女星们美丽的代价,十几厘米的恨天高究竟是变美神器还是伤人利器?
对于女生来说,能够媲美‘今天穿什么衣服’的一个难题,就是‘今天穿什么鞋子’:
见客户时,不能穿平底鞋,不然对方看到你的球鞋立马将合同焚烧;见姐妹时,跟不能太矮,矮到从集体大头照自拍中消失就很尴尬了;
去逛街时,作为都市丽人,总不能穿着义乌塑料拖鞋乱逛吧...
于是,高跟鞋便成为了很多时候的最先选择…….
高跟鞋代表着时尚、美丽、优雅、干练。在现代都市剧、职场剧中,高跟鞋几乎是每一位成功女士的标配
普通人既是如此,为了艳压众人,女明星们穿高跟鞋更是到了“丧心病狂”的地步了:
身高168CM、大长腿的迪丽热巴好身材一览无余,每次都是高跟鞋配长裙
170CM倪妮也是必备高跟鞋,美到出圈的同时寸步难行
172CM的唐嫣,穿着高跟鞋每走一步都散发着强大的气场
拥有大长腿的女星高跟鞋都是标配,更别说一些小个子女星,为了身材比例,没有高跟鞋那是寸步难行啊!踩着15厘米的“恨天高”,“亚洲舞娘”蔡依林令人吸睛的除了她的个性造型,还有她的鞋子!
身材小巧鞠婧祎,每次出席活动的鞋子没有最高,只有更高!
还有穿着高跟鞋在水里跳舞的安崎,真是让人看的捏一把汗
当然也有例外,杨紫穿着马丁靴走秀还上了热搜,别的女星穿着高跟鞋颤颤巍巍的下台阶,她大踏步就下来了,让李现惊叹的给竖起拇指点了个赞
为什么高跟鞋令女性痴迷呢?首先,穿上高跟鞋,能拉长双腿,在视觉上变得更纤细修长。
更重要的是,脚跟提高之后,整个人重心前移。为了平衡重心,需要做出臀部收缩、胸部前挺的诱惑姿态,同时加大胯的扭动幅度,姿态会变得特别性感。
就这样,高跟鞋从早期男性权力的象征,渐渐变成了女人性感与美丽的象征。据统计,现代社会有72%的成年女性穿高跟鞋,这其中39%的女性每天都会穿。
但是,高跟鞋对女性身体的伤害到底有多大,你知道吗?
高跟鞋对女性身体的伤害有多大?高跟鞋成了女性精致生活的点缀,但长期穿高跟鞋对身体可是有很大损害的哦!
▼
对骨盆的危害:骨盆前倾
女性穿着高跟鞋时,为了更好的平衡,往往躯干会向前倾,腰椎曲度增大。为了维持稳定,可能会使骨盆偏离正常位置,导致骨盆前倾。
有些女生认为这种体态下,臀部显得更翘,腿显得更修长,实际上是误解,而且长此以往,会带来更复杂的体态问题。
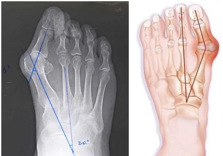
▼对脚的危害:拇趾外翻
长期穿高跟鞋容易导致拇趾外翻,如果经常穿尖头的高跟鞋情况会尤为厉害。行走时改变了足部均匀承受体重的状态,全身的重量转移到前脚掌。
为了维持足部的稳定,足内侧的拇收肌和拇短屈肌紧张收缩,牵扯拇趾外翻,并且拇长伸肌肌腱滑向拇趾外侧,促使第1跖骨内翻,促使拇外翻的形成。
不仅是脚的畸形,影响外观,而且会因为摩擦,引起发炎,带来疼痛。
与高跟鞋合二为一的贝嫂,甚至怀孕都必穿高跟鞋的她,最终导致拇外翻,不得不做手术治疗。
▼对腰背的危害:腰肌劳损
女性长期穿着高跟鞋走路时,为了保持身体的平衡,所以会主动把腰杆挺直,腰部一直往后压。
如果腰部长时间保持这样姿势的话,腰部的肌肉、骨骼以及关节都会受到一定的压力,时间久了就会让腰部过度的劳损,导致腰肌劳损。
大S就有过因为穿了太久的高跟鞋而曾患上“椎间盘突出”
▼对脚踝的危害:崴脚
踝关节的稳定性会随着鞋跟的高度增加而降低。鞋跟越高,距骨与踝穴的接触面越窄,踝关节灵活性越差。
除此之外还有研究证实,长期穿高跟鞋胫骨长肌与腓肠肌外侧束更易产生疲劳,导致步态稳定性降低。这些都会增加崴脚的风险。
当你踩着十几厘米的细高跟时,一旦脚跟踩空或者被绊倒,后果不堪设想!就像之前在维密舞台的奚梦瑶,穿着难以想象的恨天高跟鞋,“一摔成名”......
