组常委,SICOT中国部足踝外科学会常委,上海医学会骨科分会足踝外科学组副组长,上海医师协会骨科分会足踝外科学组副组长,上海市中西医结合学会创伤医学专业委员会委员,国际内固定研究会(AO)讲师,《BMC》特约审稿专家、《中华创伤骨科杂志》特约审稿专家、《中国运动医学杂志》特约审稿专家、《足踝外科电子杂志》常务编委、《骨与关节外科杂志》常务编委。
师从我国著名骨科专家俞光荣教授,从事骨科基础和临床研究20年。2011年获AO Fellow奖学金于美国明尼苏达州创伤中心培训,2015年获美国足踝外科学会旅行学者AOFAS traveling Fellow奖学金,参访美国著名足踝外科中心。分别于美国骨科年会、足踝外科年会大会发言3次。已完成创伤、足踝外科手术五千余例,在足踝外科复杂创伤、创伤后遗症,足踝先天畸形等疾病的手术治疗方面独具特色。
主持国家自然科学基金项目2项,参与国家自然科学基金8项,科研经费200余万元。发表论文50余篇,其中SCI、EI收录论文20余篇,中华期刊20余篇;参编著作6部。获得上海市科技进步奖、上海市医学科技三等奖。
图文 | 骨科
编辑 | 宣传处
同济医院于1900年由德国医生埃里希•宝隆创建,上海市同济医院是普陀区唯一的三级甲等综合性医院。年门急诊量超过 200 万人次。拥有上海市重中之重学科骨科、精神神经学科,上海市重点学科心血管内科,上海市重点专科脊柱外科、心身医学科、消化内科,上海市中医示范科;实现急诊与危重症学科、老年医学科、检验医学科、临床药学科入选上海市级平台学科建设计划;院内形成以骨科牵头的运动-神经-精神学科群,心内科牵头的循环-呼吸-胸外学科群,消化内科牵头的消化-普外-内分泌学科三个优势学科群;以及由血液科牵头的血液-肿瘤-影像-病理-检验学科群、妇产科牵头的妇产-泌尿-肾脏-生殖学科两个特色学科群。医院整合学科优势,成功打造三个国家级中心——高级卒中中心、胸痛中心及创伤救治中心,成为沪西北地区的大型急诊危重症与疑难杂症综合诊治中心。建有国家级国际科技合作基地—干细胞与再生医学国际联合研究中心、教育部重点实验室、中美干细胞联合研究基地。拥有国家重点研发计划、973首席科学家、国家百千万人才工程等为代表的高水平专家队伍。承担 国家重点研发计划、973 计划等国家级重大重点项目20 余项。成果发表在《Nature》、《Science》、《Cell》等国际顶级权威学术期刊。荣获国家自然科学二等奖、教育部自然科学一等奖、教育部科技进步一等奖、华夏医学科技奖一等奖、上海市科技进步奖一等奖、中国康复医学会科学技术奖一等奖、上海医学发展杰出贡献奖、上海医学科技奖成果推广奖等为标志的高等级科研成果。同济医院作为一所百年传承的现代化医院,执着于精湛的医术,形成了具有同济特色的温馨“家”文化和全心全意为人民服务的健康传播文化。并以济人济世之心传医者之道,在历次重大抢险救灾、国际援助、扶贫帮困中发挥了同济人“同心同德同舟楫”的博大胸怀,将同济天下的爱国情怀洒满大地。

