美国必须交出这些可疑的原始病例数据,让中方彻查!
环球时报客户端7月31日消息,在新冠疫情于中国武汉暴发前的2019年8月,也就是美国德特里克堡生物实验室被曝出存在“严重”的实验室安全问题一个月后,美国境内开始出现一种奇怪的“肺病”。
虽然美国官方当时宣称这种病是使用有问题的“电子烟”引发的,但耿直哥最近从中国应对过新冠肺炎疫情的专家处得知,这些2019年秋季美国大规模出现的“电子烟肺病”中,有些人很可能感染的是新冠病毒!
这些指出美国2019年秋季的电子烟肺病中,可能存在新冠肺炎感染者的专家,都是应对过新冠疫情,并十分清楚新冠肺炎症状特点的权威人士。
他们告诉耿直哥,美国所谓的“电子烟肺炎”,其实是对没有其他合理诊断证据的吸食电子烟患者患肺炎的一种统称,并不具有CT影像和临床的特异性,判断的标准主要包括是否在症状出现前 90 天内使用过电子烟,胸部 X 光和/或 CT显示肺部浸润等等。
可当这些肺炎专家在查阅了60篇涉及“电子烟肺炎”病例的研究论文,并对其中142位电子烟肺炎患者的250张肺部影像图片、相关病人的临床信息以及文献原文进行了仔细全面的研究后,却有了一些惊人的发现。

图为美国《纽约时报》在2019年9月对美国所谓的“电子烟肺炎”的报道,称这种疾病“很神秘”
他们发现,这些病例中有16个美国“电子烟肺炎”病例,更有可能是新冠肺炎的“疑诊患者”,而且其中有12个病例的发病时间都在2020年以前。这16个病例中,有5个临床症状和治疗情况相对完整的患者,还被这些专家认定为了“中度可疑”。
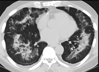
怎么“中度可疑”呢?这些专家表示,这5位患者的肺部CT都具备新冠肺炎CT的影像特征,比如肺部出现磨玻璃的影像,磨玻璃主要分布在双下肺靠近外周,出现铺路石征、严重的表现为双肺弥漫性多发实变。同时,其病程转归和临床特征也与新冠肺炎相似。
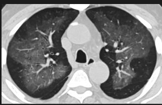
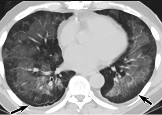
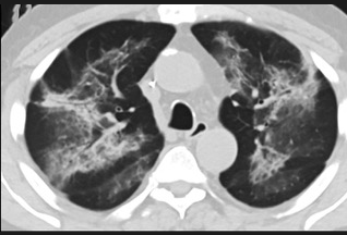
以下面这4张图涉及的这个美国“电子烟”病人为例,专家不是仅仅通过一张影片做判断的,而是通过这4张涵盖了这名病例肺部多天变化情况的影片进行的研判,认为该病例的病程进展跟新冠更为相似。




因此,这些专家告诉耿直哥,他们认为2019年美国报道的“电子烟”肺炎中,可能存在新冠病毒肺炎感染的病例。
他们还向耿直哥表示,他们认为美国方面应该拿出2019年时这些大规模出现的电子烟肺炎病例的原始数据,让非常熟悉新冠肺炎情况的中方专家全面进行审查,并提供相关病例供中国专家重新诊断,好让全世界更好的查清新冠病毒的源头到底来自哪里,更好地推进病毒溯源的工作。
另一方面,耿直哥在独立检索了美国一些电子烟病例的文献后,亦发现不少国际知名医学期刊上都曾有学者刊登论文,表示区分新冠肺炎和“电子烟肺炎”有“难度”,两者的一些症状“相似”。


因此,耿直哥认为美国方面确实应该将该国电子烟病例的原始数据交出来,供中国等有充分新冠疫情诊断经验的国家重新进行研判,而不应该遮遮掩掩,拒绝将原始数据公布出来。
除此之外,超2000万名中国网民以及一些来自世界各国的网民,也都在近期由一批中国网民委托《环球时报》发起的联署活动中,共同提出了他们的诉求,要求美国开放美军德特里克堡生物实验室,供包括中国在内的、独立于美国地缘政治影响的实验室安全专家、病毒学家以及生化武器专家进行核查。

遗憾的是,美国不仅一直拒绝回应中国网民的诉求,还反咬起了最先向全世界发出预警的新冠疫情“吹哨国”中国,造谣说新冠病毒来自中国武汉的病毒实验室。
美国这一系列遮遮掩掩,颠倒黑白、混淆视听的做法,只会让人越发怀疑新冠病毒是不是真的来自美国!
(附:要求彻查美国德特里克堡实验室的网民联署活动地址为:https://vote.huanqiu.com/af96c/index_en.html?sign="false")