▼对膝盖的危害:膝关节受损
穿高跟鞋长时间站立就会出现屈膝困难的现象,会使髌韧带处于紧张状态,增加了髌股关节和胫股关节的压力。
而且高跟鞋的细鞋跟会使关节、肌肉、肌腱受额外的拉伸,膝关节负荷压力增加,加快膝关节磨损。

如何将危害降到最低呢?上文讲的是长期穿不合适的高跟鞋会对身体造成的伤害,但很多情况下,有些场合还真的离不了高跟鞋,那么需要控制好时间、地点、舒适度等问题!
√减少穿高跟鞋的时间每天连续穿着高跟鞋超2小时,会使小腿肌肉持续紧张收缩,易引起肌肉酸痛、乏力。有条件的时候可以常备一双舒适的平底鞋。
比如在公司可以穿高跟鞋,但在上下班的路上最好换上舒服的鞋。√选择合适的高跟鞋
合适的高度
美国医学协会研究发现了,随着鞋跟的逐渐增高足前掌的动态稳定性逐步下降,足跟越高,伤害越大。
如果非要穿高跟鞋的话,最合适的高度在3-5厘米之间。对那些十几厘米的恨天高我们看看就行,不要给自己上酷刑!
稍宽的鞋头对于那些鞋头为三角形的高跟鞋,五个脚趾头经常会挤在一起,长期容易发生畸形。所以我们可以选择较宽的鞋头,这样脚趾会舒展一些。
较粗的鞋跟另外鞋跟越粗稳定性越好,伤害也越低,在选鞋的时候尽量选择稍粗一些的鞋跟(插播一句:美女们一定要远离那种超高防水台的驴蹄子鞋,因为……实在太丑了)
√热水泡脚平时养成用热水泡脚的习惯, 促进脚周围的血液循环,可以很好的缓解疼痛。
但请记住:别泡太久,15分钟就好哦~
√通过运动增加核心力量核心肌群在运动过程中担负着稳定重心、传导力量等作用,同时也是整体发力的主要环节,对上下肢体的协同工作起着承上启下的枢纽作用。
此外,核心肌肉可以帮助调节骨盆和腰椎之间的平衡,控制身体不要陷入极端的前倾或者后倾。提高核心力量,可以更加游刃有余的驾驭高跟鞋,减少穿高跟鞋带来的危害。
人马妞给大家推荐以下五个锻炼核心力量的动作,建议每个动作做15-20次,每天做个3-5组!Step1: 动态平板支撑
双手撑地,收紧核心,背部挺直,全身保持稳定状态,尽力减少左右晃动的幅度双脚分开可以降低难度手与小臂依次着地。
Step2: 猫式伸展俯身,手肘微屈,双膝微微分开跪地。呼气低头,向上拱起背部,然后呼气抬头,使胸部下沉到最低点。
Step3: 简化侧支撑侧撑,下侧手臂屈肘支撑身体,上侧手叉腰,背部挺直,核心收紧,下侧腿屈膝,膝盖支撑身体,上侧腿伸直,脚点地,整个身体呈一条直线。
Step4: 跪姿鸟式伸展侧卧,对侧膝盖与手着地支撑身体,手肘微屈,另一侧腿屈膝收于胸前,另一侧手臂屈肘同样收于胸前,同时向远处伸展。
Step5: 俯卧两头起俯卧,腹部以及大腿贴紧垫子表面,双臂向上举过头顶,保持腹部及髋部贴地,向上挺起上半身与双腿,双臂与双腿同时向两侧打开。
高跟鞋虽好看,但是也不能一直穿哦~部分图片来源于网络
原标题:《女星们美丽的代价,十几厘米的恨天高成常态,这究竟是变美神器还是伤人利器?》

